V Jornadas de Ecografía de la semFYC

9 y 10 de febrero de 2024

Comunicaciones: Casos clínicos

La ecografía en el domicilio (póster)

Ámbito del caso

Medicina familiar y comunitaria en domicilio. 

Motivos de consulta

Consulta telefónica con hija de mujer de 86 años con demencia moderada con clínica de diarrea de una semana sin dolor.

Historia clínica

Enfoque individual

Demencia degenerativa grado moderado (GDS4) seguimiento por neurología. 

Bacteriemia por klebsiella pneumoniae y E. Coli de origen urológico. 

Colecistectomizada.

Micardis 40 mg, Metformina 850 mg, Betahistina 16 mg Somazina 1000 mg Omeprazol 20 mg Donezepilo 5 mg.

Su médico está vacaciones y el que lo sustituye solicita analítica y una ecografía. 

Analítica con valores anodinos. Se solicita anular ecografía al servicio de radiología y acudimos a domicilio para realizar la ecografía. 

Hallazgos ecográficos

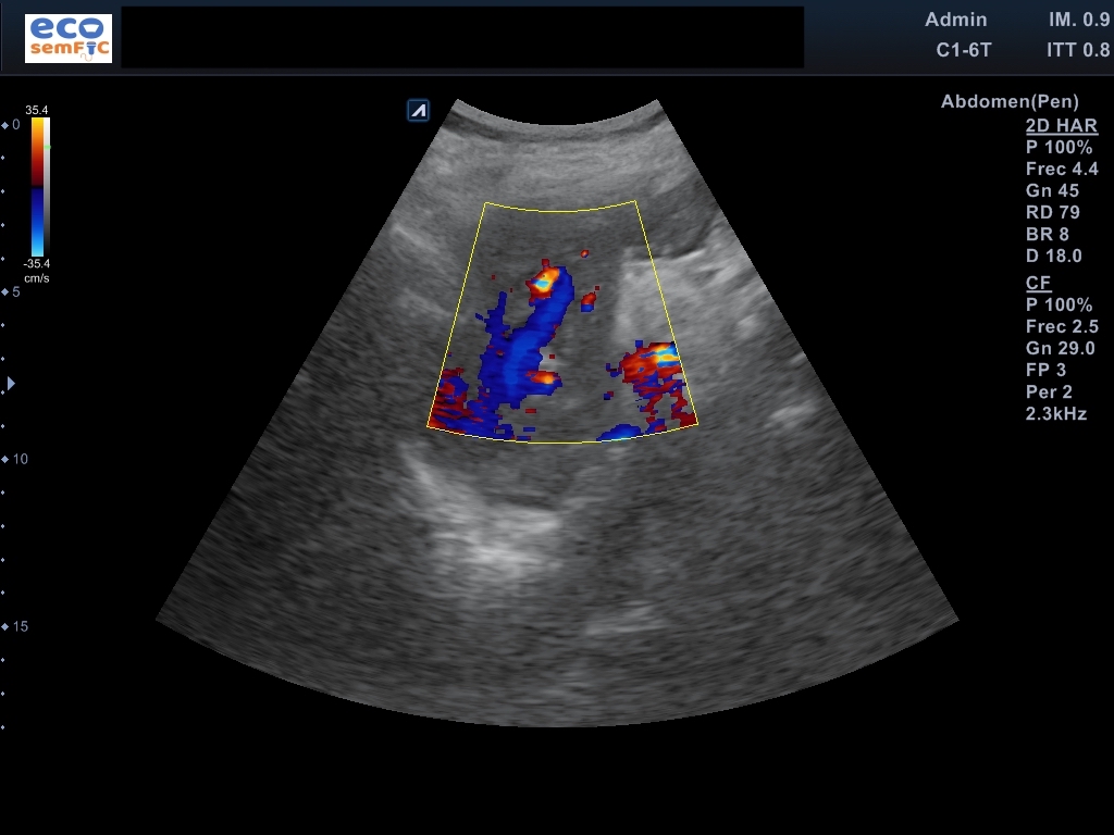
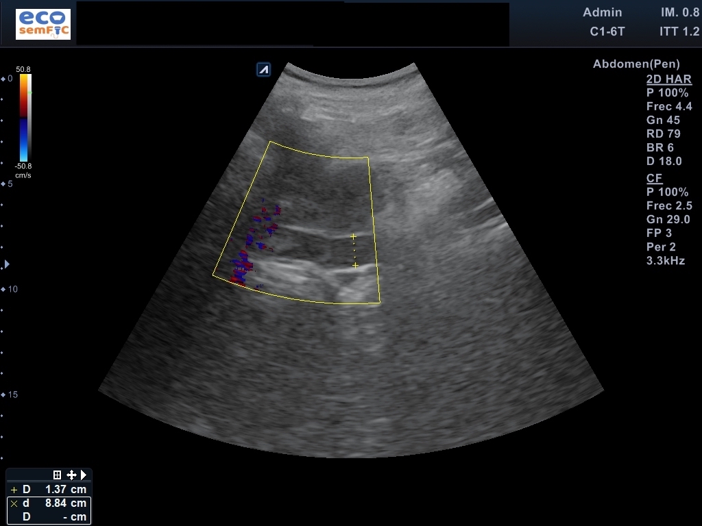
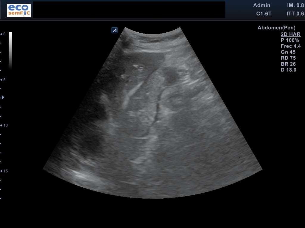
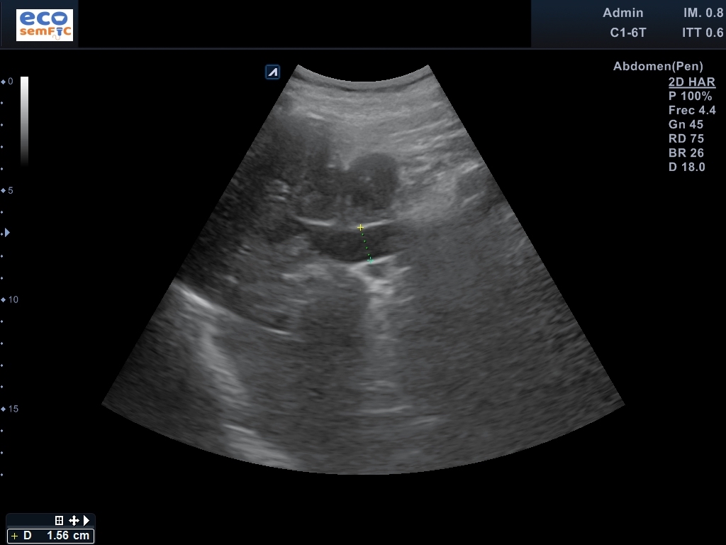
Limitada por poca colaboración, pero aceptable. En las áreas accesibles, hígado de superficie lisa y contorno regular, heterogéneo sin aparentes LOEs. Radicales intrahepáticos dependientes del conducto hepático derecho ectásicos. Colédoco proximal de 8,3 mm y distal de 14,3 mm a nivel de la cabeza del páncreas. Marco duodenal ocupado por contenido sólido aperistáltico en este momento. Páncreas visualizado en toda su extensión con Wirsung patente no dilatado, sin lesiones focales. Riñones de aspecto senil, conservan el grosor cortical y diferenciación parénquima-seno. Bazo homogéneo no aumentado ni lesiones parenquimatosas. Ausencia líquido libre o colecciones en áreas exploradas. 

Pruebas complementarias

Analítica con valores anodinos. 

Juicio clínico, diagnóstico diferencial, identificación de problemas

Se informa a su hija de los resultados, así como de la ecografía. Mejoría de la diarrea. 

Tratamiento y planes de actuación

Se consensúa con la familia, dado el estado de la paciente (encamada) y la estabilidad clínica en este momento, la limitación del esfuerzo diagnóstico y terapéutico y no sobrecargarla así de procesos diagnósticos. 

Evolución

Se programa nueva visita al domicilio para valorar evolución en dos semanas. 

Conclusiones (y aplicabilidad para la Medicina de Familia)

Queda demostrado que la ecografía es un instrumento de diagnóstico que nos puede acompañar en el día a día en la consulta y además, con los nuevos dispositivos portátiles, podemos trasladarlo a los domicilios y ofrecer a pacientes más frágiles la posibilidad de un diagnóstico, que aunque no sea confirmado mediante otras pruebas, en este caso evita el desplazamiento de la paciente, que dado su estado basal, se convierte en uno de nuestros objetivos. La ecografía ha resultado ser suficiente para descartar la gravedad del proceso en ese momento y poder hacer un seguimiento domiciliario permitiendo un mayor confort a la paciente y a sus familiares.


Comunicaciones y ponencias semFYC: 2026; Comunicaciones: Casos clínicos. ISSN: 2339-9333

Autores

Muntaner Veloso, Laura
Consultorio Auxiliar La Cañada. Valencia
Sánchez Dámaso, Sonia
CS Guanarteme. Las Palmas de Gran Canaria