V Jornadas de Ecografía de la semFYC

9 y 10 de febrero de 2024

Comunicaciones: Casos clínicos

Lo que un ganglio esconde (póster)

Ámbito del caso

Atención Primaria

Motivos de consulta

Bultoma submandibular derecho, sin especificar tiempo de evolución y sin clínica infecciosa.

Historia clínica

Enfoque individual

Mujer de 54 años diagnosticada de tabaquismo, hipercolesterolemia y EPOC. Con antecedentes familiares de padre intervenido de bocio y hermana con bocio nodular.

En la exploración física se objetiva AC y AP sin alteraciones, faringe hiperémica y se palpa bultoma indurado, no doloroso y móvil submandibular derecho. En este contexto se realiza ecografía en la consulta.

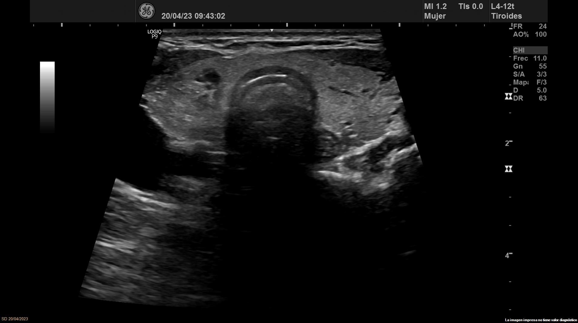
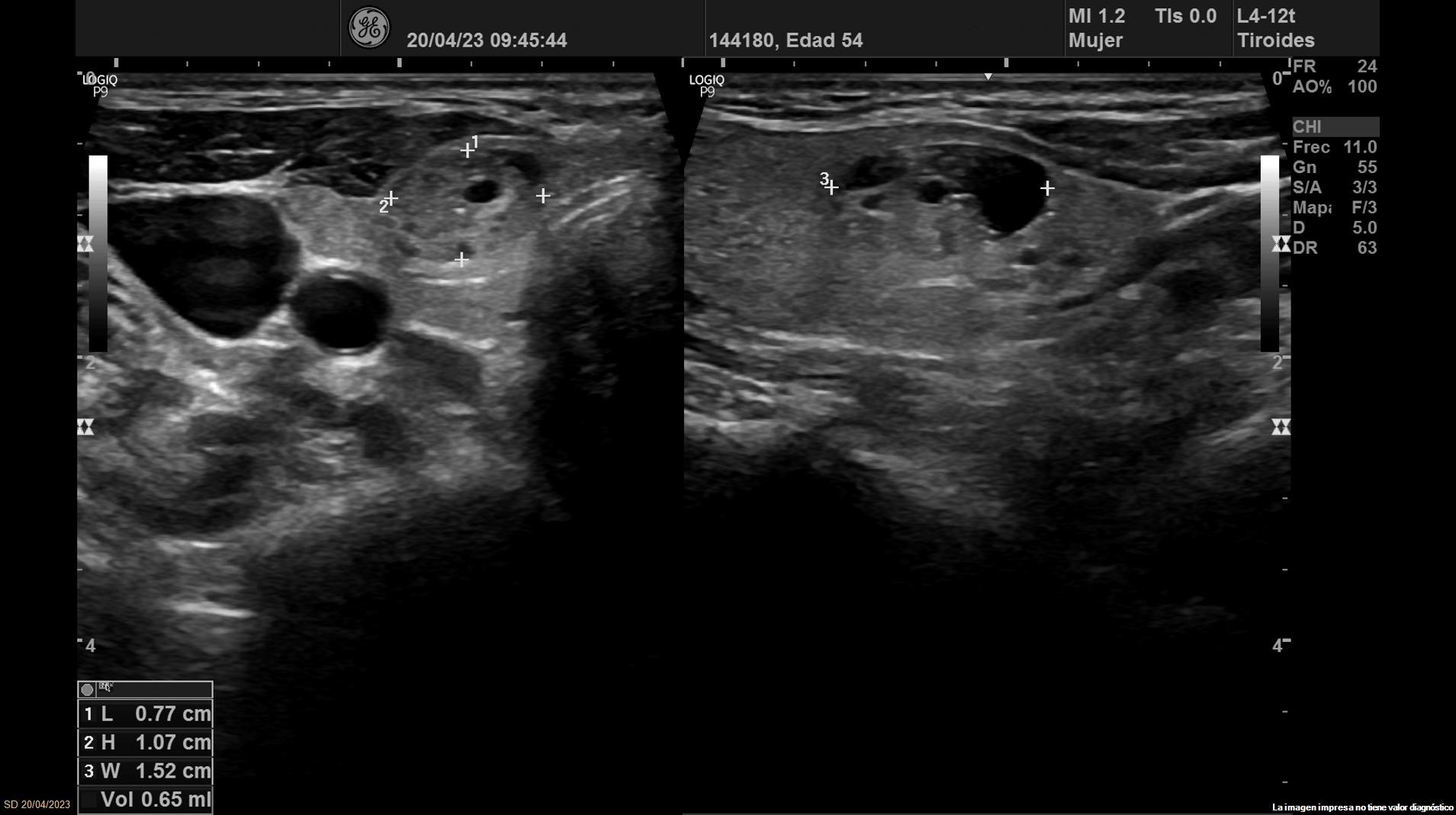
Hallazgos ecográficos

Se objetiva una adenopatía de 0,8 cm de aspecto benigno, ovalada y con bordes definidos. Además, se realiza ecografía tiroidea:

  • Lóbulo tiroideo izquierdo: tamaño normal. En la mitad inferior se objetiva un nódulo de 11 x 14 x 20 mm (Vol 1,52 ml), bien definido, sólido e iso/hiperecoico, con halo fino hipoecoico, sin calcio y con vascularización de predominio periférico (ATA: baja sospecha).
  • Lóbulo tiroideo derecho: tamaño normal. En tercio inferior nódulo único espongiforme con área quística inferior que mide 15 mm de diámetro mayor longitudinal (ATA: baja sospecha).

Pruebas complementarias

Se solicita analítica con hormonas tiroideas en rango. Resto sin alteraciones.

Juicio clínico, diagnóstico diferencial, identificación de problemas

Ante los hallazgos obtenidos, nos planteamos el diagnostico diferencial entre los nódulos tiroideos benignos y malignos. Se deriva a Endocrinología donde realizan nueva ecografía que concuerda con la nuestra. 
Se solicita biopsia PAAF obteniendo el diagnóstico definitivo de bocio nodular normofuncionante con estudio citológico de nódulo dominante izquierdo compatible con neoplasia folicular (Bethesda 4). 

Tratamiento y planes de actuación

Se propone tiroidectomía total.

Evolución

La paciente se encuentra asintomática a la espera de intervención quirúrgica.

Conclusiones (y aplicabilidad para la Medicina de Familia)

La ecografía clínica es una herramienta que complementa la anamnesis y exploración física en nuestra consulta, facilitando y agilizando la toma de decisiones. Gracias a la integración de esta técnica somos capaces de realizar una primera orientación diagnóstica que permite, en casos como el expuesto, aumentar la seguridad a la hora de derivar a otras especialidades y, más específicamente, un tratamiento temprano y certero de lesiones de malignas.

A pesar de no estar indicada la ecografía tiroidea de forma rutinaria por la gran prevalencia de nódulos benignos, se recomienda en caso de bultoma cervical hacer un estudio más extensivo en el que se incluye este órgano.


Comunicaciones y ponencias semFYC: 2026; Comunicaciones: Casos clínicos. ISSN: 2339-9333

Autores

Saro De Aldecoa, Javier
CS de Burlada. Pamplona
Romero Betelu, Nerea
CS de Burlada. Pamplona
Murguiondo Otaola, Ana
CS de Burlada. Pamplona