5, 6 y 7 de febrero de 2026
Atención Primaria.
Motivos de consulta
Enfoque individual
Mujer de 28 años, con AP de Ehlers-Danlos y asma. Hace 2 días acudió a Urgencias por proceso infeccioso respiratorio donde le solicitaron una gasometría arterial radial como parte del estudio. Desde entonces, la paciente refiere parestesias en territorio del nervio mediano con determinadas posturas. En la exploración física: hematoma visible sobre la arteria radial, sin déficit motor ni pérdida de fuerza. Parestesias desencadenadas con la flexión palmar y extensión forzada de la muñeca. Signos de Phalen y Tinel negativos. Integramos la ecografía clínica como parte de la exploración para evaluar en tiempo real la relación anatómica entre el hematoma y el nervio mediano, descartar otras patologías graves y orientar la toma de decisiones.
Hallazgos ecográficos
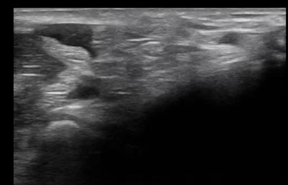
Se identificó un hematoma localizado justo por debajo del nervio mediano, que con la flexoextensión de la muñeca provocaba su compresión. No se realizaron pruebas adicionales. La ecografía clínica fue suficiente para el diagnóstico y manejo.
Pruebas complementarias
Hematoma postpunción con compresión dinámica del nervio mediano.
Juicio clínico, diagnóstico diferencial, concordancia con el hospital (en su caso)
Diagnóstico diferencial: síndrome compartimental, neuropatía compresiva idiopática, trombosis, tendinitis. No fue necesaria derivación hospitalaria; la ecografía permitió diagnóstico definitivo y seguimiento seguro en Atención Primaria.
Tratamiento, planes de actuación
Tratamiento conservador con observación, medidas posturales y masaje local; seguimiento ecográfico.
Evolución
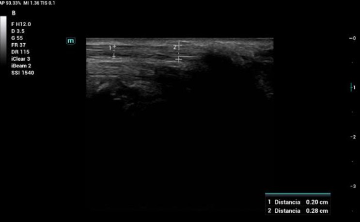
A los 15 días, la paciente refería clara mejoría. La ecografía de control mostró desaparición del hematoma y normalización del área transversal del nervio mediano (9 mm²).
Este caso ilustra el papel de la ecografía clínica en Atención Primaria como herramienta rápida, resolutiva y de enorme valor diagnóstico. Gracias a ella se identificó el origen de las parestesias en tiempo real, se evitaron derivaciones hospitalarias innecesarias y se realizó un seguimiento evolutivo eficaz con recursos disponibles en el centro de salud.
La ecografía permitió transformar una consulta con sospecha de neuropatía incierta en un diagnóstico claro y un manejo seguro. Un ecógrafo en manos del Médico de Atención Primaria no solo responde preguntas: cambia decisiones clínicas.



