V Jornadas de Ecografía de la semFYC

9 y 10 de febrero de 2024

Comunicaciones: Casos clínicos

Lesiones en bazo. Linfoma no Hodgkin (póster)

Ámbito del caso

Atención Primaria inicialmente.
El caso requiere derivación hospitalaria.

Motivos de consulta

Paciente de 80 años que presenta dolor abdominal fijo y localizado en hipocondrio izquierdo, astenia, anorexia y adenopatía axilar izquierda.

Historia clínica

Enfoque individual

Antecedentes personales relevantes: antecedentes de Neoplasia de colon y de útero.

Anamnesis: Buen estado general; Consciente y orientada; leve palidez cutánea. Exploración de abdomen: Dolor a la palpación en región hipocondrio izquierda. Se palpa adenopatía axilar izquierda.

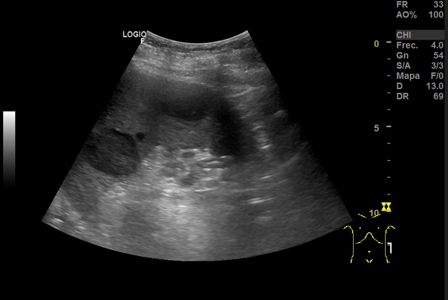
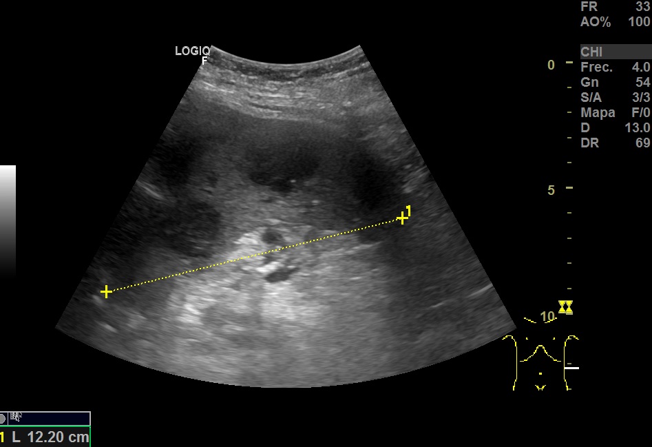
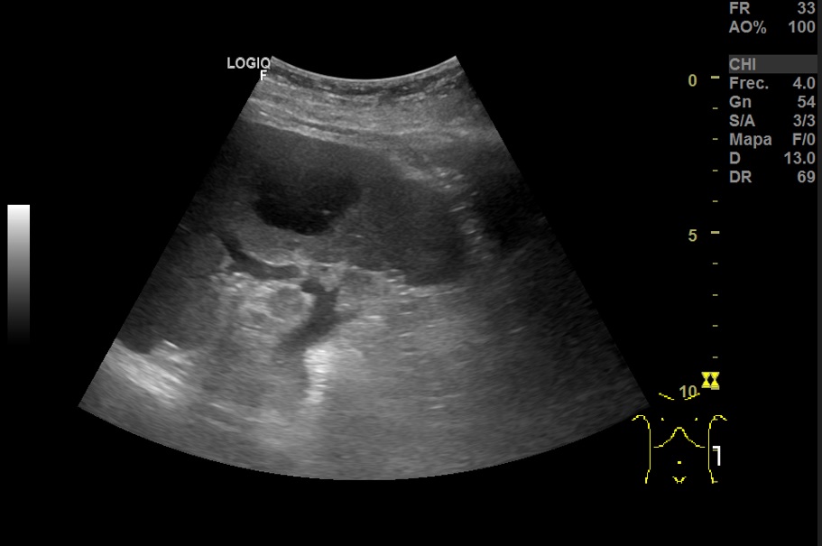
Hallazgos ecográficos

Hallazgos ecográfico: Esplenomegalia y varias lesiones focales hipoecogénicos de diferentes tamaños de bordes bien definidos en el bazo.

Pruebas complementarias

Analítica: Proteína C reactiva: 15,9. Hemoglobina 10,2 g/dl; Hematocrito 31,9%. Leucocitos 16630/uL; Neutrófilos (81,4%).

TAC abdominal: Bazo con múltiples imágenes hipodensas focales, mal delimitadas. Múltiples adenomegalias retrocrurales, mesentéricas, esplénicas y retroperitoneales.

Anatomía patológica, biopsia ganglionar supraclavicular: LIMFOMA Difuso de células grandes inmunofenotipo B.

Juicio clínico, diagnóstico diferencial, identificación de problemas

Linfoma No Hodgkin. (LNH)

Tratamiento y planes de actuación

Dado el dolor abdominal mal controlado y los resultados de la biopsia y el TAC abdominal, se decidió ingreso de la paciente.

Evolución

Se pautó tratamiento oncoespecífico con quimioterapia.

Conclusiones (y aplicabilidad para la Medicina de Familia)

Al practicar la ecografía abdominal se pueden hallar los diferentes tipos de patologías esplénicas: ya sean lesiones congénitas, traumatismos, procesos inflamatorios, vasculares: infartos esplénicos, tumores benignos y tumores malignos. Cuando aparecen los nódulos hipoecoicos en un paciente con linfoma, pueden considerarse como malignos con un alto grado de probabilidad.
Los linfomas difusos de células B grandes son el tipo más común de LNH y se caracterizan por la formación de tumores de crecimiento rápido en los ganglios linfáticos, el bazo, el hígado, la médula ósea, u otros tejidos y órganos.
Queremos destacar a través de este caso clínico la importancia de realizar ecografía abdominal en Atención Primaria por ser una prueba que puede ser muy accesible para nuestros pacientes y reduce los tiempos de espera y también resaltar la patología que se puede apreciar al explorar minuciosamente el bazo.


Comunicaciones y ponencias semFYC: 2026; Comunicaciones: Casos clínicos. ISSN: 2339-9333

Autores

Albiol Lluis, Rafael
Cap Miami Platja (ABS Mont-Roig Del Camp)
Moya Moreno, Monica
Cap Miami Platja (ABS Mont-Roig Del Camp)
Orós Ruiz, Miriam
Cap Miami Platja (ABS Mont-Roig Del Camp)