5, 6 y 7 de febrero de 2026
Enfoque individual
Mujer de 18 años sin antecedentes personales de interés, acude a consulta de Atención Primaria (AP) por cansancio y caída de pelo de 4 meses de evolución. Refiere mala tolerancia al frío desde pequeña. Niega clínica a otros niveles. No síndrome general asociado. Se pregunta por antecedentes familiares y refiere que su madre y abuela materna «padecen del tiroides».
A la exploración física presenta una auscultación cardiopulmonar normal y un abdomen anodino. No lesiones en la piel. Se realiza exploración de cabeza y cuello palpando un aumento difuso de la glándula tiroidea, sin lesiones nodulares evidentes.
Hallazgos ecográficos
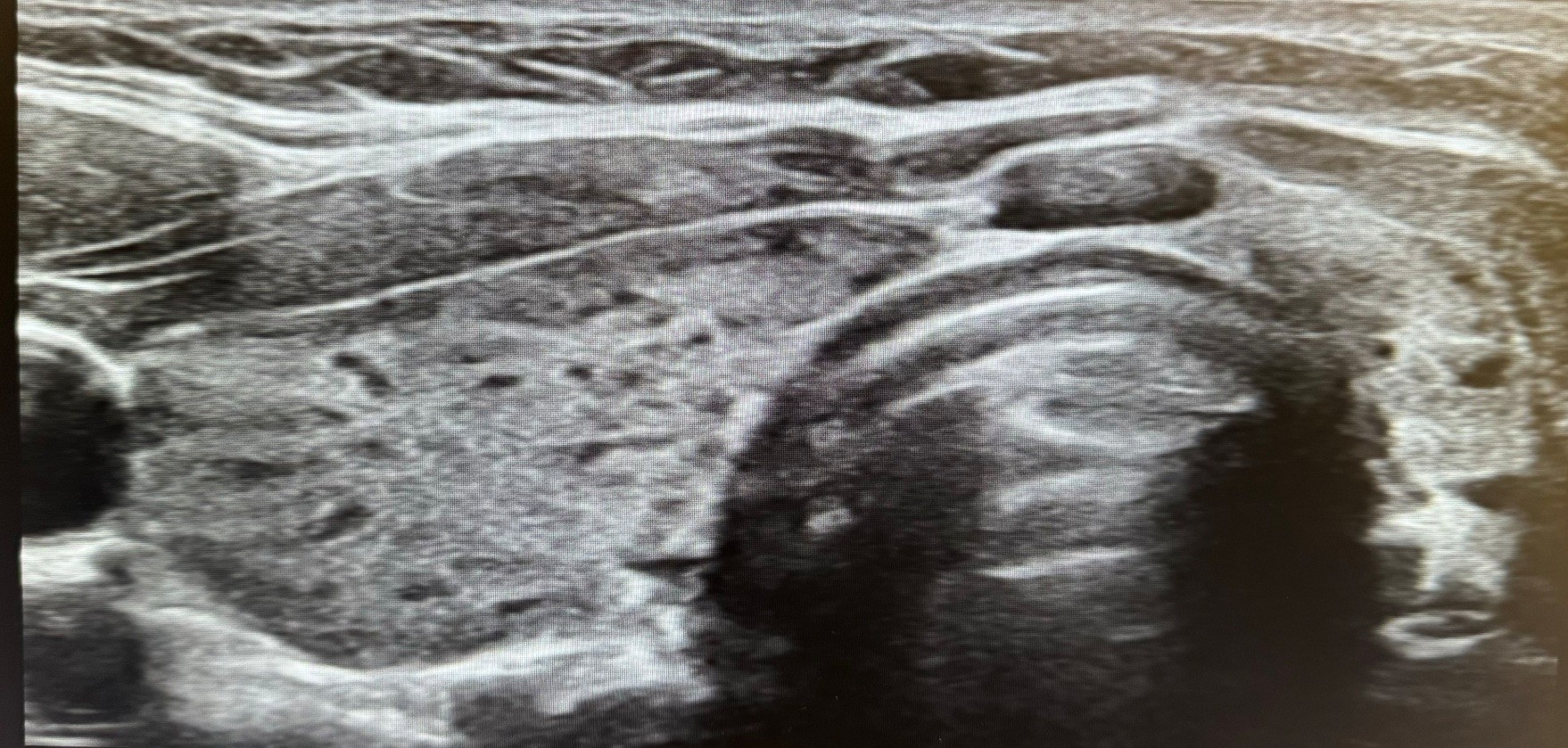
Se realiza una ecografía clínica en la que se objetiva un parénquima tiroideo de aspecto apolillado, heterogéneo con micronódulos hipoecoicos y aumento heterogéneo de la vascularización. No se identifican lesiones nodulares sospechosas de malignidad. Ambos lóbulos tiroideos e istmo presentan un tamaño dentro de la normalidad.
Juicio clínico, diagnóstico diferencial, concordancia con el hospital (en su caso)
Estos hallazgos ecográficos, junto con la anamnesis y exploración física, orientan al diagnóstico de tiroiditis de Hashimoto.
Se solicita analítica sanguínea en la que se objetiva una TSH de 7,93 Ul/mL, T4 de 0,88 ng/dl y anticuerpos antiperoxidasa positivos, lo que nos permite establecer el diagnóstico de tiroiditis autoinmune de Hashimoto.
Los principales diagnósticos diferenciales son el bocio no tóxico, enfermedad de Graves, tiroiditis crónicas o neoplasias de tiroides.
Tratamiento, planes de actuación
Se inicia tratamiento con hormona tiroidea sintética.
Evolución
Se programa para realizar un control clínico y analítico en seis semanas, tras inicio de tratamiento.
La tiroiditis autoinmune de Hashimoto es la causa más frecuente de hipotiroidismo en áreas con adecuada ingesta de yodo. Se trata de una enfermedad autoinmune crónica que se caracteriza por la presencia de un pequeño bocio firme e irregular, no doloroso al tacto. Los anticuerpos antiperoxidasa son positivos en el 90% de los pacientes y los anti-tiroglobulina en un 60-80%. El tratamiento del hipotiroidismo consiste en la reposición de la producción de la glándula tiroides.
Desde AP resulta de gran interés una adecuada anamnesis y exploración física que nos permitan orientar el diagnóstico. La ecografía clínica permitió apoyar el diagnóstico de tiroiditis autoinmune.


