V Jornadas de Ecografía de la semFYC

9 y 10 de febrero de 2024

Comunicaciones: Casos clínicos

Más allá del dolor torácico (póster)

Ámbito del caso

Ámbito rural.

Motivos de consulta

Consulta a demanda por dolor torácico.

Historia clínica

Enfoque individual

Varón de 74 años. 

Antecedentes médicos: EPOC, asma, portador de marcapasos (DDD), estenosis e insuficiencia mitral, flutter auricular, miocardiopatía dilatada, SAOS. Portador de OCD. Insuficiencia cardíaca. Prótesis aórtica mecánica y anillo mitral.

Tratamiento activo: Bromuro de tiotropio, formoterol + budesonida, montelukast, sacubitril-valsartán, eplerenona, pravastatina, ezetimiba, furosemida, dapaglifozina, dutasterida + tamsulosina, bisoprolol, acenocumarol, amiodarona.

El paciente acude a consulta por dolor torácico. Lo refiere como dolor a punta de dedo no irradiado en hemitórax izquierdo, a nivel de últimas costillas. No está asociado a cortejo vegetativo ni empeora con el esfuerzo. Sí aumenta con respiración profunda y movimientos torácicos. Consiguió buen descanso pero al persistir el dolor por la mañana, decidió consultar.

Hace 2 semanas el paciente había estado hospitalizado por una neumonía en la base del campo pulmonar izquierdo. En la radiografía de control se observaron marcados cambios de enfisema y un pinzamiento de senos costofrénicos izquierdos de carácter crónico residual.

TA: 126/59 mmHg. FC: 70 lpm. SpO2: 90% CON oxigenoterapia a 2 litros. Glucemia digital: 157.

Auscultación cardíaca: click sistólico protésico con soplo sistólico.

Auscultación pulmonar: murmullo vesicular disminuido en base derecha, sin ruidos sobreañadidos.

Miembros inferiores: no presenta edemas ni signos flogóticos.

ECG: Ritmo de MP auricular y ventricular.

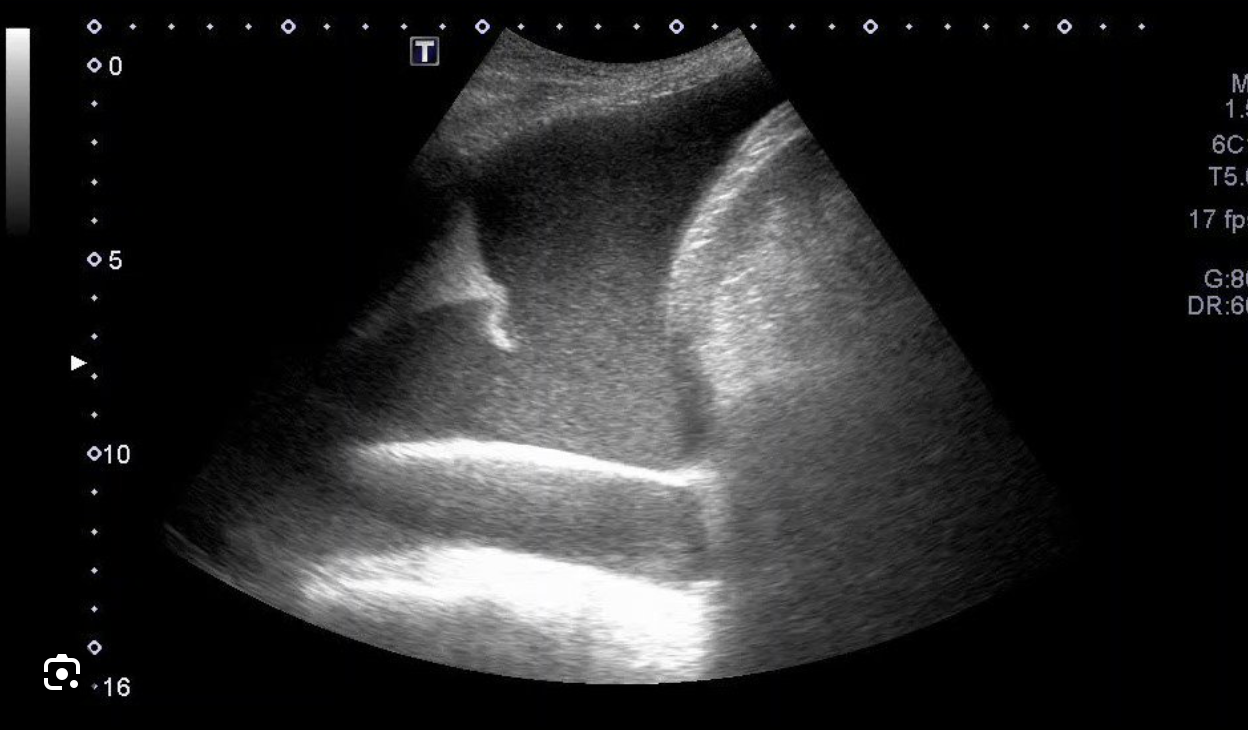
Ecografía pulmonar como pruebas complementaria en el diagnóstico diferencial.

Hallazgos ecográficos

Ecografía pulmonar: mínimo derrame pleural izquierdo sin derrame pericárdico asociado. Sí se detecta derrame pleural derecho, observándose el «signo de la medusa» que se corresponde con una atelectasia completa del lóbulo pulmonar inferior, que flota sobre un derrame pleural masivo. 

Juicio clínico, diagnóstico diferencial, identificación de problemas

Por tanto, gracias al estudio con ecografía pulmonar se pudo objetivar una agudización de insuficiencia cardíaca. Descartando otras causas del derrame a través de la clínica y el resto de exploraciones realizadas.

Tratamiento y planes de actuación

Por tanto, se decidió dar tratamiento diurético y reevaluar en consulta. En este caso ante la estabilidad del paciente y tras descartar otras causas de dolor torácico, se decidió no derivar a servicio hospitalario. 

Evolución

Posteriormente y tras el tratamiento diurético el derrame pleural desapareció y la clínica cedió. 

Conclusiones (y aplicabilidad para la Medicina de Familia)

  • La ecografía clínica es una prueba complementaria que nos ayuda a realizar un amplio diagnóstico diferencial desde Atención Primaria sin necesidad de traslado al ámbito hospitalario.


Comunicaciones y ponencias semFYC: 2026; Comunicaciones: Casos clínicos. ISSN: 2339-9333

Autores

Guillen Tarin, Maria
CS Integrado de Moncada
Gasós García, Cristina
CS Integrado de Moncada
Maciá Domenech, Ana
CS Integrado de Lliria