X Jornadas de Actualización en Medicina de Urgencias y VI Jornadas de Ecografía de la semFYC
6-7-8 de febrero de 2025
Servicio de Urgencias.
Dolor en hipocondrio derecho (HD).
Enfoque individual: antecedentes personales, anamnesis, exploración, pruebas complementarias, etc.
Antecedentes personales: Vitíligo.
Anamnesis: paciente de 58 años que acude Urgencias derivado desde su centro de salud por cuadro de posible cólico biliar y hallazgo de lesiones hepáticas visualizadas en ecógrafo en consulta. Refiere dolor en HD y sensación distérmica desde hace ocho días.
Exploración física: constantes estables. Abdomen doloroso a la palpación en HD y signo de Murphy positivo. Resto normal.
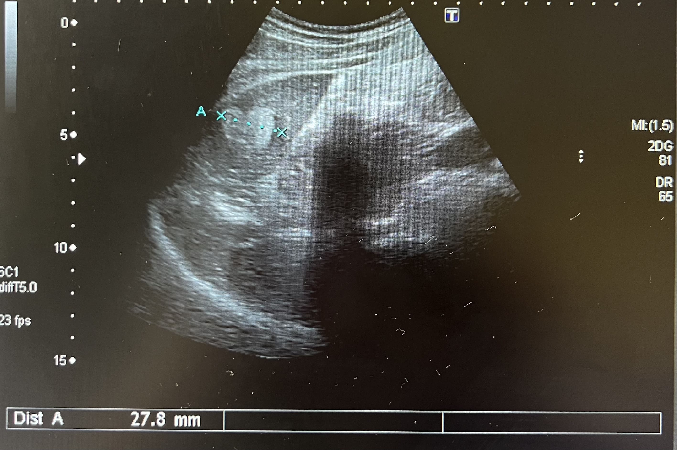
Pruebas complementarias: analítica normal. La ecografía abdominal muestra múltiples imágenes ecogénicas bien definidas en ambos lóbulos, de tamaño variable. Vesícula biliar con dos litiasis subcentimétricas y discreto edema de pared compatible con colecistitis. Estos hallazgos se confirman mediante la realización de una ecografía reglada por parte de radiología.
Juicio clínico, diagnóstico diferencial, identificación de problemas
Juicio clínico: Hemangiomas hepáticos. Colecistitis.
Diagnóstico diferencial: con otras lesiones focales sólidas del hígado. La imagen ecográfica del hemangioma es de una o varias lesiones hiperecogénicas bien definidas que no captan Doppler. La hiperplasia nodular focal se presenta como una lesión hipo o isoecoica que puede captar Doppler. El adenoma se presenta como una masa hiper o hipoecoica con áreas anecoicas, mostrando el Doppler un tumor hipervascular. El hepatocarcinoma tiene un aspecto ecográfico variable, como masa o nódulos hipoecoicos, mal diferenciados e hipervascularizados. Las metástasis hepáticas se suelen presentar como múltiples lesiones sólidas de tamaño y ecogenicidad variables y la presencia de un halo hipoecoico rodeando la masa.
Identificación de problema: ante el hallazgo de una lesión hepática sólida en imagen ecográfica es importante tener en cuenta el diagnóstico diferencial, y ante duda, derivación para valoración por otro especialista.
Tratamiento y planes de actuación.
Se administra tratamiento analgésico y se explica al paciente la benignidad de sus lesiones.
Evolución
Se contacta con Cirugía General, que ingresa al paciente para intervención de colecistectomía.
El hemangioma hepático es el tumor hepático benigno más frecuente, con mayor prevalencia en mujeres. Se suelen presentar en forma de lesión única, aunque pueden aparecer en forma de lesiones múltiples, con un tamaño normalmente inferior a 30 milímetros. Suele ser un hallazgo casual, al ser asintomáticos. El diagnóstico diferencial se realiza con otras lesiones hepáticas sólidas y se recomienda un seguimiento ecográfico para confirmar estabilidad.



