X Jornadas de Actualización en Medicina de Urgencias y VI Jornadas de Ecografía de la semFYC
6-7-8 de febrero de 2025
Hombre de 41 años que acude al centro de salud con clínica de dolor torácico de dos meses de evolución. En ocasiones se acompaña de opresión centro-torácica y disnea en relación a los esfuerzos, de segundos de duración.
Antecedentes personales relevantes, anamnesis, exploración física y lugar que ocupa en ella la ecografía
Sin antecedentes médicos de interés ni tratamiento habitual. Fumador de 15 paquetes/año. Hemodinámicamente estable. TA 147/100 mmHg. Auscultación cardíaca rítmica, sin soplos ni extratonos.
Se solicita analítica de sangre y orina, medición domiciliaria de la presión arterial y se programa ecocardioscopia en el Centro de Salud.
Descripción de los hallazgos ecográficos y las imágenes más relevantes para la resolución del caso
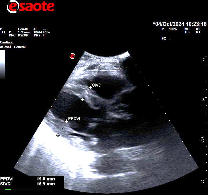
En la ecocardioscopia, se aprecia leve dilatación de aurícula izquierda, septo interventricular de 18 mm sin obstrucción del tracto de salida, FEVI estimada mayor del 55% sin segmentarismos ni discinesias, raíz aórtica normal, válvula aórtica trivalva, buena apertura de válvula mitral, no derrame pericárdico.
Otras pruebas complementarias realizadas (si existen)
Salvo hipercolesterolemia de 248 mg/dl (LDL 173 mg/dl), el resto de la analítica es normal. Valores de TA en domicilio entre 122/81 – 146/95 mmHg. Se realiza ECG en la que se observa ritmo sinusal a 72 lpm, cumpliendo criterios de Sokolow-Lyon para hipertrofia ventricular izquierda. Radiografía de tórax normal.
Juicio clínico, diagnóstico diferencial, concordancia con el hospital (en su caso)
Miocardiopatía Hipertrófica.
Decisiones adoptadas: tratamiento, planes de actuación
Con estos datos, se decide derivar a cardiología para estudio.
Evolución y seguimiento
Actualmente en seguimiento por parte de cardiología para la realización de ecocardiografía transtorácica.
El músculo cardíaco puede engrosarse fisiológicamente en algunos individuos como consecuencia de la hipertensión arterial o un entrenamiento físico prolongado (atletas). Sin embargo, en la miocardiopatía hipertrófica, este aumento muscular se produce por causa de una anomalía genética, la cual induce un crecimiento excesivo de las paredes miocárdicas (septo y pared posterior de ventrículo izquierdo mayores de 15 mm), pudiendo desencadenar así mismo la producción de arritmias malignas. La importancia de la ecocardiografía radica en que nos ayuda a diferenciar los diferentes tipos de crecimiento del ventrículo izquierdo, nos ayuda a determinar si hay obstrucción en el tracto de salida, la estimación de la FEVI y si asocia alguna valvulopatía. De modo que, como médicos de atención primaria, el conocimiento de dicha técnica puede orientarnos en nuestra consulta, en el diagnóstico y posterior manejo de dicha patología, cuya prevalencia se estima en 1/250 individuos.

