V Jornadas de Ecografía de la semFYC

9 y 10 de febrero de 2024

Comunicaciones: Casos clínicos

La ecografía de Atención Primaria en un dolor abdominal postquirúrgico (póster)

Ámbito del caso

Atención Primaria

Motivos de consulta

Disconfort abdominal

Historia clínica

Enfoque individual

Varón de 31 años, intervenido en el mes previo de apendicitis gangrenosa que precisó drenaje durante 1 semana. Acude por persistencia de disconfort abdominal, asociado a pérdida de 10 kg durante el mes del postoperatorio. Afebril. En la exploración física destaca una FID (fosa iliaca derecha) empastada, dolorosa a la palpación profunda. Ante la clínica, se realiza una analítica y una ecografía programadas para el día siguiente en el Centro de Salud.

Hallazgos ecográficos

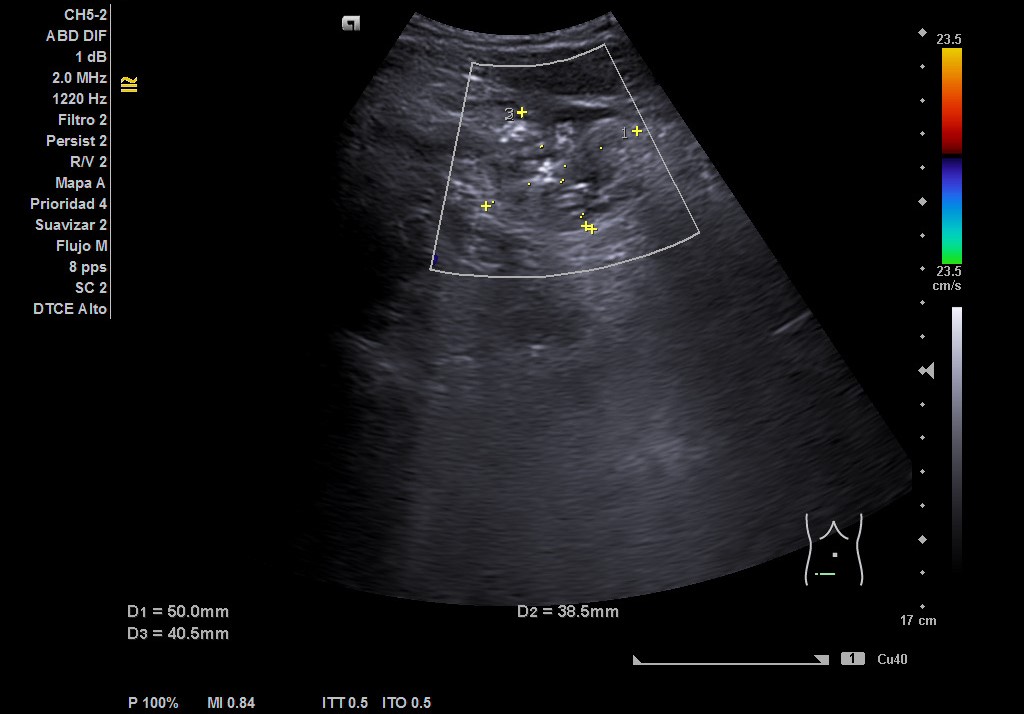
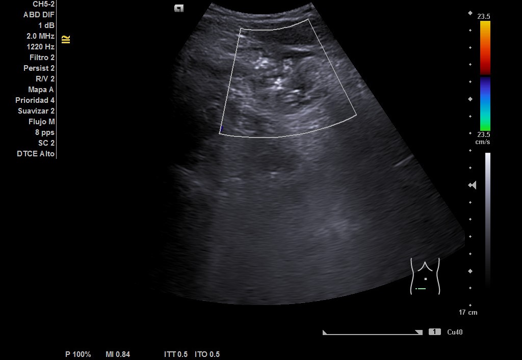
Hígado de tamaño, forma y ecoestructura conservadas, con parénquima homogéneo. Vena porta de calibre conservado.  Ausencia de signos de dilatación de la vía intra o extrahepática. Vesícula biliar de paredes finas, sin contenido ecogénico en su interior. Páncreas de características normales. Riñones de tamaño y localización conservada, sin hidronefrosis. En FID imagen heterogénea delimitada, de 50x30 mm, con posible edema de pared y focos ecogénicos en su interior.

Pruebas complementarias

En analítica del Centro de Salud PCR 8, ferritina 383.

Juicio clínico, diagnóstico diferencial, identificación de problemas

Complicaciones post-quirúrgicas (Plastrón inflamatorio vs absceso). Diagnóstico diferencial: Diverticulitis colon derecho. Tras ecografía realizada por Radiología en el servicio de Urgencias y valoración por Cirugía General se llegó al diagnóstico de plastrón inflamatorio y colección postapendicectomía.

Tratamiento y planes de actuación

Dada la larga evolución del proceso, se realizaron de forma programada una analítica y una ecografía en el centro de salud. Con los datos, se derivó al paciente a Urgencias hospitalarias. Además, se cursó un TAC diferido. No se pautó analgesia por decisión del paciente.

Evolución

Tras su estancia en Urgencias, el paciente fue ingresado en Cirugía General para control sintomático. Fue dado de alta a la semana, con tratamiento analgésico y antibiótico por vía oral.

Conclusiones (y aplicabilidad para la Medicina de Familia)

La importancia de la ecografía en este caso radica en su capacidad para proporcionar información detallada, complementando una exploración física que, por sí sola, podría haber resultado en una actitud expectante, retrasando el manejo hospitalario y el claro  beneficio que aportó al paciente.


Comunicaciones y ponencias semFYC: 2026; Comunicaciones: Casos clínicos. ISSN: 2339-9333

Autores

Lorenzo Sáez, Ana
Profesor Jesús Marín. Molina De Segura
Martínez Ruiz, Cristina
Profesor Jesús Marín. Molina De Segura
Galindo Marqués, Blanca
Profesor Jesús Marín. Molina De Segura