5, 6 y 7 de febrero de 2026
Ámbito hospitalario de Urgencias. Mujer de 26 años derivada desde Atención Primaria por dolor agudo en fosa renal e iliaca izquierda, acompañado de náuseas y vómitos bilioalimenticios de 6 horas de evolución. Refería episodios previos similares y antecedente de ovario poliquístico. En Atención Primaria presentaba sedimento urinario con hematíes, por lo que se orientó inicialmente a cólico nefrítico.
Dolor abdominal agudo irradiado a fosa iliaca izquierda, con cortejo vegetativo, sin fiebre ni clínica miccional. Constantes estables.
Enfoque individual
Enfoque individual: La exploración en Urgencias mostró dolor profundo en FII con signo del psoas positivo y sin signos de irritación peritoneal. La analítica reveló leucocitosis moderada, hematuria en sedimento y prueba de gestación negativa y radiografía de abdomen sin alteraciones.
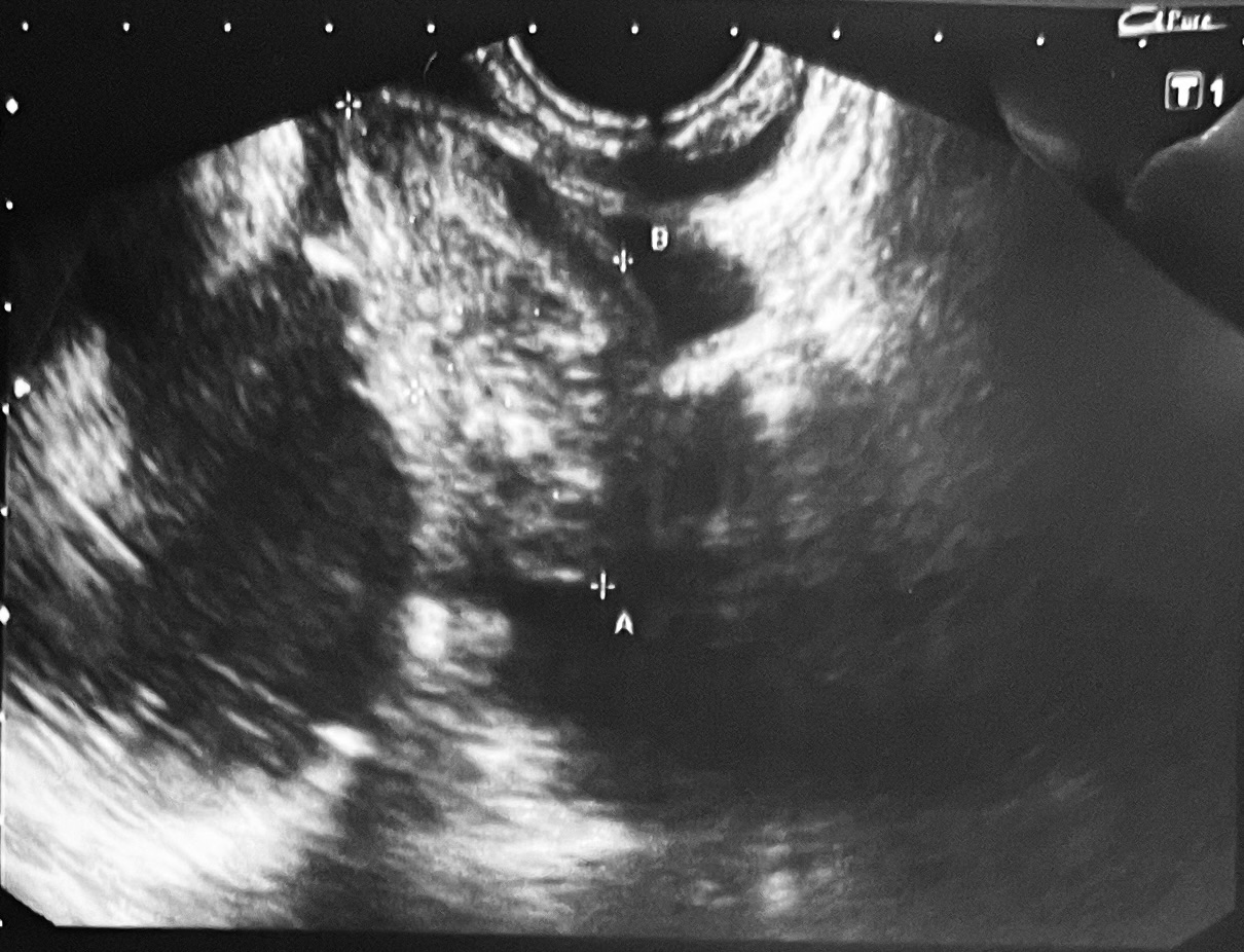
La ecografía clínica abdominal identificó una masa anexial heterogénea con áreas hiperecogénicas y refringentes, además de moderado líquido libre pélvico, hallazgos compatibles con lesión compleja de probable origen teratomatoso.
Ante estos datos se realizó interconsulta urgente a Ginecología, que mediante ecografía transvaginal confirmó múltiples imágenes anexiales heterogéneas con componentes sólidos y líquidos y focos hiperrefringentes sugestivos de teratoma dermoide.
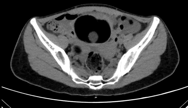
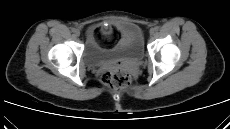
La TC abdominal mostró cuatro lesiones anexiales bien delimitadas, con predominio de contenido graso y nódulos murales calcificados, altamente compatibles con teratomas ováricos bilaterales, sin líquido libre en ese momento.
Enfoque familiar y comunitario
Sin relevancia familiar ni comunitaria para el proceso actual, sin factores contextuales que modificaran la valoración clínica o el manejo.
Juicio clínico, diagnóstico diferencial, identificación de problemas
Masa anexial compleja sugestiva de teratomas ováricos múltiples.
Diagnóstico diferencial: Cólico nefrítico, enfermedad inflamatoria pélvica, torsión ovárica, masa anexial benigna.
Tratamiento y planes de actuación
Observación, analgesia intravenosa, control evolutivo y valoración conjunta con Ginecología ante el riesgo de complicación anexial.
Evolución
La paciente desarrolló leucocitosis ascendente y persistencia de molestias, orientando a pseudotorsión ovárica, sin alteración de constantes. Se decidió ingreso, confirmándose torsión anexial izquierda en laparoscopia. Se realizó anexectomía izquierda con evolución postoperatoria favorable.
La ecografía clínica en Urgencias permitió identificar una masa anexial compleja no sospechada en un cuadro inicialmente compatible con cólico nefrítico, modificando de forma inmediata el circuito diagnóstico-terapéutico. Este caso evidencia la utilidad de la ecografía realizada por Medicina de Familia para detectar precozmente patología ginecológica urgente, optimizar el triaje y reducir retrasos en procesos tiempo-dependientes como la torsión ovárica.



