5, 6 y 7 de febrero de 2026
Urgencias hospitalarias.
Paciente de 70 años que es derivado por su médico a urgencias del hospital por cansancio progresivo, palidez cutánea, hiporexia, vómitos ocasionales y pérdida ponderal de unos 3 kg en un mes.
Enfoque individual
Como antecedentes personales la paciente padece síndrome vertiginoso crónico y tiene hipertensión arterial y dislipemia bien controladas con su medicación habitual.
En la exploración llama la atención su mal estado general, con debilidad generalizada y edema en ambas piernas. Muestra palidez cutánea con tinte ictérico marcado en las mucosas oculares y el abdomen es doloroso a la palpación profunda en epigastrio e hipocondrio derecho, con notable hepatomegalia aunque sin signos de irritación peritoneal agudos. Las constantes vitales son normales.
En las analíticas realizadas a su llegada a urgencias destaca una hemoglobina de 9,9 g/dl con hematocrito de 31%, leucocitosis de 15800 leucocitos con 81% de neutrófilos. La coagulación es normal. En la bioquímica la bilirrubina total es de 3.48, la amilasa 42 y el perfil hepático está alterado, con GOT de 278, GPT 164, fosfatasa alcalina 433 y LDH 1454.
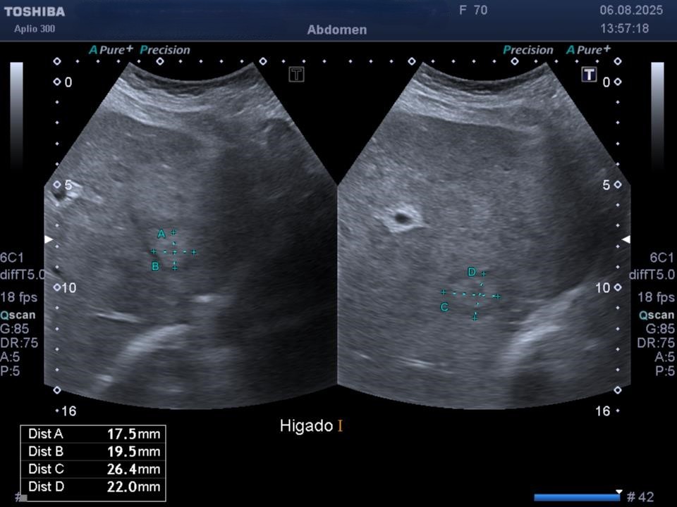
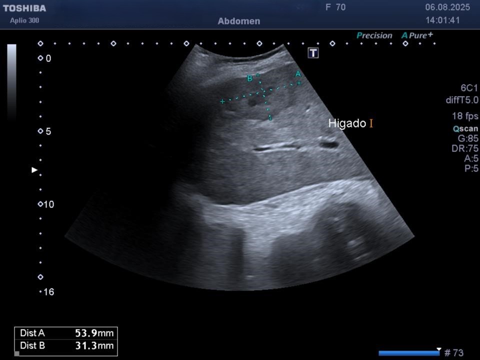
Se realiza una ecografía abdominal en la que se puede ver el hígado aumentado de tamaño, con parénquima heterogéneo y varias imágenes en forma de donut altamente sugestivas de metástasis hepáticas.
Juicio clínico, diagnóstico diferencial, identificación de problemas
Tratamiento y planes de actuación
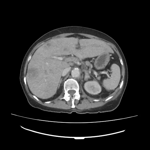
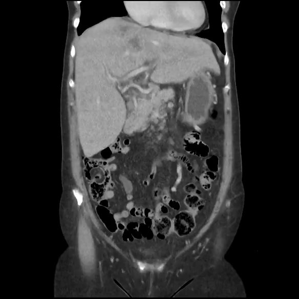
La paciente ingresa a cargo de cirugía y durante la hospitalización se le realiza TAC toracoabdominal que corrobora los hallazgos vistos mediante la ecografía, y añade linfadenopatías, una imagen de aspecto también metastásico suprarrenal izquierdo y engrosamiento focal de paredes gástricas de aspecto neoproliferativo.
Evolución
Ante estos hallazgos se realizó una biopsia de la mucosa gástrica mediante endoscopia digestiva alta y la anatomía patológica dio como diagnóstico final adenocarcinoma gástrico de tipo tubular pobremente diferenciado.
La ecografía es una herramienta fundamental hoy día que muchos autores equiparan al uso del estetoscopio o la radiografía.
Es de vital importancia tanto para los pacientes como para los propios médicos que se disponga de un ecógrafo y de los conocimientos adecuados para su uso. De esta manera se ahorrarían muchas pruebas complementarias y esperas innecesarias, llegando a un diagnóstico al menos de sospecha más cercano al definitivo.



