X Jornadas de Actualización en Medicina de Urgencias y VI Jornadas de Ecografía de la semFYC
6-7-8 de febrero de 2025
Atención Primaria.
Mujer de 47 años acude a consulta programada del Centro de Salud por dolor abdominal de 5 días de evolución que ha empeorado mucho desde esta mañana. Localiza en mesogastrio e irradia a abdomen completo. Analgesia con paracetamol ineficiente. Además, deposiciones amarillentas sin productos patológicos asociados, náuseas y febrícula. Niega posibilidad de embarazo ni otra clínica a otros niveles.
Enfoque individual: antecedentes personales, anamnesis, exploración, pruebas complementarias, etc.
Paciente sin alergias conocidas. Antecedentes cuadros depresivos, sin antecedentes quirúrgicos.
Tensión arterial: 135/83, frecuencia cardíaca 90 latidos por minuto, saturación de oxígeno 98%. Regular estado general, afectada por dolor. Auscultación cardiopulmonar sin alteraciones. Abdomen distendido, con ruidos hidroaéreos conservados, doloroso a la palpación generalizada con dudosas defensa e irritación peritoneal.
Al encontrarnos en un Centro de Salud que incorpora una zona de alta resolución de urgencias de atención primaria (CARUAP) se decide administrar a la paciente Metamizol 2 g en perfusión con escasa mejoría sintomática y persistencia de exploración abdominal.
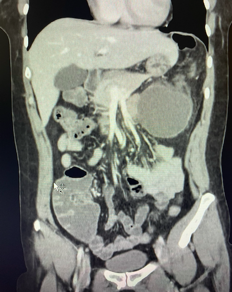
Se realiza ecografía clínica donde se objetiva una colección hipoecoica a nivel de ángulo esplénico del colon. Se escala analgesia administrando Fentanilo 75 mcg y Metoclopramida 10 mg y se traslada al Hospital de referencia. Se realiza escáner de urgencia: colección de contenido hipodenso de 72mm x 55mm x 70mm, en íntimo contacto con ángulo esplénico del colon, que presenta alteración inflamatoria de la grasa adyacente. Se decide ingreso en Cirugía General y de Digestivo.
Enfoque familiar y comunitario: estudio de la familia y la comunidad (si fuese necesario)
Acesso a CARUAP en su barrio.
Juicio clínico, diagnóstico diferencial, identificación de problemas
Colección abdominal a estudio.
En este caso, ante lo inespecífico del dolor nos planteamos patología ovárica, apendicitis o patología biliar por encontrarse entre los cuadros más comunes.
Tratamiento y planes de actuación.
Se ha realizado drenaje ecoguiado y la paciente se encuentra con antibioterapia intravenosa empírica a la espera de cultivos.
Evolución
Continúa ingresada, evoluciona favorablemente.
Muchas veces la patología abdominal se relata de forma inespecífica, siendo el abdomen como «una caja misteriosa» en la que no sabes que vas a encontrar.
Ante un cuadro abdominal con exploración dudosa que no mejora a pesar de analgesia, si tenemos la posibilidad en el ámbito extrahospitalario, debemos plantearnos realizar ecografía clínica ya que posiblemente no diagnosticaremos cuadros concretos, pero nos puede acercar a la sospecha diagnóstica o descartar signos de patología urgente/emergente.
