V Jornadas de Ecografía de la semFYC
9 y 10 de febrero de 2024
Dolor en fosa renal derecha resistente a tratamiento
Enfoque individual
AP:NAMC
No FRCV
No hábitos tóxicos
Meningioma paraoftálmico izquierdo en 2011 tratado con craneotomía.
Rotura de menisco externo de rodilla izquierda en 2019. Meniscectomía parcial.
No tto crónico
EA: mujer de 57 años, acude por persistencia de dolor en FRD tras 3 asistencias a SUH sin control del dolor, acompañado de síndrome constitucional (> 10 kg en 3 meses). No otra clínica.
EF:
AEG
ACP: normal
ABD: hepatomegalia de 2 traveses. Dolor a la palpación generalizado, sin signos de irritación peritoneal.
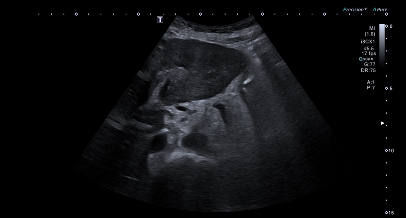
Hallazgos ecográficos
Ecografía abdominal en AP: se observan múltiples LOES hepáticas sugestivas de metástasis.
Pruebas complementarias
AS: GGT: 555 UI/L, FA: 460 UI/L, LDH: 276 UI/L, resto normal.
Marcadores tumorales: normales
Juicio clínico, diagnóstico diferencial, identificación de problemas
Cólico nefrítico complicado
Síndrome constitucional a estudio
Proceso neoplásico
Tratamiento y planes de actuación
Se realiza IC por vía rápida a Medicina Interna quien ve a la paciente en dos días:
Tratamiento:
Dieta y ejercicio físico
Omeprazol 20 mg
Alprazolam 1 mg
Fentanilo 75 1 parche cada 72 h
Evolución
Tras ser evaluada por MI, se realiza:
TC abdominal: múltiples LOES hepáticas focales compatibles con metástasis. Carcinomatosis peritoneal. Ovarios aumentados de tamaño con captación heterogénea compatible con metástasis/Krukenberg.
Gastroscopia: sin hallazgos de malignidad.
Bx hepática con AP: Adenocarcinoma de origen ducto-bilio-pancreático sugestivo de «colangiocarcinoma intrahepático» estadio IV con afectación hepática, ganglionar y carcinomatosis.
Las largas listas de espera para la realización de pruebas de imagen, hace que muchos cuadros clínicos que no parecen tener importancia, acaben siendo verdaderas urgencias, y en el momento de diagnóstico, las opciones terapéuticas sean limitadas. La ecografía es una prueba inocua, que permite acotar el número de diagnósticos diferenciales tras la exploración, disminuye la incertidumbre poblacional y ayuda en la toma de decisiones clínicas, permitiendo así una mejor y rápida derivación de aquellas patologías urgentes. Además, no puede servir de guía para realizar procedimientos mínimamente invasivos, evitando en cualquier caso, la sobrecarga del sistema sanitario.
