5, 6 y 7 de febrero de 2026
Urgencias hospitalarias.
Vómitos y síndrome constitucional de un mes de evolución.
Enfoque individual
Hombre de 53 años, sin antecedentes relevantes, consulta por astenia, pérdida de peso y sudoración nocturna de un mes, con vómitos e intolerancia oral en la última semana y hematemesis en posos de café esa mañana. Afebril, sin clínica infecciosa. Exploración: abdomen blando, hernia abdominal antigua, resto anodino.
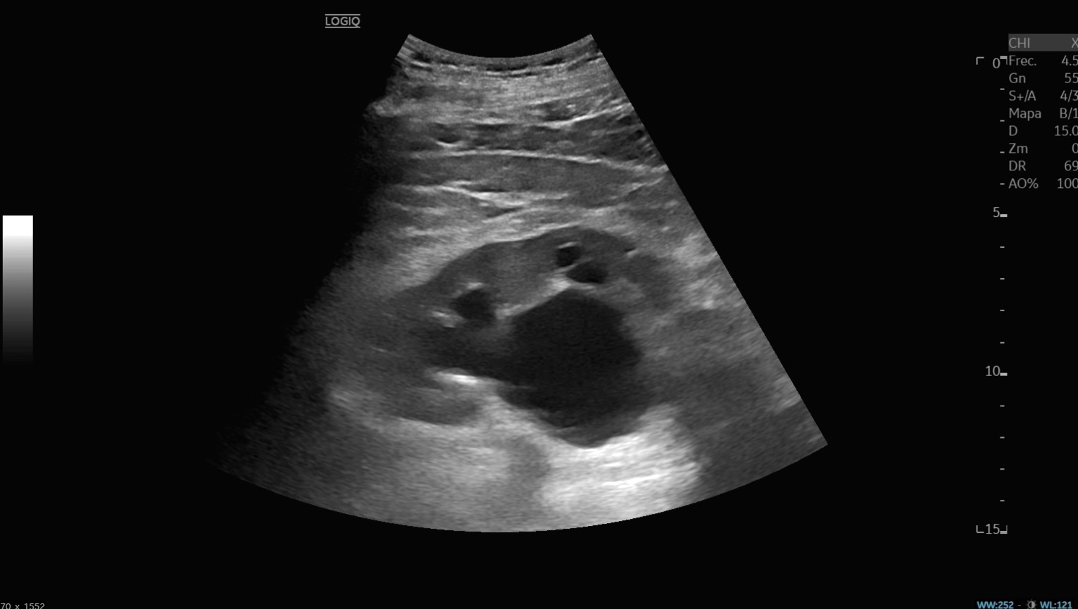
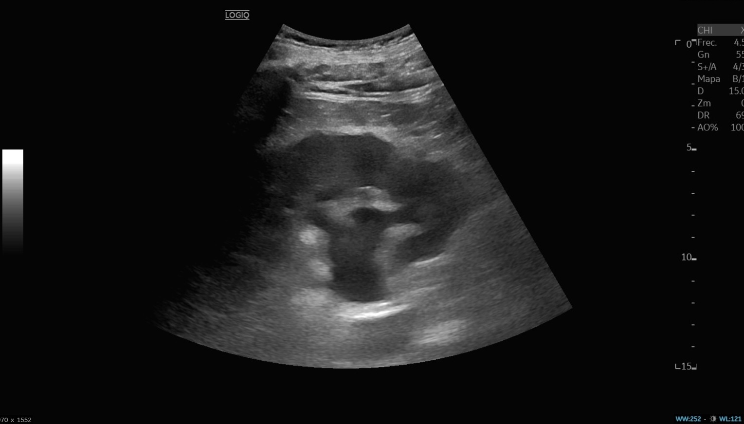
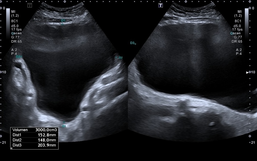
Ecografía abdominal: vejiga hiperdistendida con unos 3000 ml de orina y hidronefrosis bilateral moderada-severa, sin lesiones intravesicales ni causa obstructiva aparente. Analítica: anemia microcítica (Hb 9 g/dl), insuficiencia renal aguda grave (urea 409, creatinina 14,2), acidosis metabólica (pH 7,26; HCO₃ 6,3), PCR 19,7. Sedimento urinario positivo para infección.
Enfoque familiar y comunitario
No antecedentes familiares de interés.
Juicio clínico, diagnóstico diferencial, identificación de problemas
Por el cuadro constitucional y vómitos, la primera sospecha fue neoplasia maligna. Sin embargo, la ecografía reveló retención urinaria masiva con afectación pielocalicial bilateral, orientando el diagnóstico hacia insuficiencia renal aguda obstructiva.
Tratamiento y planes de actuación
Se realiza sondaje vesical, fluidoterapia, bicarbonato y omeprazol IV. Ante la sospecha de hemorragia digestiva alta, se contacta con endoscopista y se realiza gastroscopia urgente, que muestra esofagitis grado A y duodenitis eritematosa, sin sangrado activo.
Evolución
El paciente ingresa a cargo de urología. En la revaluación conjunta refiere clínica miccional crónica con empeoramiento reciente. Evolución favorable con mejoría clínica y analítica progresiva. Alta con diagnóstico de vejiga hipotónica, pendiente de tratamiento quirúrgico definitivo.
Aunque el cuadro inicial sugería patología oncológica, la ecografía abdominal en urgencias permitió identificar la verdadera causa: una retención urinaria masiva con insuficiencia renal obstructiva grave. Este caso subraya la necesidad de considerar causas funcionales u obstructivas ante síntomas constitucionales inespecíficos y destaca el valor de la ecografía como herramienta diagnóstica precoz, evitando retrasos y procedimientos invasivos innecesarios.



