5, 6 y 7 de febrero de 2026
Servicio de urgencias ambulatorias (CUAP).
Paciente mujer de 58 años, sin alergias medicamentosas ni hábitos tóxicos. Antecedente personal de HTA y asma.
Consulta por persistencia del cuadro de bronquitis aguda de 7 días de evolución, en tratamiento con broncodilatadores y corticoides orales. Refiere empeoramiento de la tos seca y disnea. Niega otra sintomatología.
Enfoque individual
Exploración: Tª: 37,6 ºC, SatO₂ 97% ambiente. FR 25 rpm. Resto constantes normales. Destaca respiratoriamente roncus generalizados y sibilancias espiratorias. Resto de exploración normal.
Antígenos Grip A/B y Covid: negativo; RX tórax: sin hallazgos patológicos.
Enfoque familiar y comunitario
Situación sociofamiliar con independencia total para las actividades básicas de la vida diaria.
Juicio clínico, diagnóstico diferencial, identificación de problemas
Disnea y tos, sin foco clínico ni radiológico aparente. Necesidad de confirmar o descartar infección bacteriana para decidir actitud terapéutica (inicio de antibiótico o no).
Tratamiento y planes de actuación
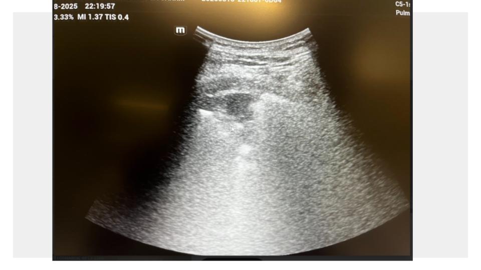
Se realiza ecografía pulmonar a pie de cama, donde se objetiva: consolidación subpleural en lóbulo inferior derecho, compatible con neumonía.
Se inicia tratamiento antibiótico dirigido por sospecha de neumonía neumocócica de la comunidad, sin necesidad de hacer otras pruebas diagnósticas que irradian o de derivar al hospital. Diagnóstico y tratamiento precoz en patología incipiente que puede tener evolución rápida y tórpida
Evolución
Valorada a las 48 horas en el ambulatorio por el mismo médico, la paciente refiere mejoría clínica, disminución de la disnea, afebril, reducción de la tos. A la exploración, buen estado general, respiratoriamente disminución de roncus y sibilancias.
Se completa tratamiento antibiótico ambulatoriamente sin incidencias.
Este caso refleja el valor de la ecografía pulmonar en el primer nivel asistencial para identificar neumonías que no son visibles en la radiografía. La incorporación de esta herramienta en la consulta permite mejorar el enfoque diagnóstico en tiempo real, evitar el uso empírico innecesario de antibióticos, reducir derivaciones innecesarias y aumentar la resolubilidad del médico de familia.
La formación básica en ecografía clínica y la disponibilidad de ecógrafos portátiles permite integrar esta práctica en Atención Primaria y urgencias extrahospitalarias, con un gran impacto en la calidad asistencial y en el uso racional de recursos.

