Comunicaciones: Casos clínicos

Lo que un cólico esconde (póster)

Ámbito del caso

Atención primaria, urgencias y urología.

Motivos de consulta

Paciente de 55 años que acude a consulta por molestias en zona lumbar derecha de 4 días de evolución.

Historia clínica

Enfoque individual

Antecedentes de cólicos renales de repetición. No otros antecedentes de interés. El paciente refiere dolor lumbar de unos días de evolución, que describe en el momento de la consulta describe como «leve y sordo» pero refiere que en días previos había sido más agudo, niega disminución de diuresis ni otra clínica asociada. Exploración anodina. Se decide realizar ecografía urológica en consulta para descartar complicaciones agudas que requieran actuación urgente.  

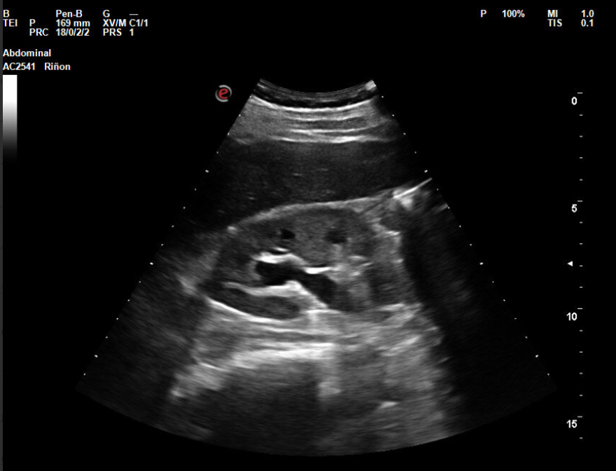
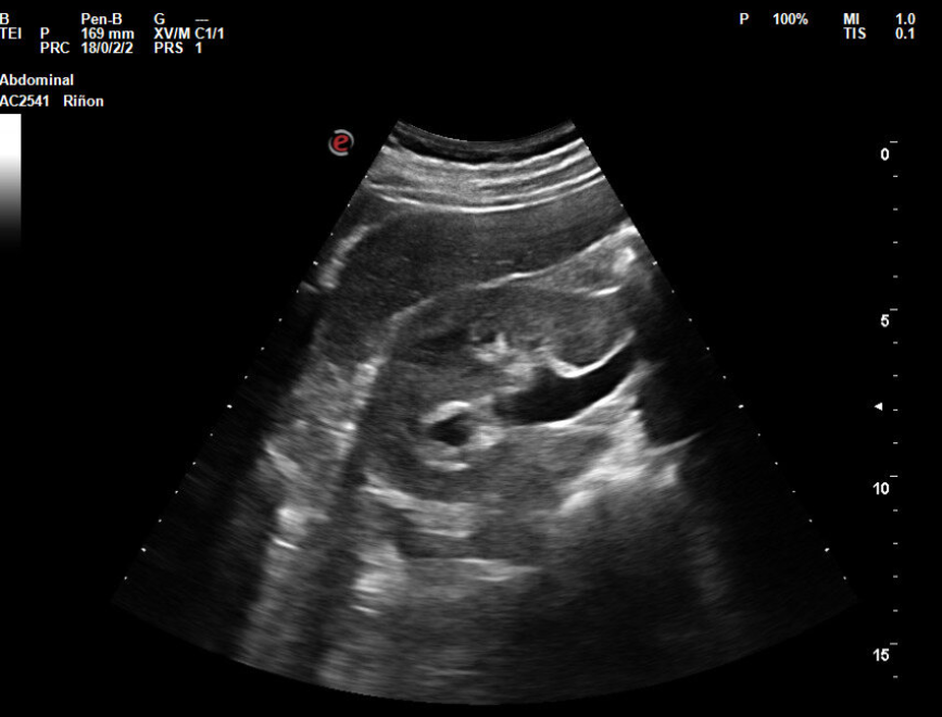
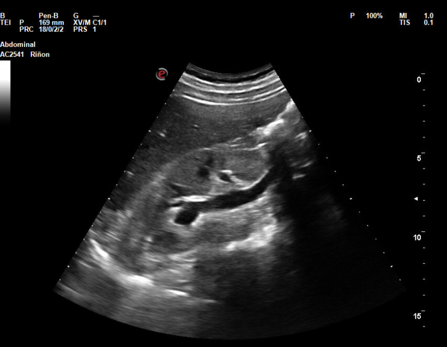
Hallazgos ecográficos

En la ecografía objetivamos discreta dilatación calicial y dilatación del uréter derecho. Se visualiza vejiga de características normales, con jet ureteral bilateral presente. No se objetivan litiasis. Tras explicar signos y síntomas de alarma por los que acudir a urgencias se decide solicitar estudio con ecografía preferente para revalorar y verificar resolución del cuadro, y realizar consulta preferente a urología.  

Pruebas complementarias

El paciente acude posteriormente a urgencias del hospital por reagudización del cuadro. Se realiza analítica con creatinina 1,24, y microhematuria, resto de valores sin hallazgos relevantes. Además, realizan ecografía urgente: Leve ureterohidronefrosis derecha sin visualizarse causa obstructiva mediante esta técnica. También realizan radiografía abdominal, sin objetivar clara imagen de litiasis. 

Juicio clínico, diagnóstico diferencial, concordancia con el hospital (en su caso)

Cólico renal derecho. Hidronefrosis leve. Las imágenes de ecografía obtenidas en el hospital son concordantes con las del centro de salud. También la actitud terapéutica elegida ya que se opta por una actitud conservadora a la espera de respuesta de urología. 

Tratamiento, planes de actuación

Por recomendación de urología se inicia tratamiento con tamsulosina 0,4 mg cada 24 h. Además, los urólogos tras revisar la radiografía realizada en urgencias visualizan imagen radioopaca que podría tratarse de una pequeña litiasis en lado derecho, a nivel de sacro. 

Evolución

El paciente se encuentra asintomático en la actualidad, pendiente de ser valorado por urología en consulta.  

Conclusiones y aplicabilidad para la medicina de familia

La ecografía se está convirtiendo poco a poco en una herramienta imprescindible en la consulta de atención primaria. Permite tener otro ángulo de la patología, facilitándonos información complementaria y útil de cara a categorizar la gravedad de las patologías que padecen los pacientes que atendemos.   
 
 

Comunicaciones y ponencias semFYC: 2026; Comunicaciones: Casos clínicos. ISSN: 2339-9333

Autores

Muñoa Peran, Maria
CS de Alza-Roteta. Donostia, San Sebastián
Gutiérrez Stampa, M. Ángeles
CS de Alza-Roteta. Donostia, San Sebastián