V Jornadas de Ecografía de la semFYC
9 y 10 de febrero de 2024
Enfoque individual
Varón, 49 años, diagnosticado de psoriasis, diabetes tipo 2 reciente, hipertenso. Exfumador. Su MAP nos lo remite por pérdida anormal de peso, nerviosismo, TSH ligeramente disminuida, posible nódulo tiroideo izquierdo a la exploración, para descartar patología tiroidea mediante ecografía clínica.
Hallazgos ecográficos
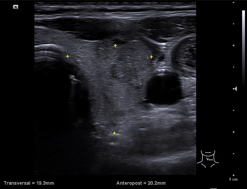
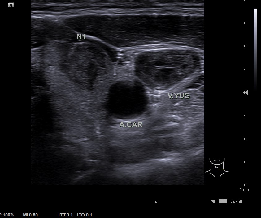
En la ecografía tiroidea se observa en LTI nódulo de 10 mm de bordes mal definidos, lobulado, mayormente sólido, más alto que ancho, isoecogénico, halo periférico hipoecoico, vascularización difusa, que sugiere TIRADS 5. Ausencia de flujo en Vena yugular interna izquierda, ensanchada, que sugiere trombosis yugular aguda o subaguda y junto a ella, posible conglomerado adenopático.
Pruebas complementarias
TC TAP muestra masa mediastínica, adenopatías supraclaviculares bilaterales, trombosis yugular izquierda. Nódulos en LSD sugestivos de malignidad. Biopsia de ganglio linfático indica metástasis de carcinoma neuroendocrino de célula grande de alto grado. PET-TC confirma origen pulmonar.
Juicio clínico, diagnóstico diferencial, identificación de problemas
Nódulo en LTI sugestivo de malignidad, trombosis yugular izquierda y conglomerado adenopático yugular, a descartar origen paraneoplásico.
Diagnóstico diferencial entre neoplasia primaria entre carcinoma medular de tiroides, carcinoma pulmonar y carcinoma neuroendocrino tímico.
Tratamiento y planes de actuación
Quimioterapia paliativa.
Evolución
Resolución completa a los 5 meses. Dos meses después inicia mareo rotatorio, se le realiza TC craneal que muestra LOES cerebrales metastásicas. A partir de ese momento, deterioro rápidamente progresivo falleciendo a los 12 meses del diagnóstico.
Este caso pone de manifiesto la importancia del papel profesional y humano del médico de familia, papel que desempeñamos desde que el paciente comparte su preocupación con nosotros, poniéndose en nuestras manos, ayudándole a reducir su angustia al realizarle de inmediato una ecografía; consiguiendo una sospecha diagnóstica grave que permite un diagnóstico de confirmación el mismo día en el hospital; también durante todo el curso de su dura enfermedad y hasta el último día de su vida, en el mismo hogar del paciente, acompañándolo a él y a su familia en sus últimas horas, intentando proporcionarles confort, confianza y apoyo en tan duros momentos. La ecografía clínica nos ofrece la oportunidad de ser resolutivos en momentos clave, reduciendo el tiempo de diagnóstico y tratamiento, y a veces mejorando el pronóstico.
