5, 6 y 7 de febrero de 2026
Atención Primaria.
Tumoración en mama derecha de cinco años de evolución, previamente catalogada como ginecomastia, con crecimiento acelerado y molestias recientes.
Enfoque individual
Hombre de 65 años, exfumador, sin comorbilidades relevantes; antecedente familiar de cáncer hepático y HBP en tratamiento. Refiere aumento progresivo de una masa mamaria derecha sin otros síntomas asociados.
En la exploración se objetiva aumento de volumen mamario derecho y adenopatías axilares palpables. La persistencia y crecimiento tardío de la lesión motivan la realización de ecografía en atención primaria como prueba clave para revalorar el diagnóstico inicial.
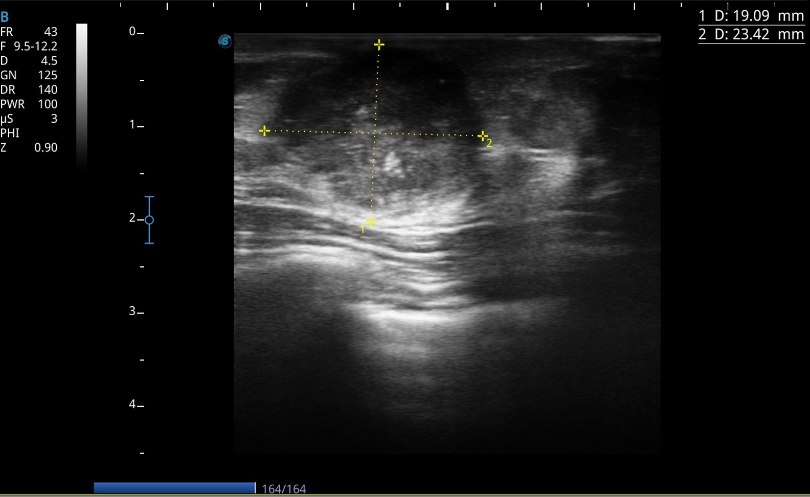
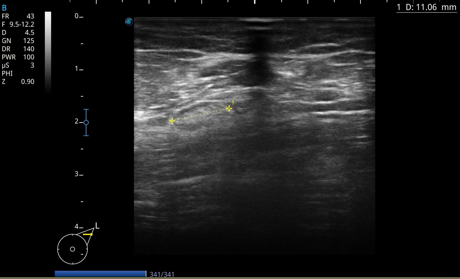
Hallazgos ecográficos
Lesión bien delimitada en cuadrante inferior externo de 4 × 1,7 cm, márgenes microlobulados, heterogénea con focos hiperecogénicos internos.
Adenopatía derecha de 1,2 cm de aspecto normal.
Adenopatía derecha de 1,2 de aspecto normal.
Adenopatía derecha redonda mal definida hipoecoica de 1,4 cm con vascularización central de aspecto patológico.
Pruebas complementarias
En el hospital se completaron mamografía, ecografía y RM mamaria, TC toracoabdominal, PET-TC y gammagrafía ósea, sin evidencia de metástasis a distancia. Estadio final: cT2N2.
Juicio clínico, diagnóstico diferencial, concordancia con el hospital (en su caso)
Los hallazgos orientan a sospecha de carcinoma de mama masculino. El diagnóstico diferencial incluyó ginecomastia, lipoma, lesiones benignas e inflamatorias, menos probables por clínica e imagen. El hospital confirmó la sospecha, ampliando estudio y estadificación.
Tratamiento, planes de actuación
Derivación urgente a la Unidad de Patología Mamaria.
Evolución
El paciente se encuentra pendiente de iniciar quimioterapia neoadyuvante, con seguimiento coordinado entre Atención Primaria y Oncología.
El caso subraya la importancia de reconsiderar diagnósticos previos ante cambios clínicos y del uso de la ecografía en Atención Primaria como herramienta accesible para diferenciar ginecomastia de lesiones sospechosas. Su empleo precoz permite una derivación rápida y mejora el pronóstico mediante diagnóstico y tratamiento oportunos.



