X Jornadas de Actualización en Medicina de Urgencias y VI Jornadas de Ecografía de la semFYC
6-7-8 de febrero de 2025
Mujer de 72 años que consulta por astenia sin otra sintomatología de interés.
Antecedentes personales relevantes, anamnesis, exploración física y lugar que ocupa en ella la ecografía
La paciente presenta antecedentes de diabetes, hipertensión y síndrome ansioso depresivo.
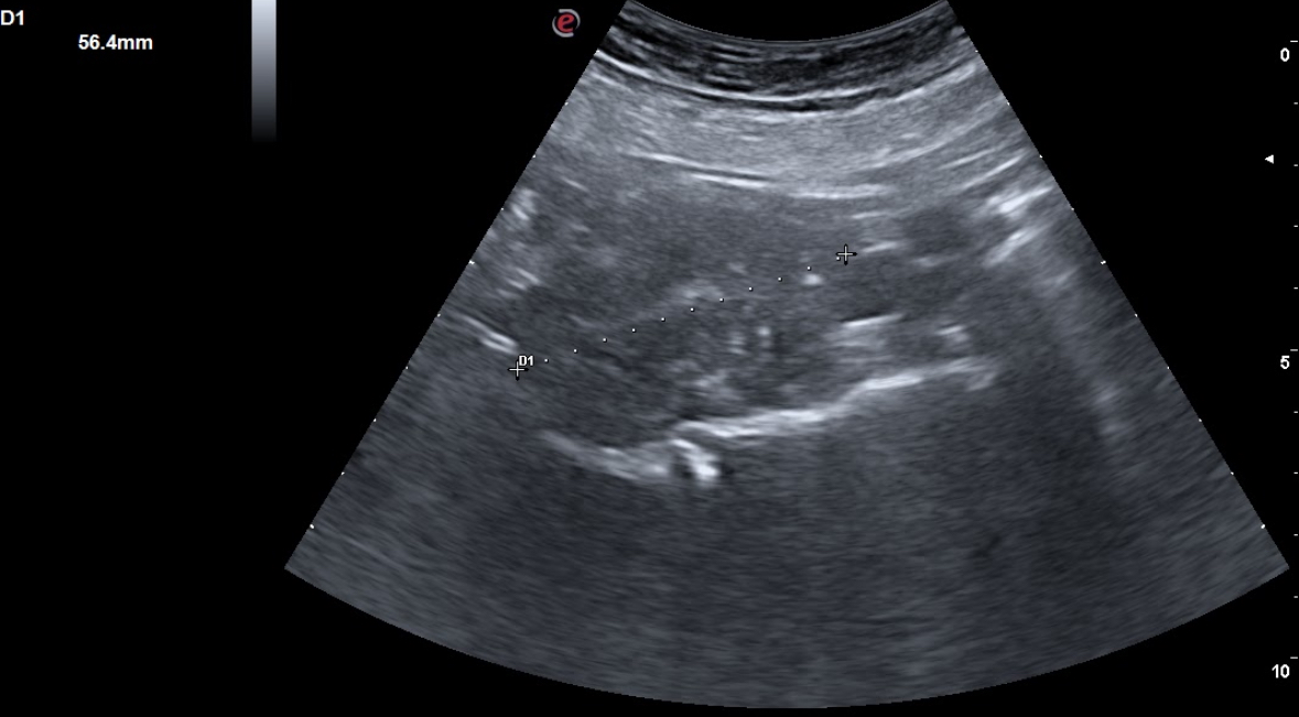
La exploración fue anodina, salvo la palpación de una masa de 5×5 cm en fosa ilíaca derecha, adherida a planos profundos, no dolorosa.
Además, la paciente nos añadió presentar estreñimiento en los últimos meses, sin heces con sangre, sangrado ginecológico, sangrado en la orina ni hemoptisis.
Descripción de los hallazgos ecográficos y las imágenes más relevantes para la resolución del caso
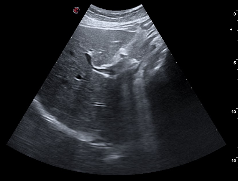
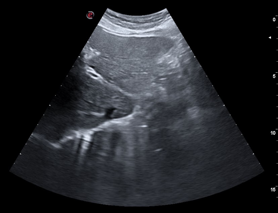
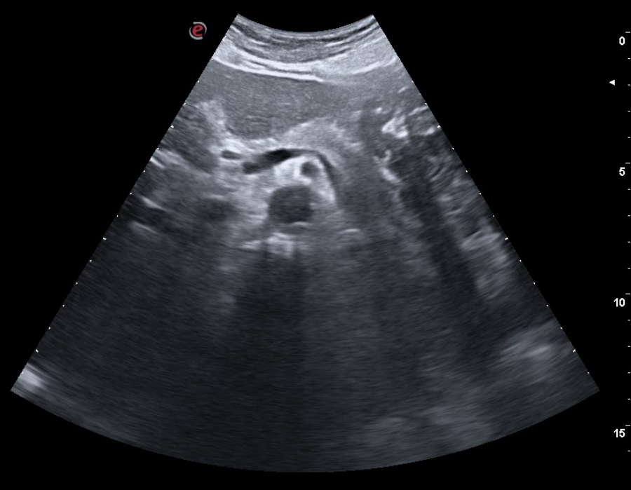
En consulta decidimos realizar ecografía clínica abdominal mostrando hígado de ecoestructura y tamaño adecuados, con vena porta y suprahepáticas permeables, con vesícula biliar repleccionada sin ecos en su interior, páncreas visible sin alteraciones, riñones con buena diferenciación córtico-medular con vejiga reflexionada sin ecos en su interior, útero involucionado, y una masa dependiente de fosa ilíaca derecha de 5×5 cm de ecoestructura similar a un riñón, correspondiente al área explorada.
Otras pruebas complementarias realizadas (si existen)
La analítica mostró una hemoglobina de 10,5 mg/dL, 2 puntos menos que seis meses antes, con perfil férrico tendente al límite inferior de la normalidad y volumen corpuscular medio de 80 fentoLitros.
Juicio clínico, diagnóstico diferencial, concordancia con el hospital (en su caso)
Juicio clínico: Poliposis Intestinal Múltiple.
Diagnóstico diferencial: pólipos inflamatorios y hamartomatosos (Linfoides, inflamatorios, juveniles, algunos síndromes), pólipos respiración, adenomatosos. También con enfermedad inflamatoria intestinal, cáncer, colorrectal, implantes metastásicos, endometriosis, infiltración, paraneoplásica, etc.
Decisiones adoptadas: tratamiento, planes de actuación.
Decidimos ampliar el estudio a una prueba de sangre oculta en heces, resultando positiva; se curso interconsulta con digestivo-endoscopias y solicitamos una tomografía axial computarizada (TC).
La TC de abdomen mostró una pared engrosada en ciego, a descartar mediante colonoscopia patología inflamatoria-infecciosa, con probable impactación fecal en sus paredes.
Se realizó colonoscopia en la que se extrajeron pólipos de forma incompleta, extrayéndose 15 pólipos, cuatro de ellos en ciego, correspondiendo uno de ellos a un pólipo serrado.
Evolución y seguimiento
La paciente se tendrá que completar la colonoscopia, para descartar que haya cualquier signo inflamatorio, infeccioso que pueda coger y pueda producir esta patología. Sigue en seguimiento y pendiente de colonoscopia.
La ecografía clínica para detección de tumores es una técnica muy inespecífica, que puede inducir a error, cuando sospechemos una entidad de este tipo, debemos de solicitar estudio de extensión y colonoscopia.
En función del tipo de pólipo, recomiendan las guías revisión cada cierto tiempo, por el riesgo de malignización de algunos de ellos.



