V Jornadas de Ecografía de la semFYC

9 y 10 de febrero de 2024

Comunicaciones: Casos clínicos

La ecografía en el diagnóstico diferencial del dolor abdominal (oral)

Ámbito del caso

Servicio de Urgencias

Motivos de consulta

Dolor abdominal de 72 horas de evolución.

Historia clínica

Enfoque individual

Acude a Urgencias un niño de 5 años sin alergias conocidas y sin antecedentes médicos de interés por dolor abdominal localizado en fosa ilíaca derecha de 72 horas de evolución, asociado a vómitos alimentarios sin productos patológicos, afebril.

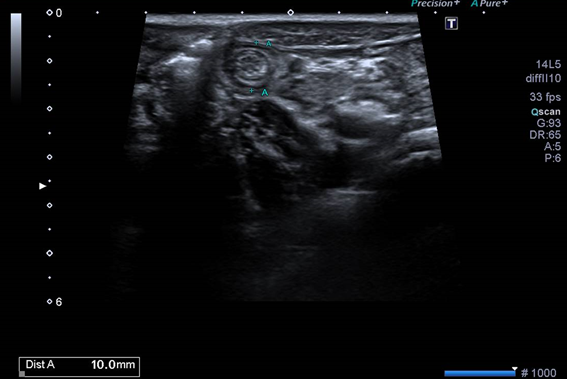
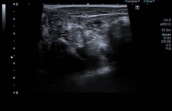
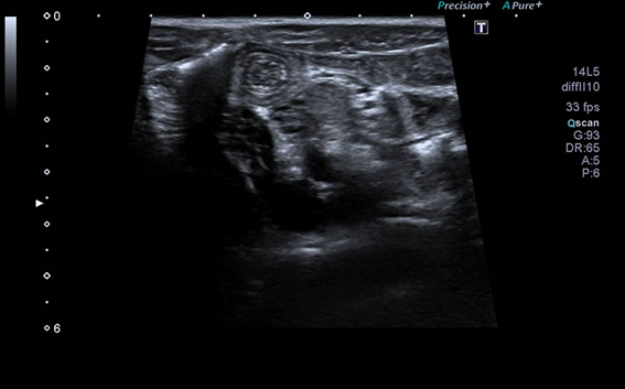
Hallazgos ecográficos

A su llegada hemodinámicamente estable con triángulo de evaluación pediátrica estable, y exploración física en la que destaca dolor en fosa ilíaca derecha y signo de Blumberg positivo. 

Pruebas complementarias

Ante signos de peritonismo, se realiza analítica sanguínea y ecografía abdominal para descartar apendicitis aguda. Se evidencia ligera elevación de reactantes de fase aguda (sin leucocitos ni neutrofilia con PCR 2.3 mg/dL).

Juicio clínico, diagnóstico diferencial, identificación de problemas

En la ecografía se hallan ganglios reactivos en fosa ilíaca derecha e invaginación ileo-ileal con imagen en diana, resuelta de forma espontánea mediante la compresión de la sonda ecográfica, confirmando el diagnóstico de adenitis mesentérica con invaginación intestinal secundaria.

Tratamiento y planes de actuación

Durante su estancia en Urgencias, mantiene tolerancia oral y presenta mejoría del dolor.

Evolución

Dada la buena evolución clínica y la resolución del cuadro es dado de alta con tratamiento sintomático y seguimiento ambulatorio.

Conclusiones (y aplicabilidad para la Medicina de Familia)

La ecografía abdominal es una prueba inocua y de bajo coste con alto rendimiento diagnóstico y útil para la toma de decisiones. Su accesibilidad en Atención Primaria permite utilizarla como herramienta complementaria de apoyo diagnóstico tras una anamnesis y exploración física completas. En su aplicación en patología abdominal, es necesaria una mayor formación en esta técnica comparado con otras patologías, dado el amplio espectro de posibilidades diagnósticas. Por ello la formación de médicos de Atención Primaria en este ámbito resulta importante para mejorar el manejo de estas patologías, evitando derivaciones hospitalarias y demoras asistenciales, logrando un diagnóstico precoz y tratamiento óptimo.

 


Comunicaciones y ponencias semFYC: 2026; Comunicaciones: Casos clínicos. ISSN: 2339-9333

Autores

Escauriaza Ispizua, Natalia
CS Lavapiés. Madrid
Tenreiro Villar, Esperanza
CS Casa de Campo. Madrid
Moreno Unzurrunzaga, Inés
Hospital Universitario Ramón y Cajal. Madrid