5, 6 y 7 de febrero de 2026
Toda herramienta que nos reduzca la incertidumbre en nuestras consultas, debe ser siempre bienvenida, por lo que el uso de la ecografía en esta patología tiene su lugar, aunque el Gold estándar sea el estudio del sueño, siendo útil sobre todo cuando la clínica es incierta y no tenemos clara la derivación.
Tras pequeño paso por unidad de Neumología y tras lectura de varios artículos planteando un protocolo ecográfico para la detección de SAOS. Poner en práctica dichos criterios ecográficos de SAOS, de forma que realizaremos ecografía en dos grupos de población, pacientes con sospecha clínica y pacientes ya diagnosticados, y ver correlación de hallazgos.
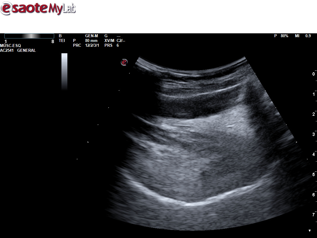
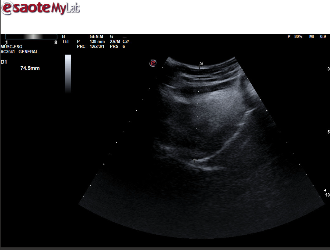
Para ello ponemos en práctica el protocolo específico de detección ecográfica de AOS, mediante la medición de la base de lengua y del espacio retrofaríngeo posterior para ver si cumple los criterios ecográficos establecidos, con las mediciones correspondientes que establecen la sospecha.
Buscar correlación entre los hallazgos encontrados y el diagnóstico de SAOS, esto nos ayuda a confirmar si la realización de esta valoración ecográfica nos ayuda a discernir si un paciente sintomático es más susceptible a ser derivado para estudio o no, especialmente en pacientes con duda clínica.
Toda herramienta que nos reduzca la incertidumbre en nuestras consultas, debe ser siempre bienvenido, por lo que el uso de la ecografía en esta patología tiene su lugar, aunque el Gold estándar sea el estudio del sueño, siendo útil sobre todo cuando la clínica es incierta y no tenemos clara la derivación.



