X Jornadas de Actualización en Medicina de Urgencias y VI Jornadas de Ecografía de la semFYC
6-7-8 de febrero de 2025
Atención Primaria.
Diarrea y dolor abdominal.
Antecedentes personales relevantes, anamnesis, exploración física y lugar que ocupa en ella la ecografía
Hombre de 70 años con antecedente de poliquistosis renal que consulta por diarrea de tres días de evolución,con 8 deposiciones diarias sin productos patológicos. Dado contexto epidemiológico doy recomendaciones generales y dieta astringente. Reconsulta al día siguiente por persistencia de diarrea e inicio de dolor y tenesmo rectal, por lo que solicito coprocultivo y cito para valoración presencial, en la cual objetivamos un abdomen levemente distendido y molesto con RHA disminuidos, sin signos de irritación peritoneal. Signo de la oleada dudoso motivo por el cual realizo ecografía.
Descripción de los hallazgos ecográficos y las imágenes más relevantes para la resolución del caso
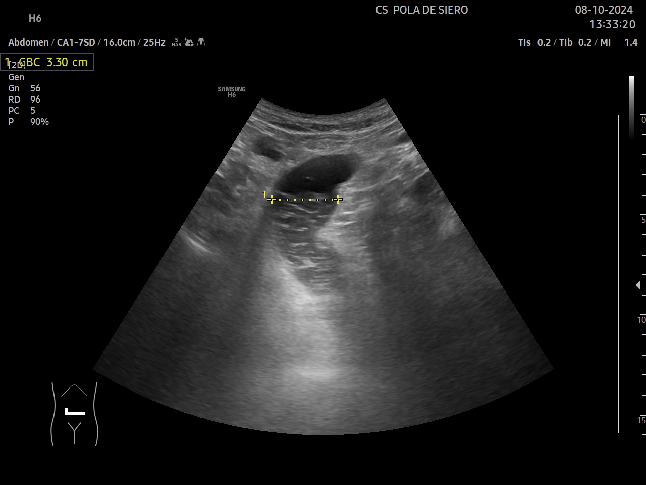
Hígado, vesícula, bazo, aorta y vejiga sin alteraciones significativas. Poliquistosis renal. No líquido libre. Se objetiva en un corte transversal en mesogastrio un asa intestinal dilatada de 3,3 cm, con muy escaso peristaltismo y objetivándose en su luz un nivel con una zona anecogénica superior y una zona hiperecogénica y heterogénea inferiormente.
Otras pruebas complementarias realizadas (si existen)
Coprocultivo ambulatorio.
Analíticas, radiografías abdominales y TC abdominal a nivel hospitalario.
Juicio clínico, diagnóstico diferencial, concordancia con el hospital (en su caso)
JC: Inicio de cuadro oclusivo/suboclusivo intestinal de etiología no filiada.
Diangóstico diferencial: ilio paralítico.
Decisiones adoptadas: tratamiento, planes de actuación
Ante los hallazgos ecográficos derivo a Urgencias Hospitalarias, donde se objetiva un Fracaso Renal Agudo que condiciona el ingreso del paciente. Rx abdominal en bipedestación anodina. Durante el ingreso presenta empeoramiento progresivo de la distensión abdominal objetivable en radiografías seriadas y descartándose obstrucción mediante TC abdominal. Es diagnosticado de megacolon tóxico secundario a infección por Campylobacter jejuni.
Evolución y seguimiento
Evolución favorable. Persiste leve dilatación sigmoidea en rx realizada 1 mes tras el alta.
Pese a que Campylobacter es la principal causa de enfermedad diarreica bacteriana en todo el mundo, el megacolon es una complicación con poca frecuencia pero potencialmente devastadora asociándose a un riesgo significativo de mortalidad.
Para el estudio ecográfico del tubo digestivo comenzaremos con una valoración con sonda convex del colon desde el ciego (localizado en la fosa ilíaca derecha y reconocible por su contenido con sombra acústica y falta de peristaltismo) hasta al menos el sigma proximal. Posteriormente se estudiará el intestino delgado partiendo del íleon terminal y realizando movimientos del transductor en dirección craneocaudal hasta cubrir todo el abdomen. Deben valorarse con una sonda lineal los segmentos sospechosos bien por alteraciones de la pared, del contenido intraluminal o del peristaltismo. El diámetro máximo de las asas varía entre 2 y 2,5 cm, llegado el del colon hasta los 5 cm.

