X Jornadas de Actualización en Medicina de Urgencias y VI Jornadas de Ecografía de la semFYC
6-7-8 de febrero de 2025
Servicio de Urgencias Hospitalarias.
Mastalgia bilateral y disnea.
Enfoque individual: antecedentes personales, anamnesis, exploración, pruebas complementarias, etc.
Mujer de 66 años, fumadora de un paquete diario, con antecedente de artritis reumatoide.
Consultó por cuadro de dos días de evolución de aumento de tamaño y dolor en ambas mamas, siendo diagnosticada de mastitis aguda bilateral. Acudió nuevamente por ausencia de mejoría junto a edema cervicofacial y disnea de mínimos esfuerzos.
A la exploración física se encontraba hipotensa, normocárdica, afebril y con taquipnea superficial. Destacaba edema y eritema de ambas mamas, sin nódulos, adenopatías axilares o secreción en pezones. Asimismo, presentaba eritema de hemitórax superior con telangiectasias, edema cervical y de miembro superior izquierdo. Auscultación cardiopulmonar sin hallazgos y extremidades inferiores sin signos de trombosis.
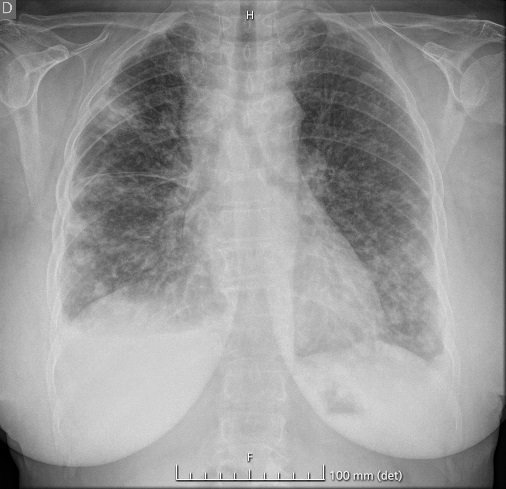
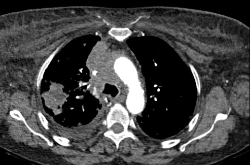
Se solicitó analítica, destacando aumento de reactantes de fase aguda, elevación de dímero D y alcalosis respiratoria. En la radiografía de tórax se identificó ensanchamiento mediastínico y nódulos bilaterales. Se realizó TC de tórax, con hallazgos de masa pulmonar en lóbulo superior derecho y múltiples adenopatías, constituyendo en mediastino anterior un conglomerado con severa compresión extrínseca de la vena cava superior.
Enfoque familiar y comunitario: estudio de la familia y la comunidad (si fuese necesario)
Vive con su marido en un piso en buenas condiciones.
Juicio clínico, diagnóstico diferencial, identificación de problemas
Ante cuadro agudo de edema en tronco superior y disnea, se establece diagnóstico diferencial con: insuficiencia cardíaca, angioedema, taponamiento cardíaco y enfermedad tromboembólica venosa. El juicio clínico fue síndrome de vena cava superior (SVCS) secundario a neoplasia pulmonar, estadio T4N3M1a.
Tratamiento y planes de actuación.
Se inició dexametasona y se solicitó flebografía que identificó estenosis significativas en vena cava superior y vena braquiocefálica izquierda. Se realizó angioplastia y colocación de dos endoprótesis, con recanalización.
Evolución
Se objetivó remisión progresiva de la edematización y la disnea. Posteriormente se realizó biopsia de masa pulmonar y fue dada de alta, pendiente de resultado histológico y tratamiento definitivo.
El SVCS obedece mayoritariamente a una neoplasia subyacente, con el cáncer de pulmón como causa principal. La sospecha clínica se basa en síntomas como disnea y signos como el edema en esclavina y la circulación colateral en tórax. La radiografía de tórax muestra alteraciones hasta en el 85% de los casos, siendo clave en el diagnóstico inicial. La detección desde Urgencias permite instaurar un tratamiento precoz, mejorando la calidad de vida de los pacientes y la supervivencia.



