X Jornadas de Actualización en Medicina de Urgencias y VI Jornadas de Ecografía de la semFYC
6-7-8 de febrero de 2025
Servicio de Urgencias
Antecedentes personales relevantes, anamnesis, exploración física y lugar que ocupa en ella la ecografía
El paciente presenta antecedentes de dislipemia, hipertensión, insuficiencia cardíaca y enfermedad restrictiva por espacio muerto, siendo además un paciente dependiente.
Presenta clínica de insuficiencia cardíaca con aumento de su disnea basal, ortopnea, disnea paroxística nocturna y edemas en MMII. Acude taquipneico con uso de musculatura accesoria a 30 respiraciones por minuto, frecuencia cardíaca en 100 latidos por minuto, tensión arterial 170/95 mmHg y pulsioximetría en 89 con ventimask, con auscultación cardio-respiratoria con crepitantes bibasales y taquiarritmia sinusal sin soplos. Edemas en MMII con fóvea+++/+++ hasta pantorrillas, sin signos de trombosis. Resto de exploración anodina.
Descripción de los hallazgos ecográficos y las imágenes más relevantes para la resolución del caso
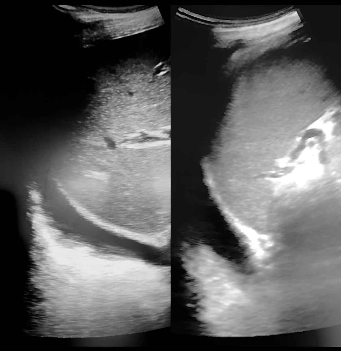
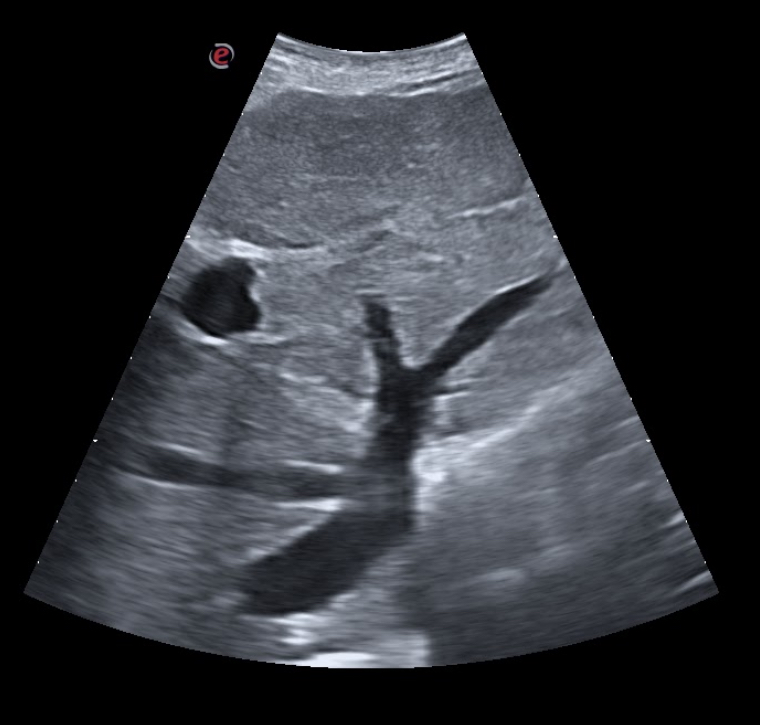
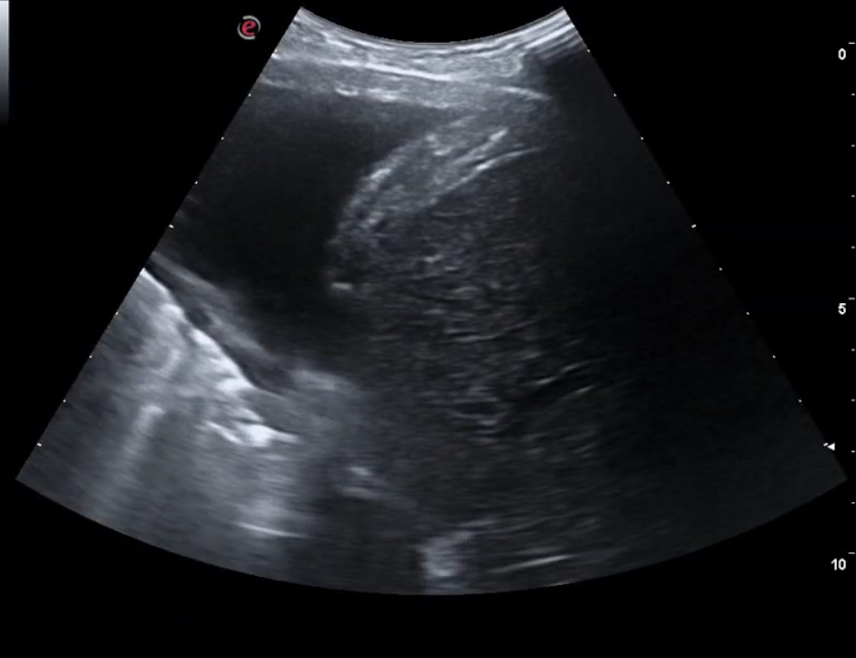
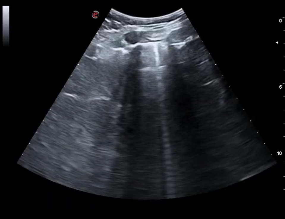
Se decidió realizar ecografía clínica pulmonar apreciándose líneas B en campos 2-4-6 de ambos pulmones con derrame en ambos senos costofrénicos visualizándose la cola de sirena y vena cava congestiva. La ecocardiografía realizada por los cardiólogos no mostró defectos en la contractilidad.
Otras pruebas complementarias realizadas (si existen)
La analítica mostró un péptido natriurético en 15000 pg/mL con troponina I en 75 ng/mlen doble seriación, con parámetros inflamatorios negativos sin otros hallazgos. La radiografía de tórax impresionaba de infiltrados periféricos sin apreciarse líquido en senos costofrénicos.
Juicio clínico, diagnóstico diferencial, concordancia con el hospital (en su caso)
Juicio clínico: Edema agudo de pulmón hipertensivo, Insuficiencia Cardíaca NYHA (New York Hear Associato) IV.
Diagnóstico diferencial: Asma, Reagudización de EPOC, neumotórax, tromboembolismo pulmonar, distrés respiratorio.
Diagnóstico clave: edema agudo pulmonar hipertensivo versus no hipertensivo.
Decisiones adoptadas: tratamiento, planes de actuación
Se inició terapia con dispositivo de presión positiva binivelada en las vías respiratorias (BiPAP), perfusión de mórfico (15 mL/hora), morfina subcutánea, furosemida 40 mg en bolo y en perfusión (5 mL/hora).
Evolución y seguimiento
La evolución en urgencias fue favorable, precisando de un ingreso planta para estabilización. En las primeras 24 horas se produjo una diuresis de 1750 mL con hemodinámica estable. Además, a las 12 horas se pudo retirar BiPAP con adaptación a gafas nasales con buena saturación.
Las guías priorizan el uso de BiPAP para esta patología, por presentar mayor rentabilidad. Además, la rápida instauración para el edema agudo de pulmón, mejora el pronóstico, en este caso no se usaron inotrópicos por la taquicardia.
Por otro lado la ecografía en la insuficiencia cardíaca nos permite una aproximación diagnóstica en el paciente crítico permitiéndonos ser más invasivos en el tratamiento en función de los hallazgos.



