5, 6 y 7 de febrero de 2026
Atención primaria extrahospitalaria. Dispositivo de Cuidados Críticos y Urgencias (DCCU).
Síncope durante esfuerzo físico en una procesión, con recuperación parcial e hipoxemia persistente sin causa aparente.
Enfoque individual
Hombre de 36 años, previamente sano. Tabaquismo ocasional. Durante su recorrido como costalero, sufre síncope súbito con pérdida de conciencia de 15-20 segundos.
A la llegada del DCCU, se encuentra confuso, pálido y diaforético. No crisis comicial. No relajación de esfínteres. Niega dolor torácico. Refiere tos seca y sensación de «latido en costado» desde hace unos días, sin haber consultado.
Exploración: Afebril. TA 98/62. FC 118. SatO₂ 82%. FR 26 rpm. Auscultación cardiopulmonar anodina. No ingurgitación yugular.
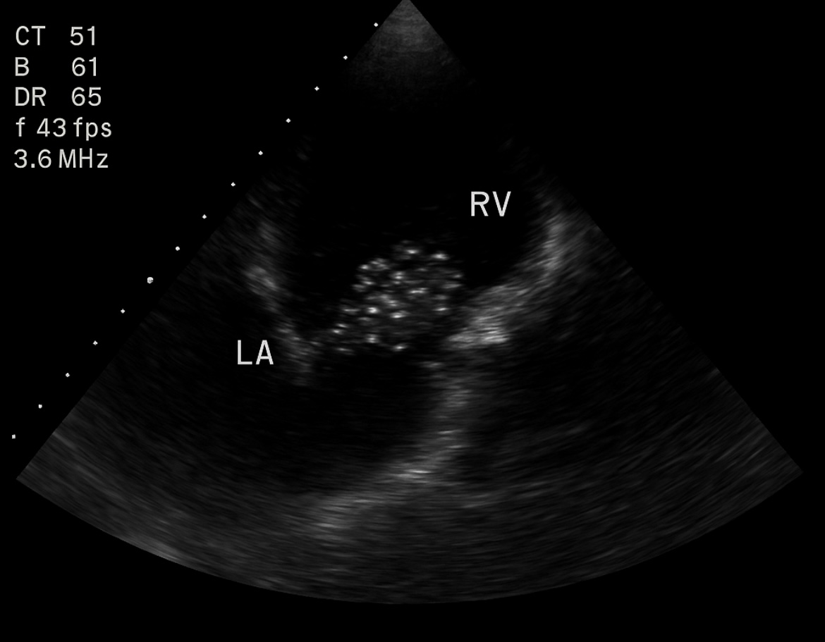
Tras administrar oxígeno, la saturación solo asciende a 86-88% y se decide realizar ecocardiografía clínica inmediata.
Hallazgos ecográficos
Hallazgos: VD discretamente dilatado. AD y tracto de entrada VD con múltiples microburbujas hiperecogénicas, moviéndose en flujo turbulento. No derrame pericárdico. Vena cava inferior colapsable.
Pruebas complementarias
TAC torácico: MAV pulmonar de 12 mm en lóbulo inferior izquierdo. Arteriografia: comunicación arteriovenosa con paso de contraste precoz al sistema venoso.
Juicio clínico, diagnóstico diferencial, concordancia con el hospital (en su caso)
Embolia aérea venosa por malformación arteriovenosa pulmonar. Diferenciales: TEP masivo, taponamiento cardíaco, miocardiopatía aguda, shock séptico.
Tratamiento, planes de actuación
Se activa traslado urgente medicalizado con prealerta a Neumología y Radiología Intervencionista.
Aporte de oxígeno a alto flujo, monitorización continua y evitar maniobras que aumenten la entrada aérea.
Evolución
Se realiza embolización endovascular con oclusión completa del flujo. El paciente permanece en observación 24 h, sin desaturación ni síntomas hemodinámicos. Tras 4 semanas, se mantiene asintomático y ecografía de control sin recanalización ni nuevas lesiones.
La ecografía extrahospitalaria permitió identificar una embolia aérea venosa asociada a MAV pulmonar, desencadenada durante esfuerzo, guiando un manejo urgente que evitó un desenlace fatal. Este caso subraya el valor del POCUS en escenarios imprevisibles (vía pública, aislamiento geográfico).

