5, 6 y 7 de febrero de 2026
Consulta de Atención Primaria.
Enfoque individual
Paciente de 95 años independiente para las actividades básicas de la vida diaria, con antecedentes de hipertensión, incontinencia de orina, cáncer de próstata (2018), resección transuretral de próstata y bloqueo androgénico (2019) e insuficiencia renal crónica obstructiva de larga evolución. Sin seguimiento por parte de Urología ni Nefrología por decisión del paciente.
Acude a consulta debido a empeoramiento de la función renal visualizada en analítica de dermatólogo privado. Al interrogatorio el paciente refiere oliguria desde hace unos meses, sin otra sintomatología asociada.
Buen estado general, constantes estables. Auscultación cardiopulmonar: sin hallazgos significativos. Abdomen: globuloso, doloroso a la palpación de hipogastrio, no defensa, no signos de irritación peritoneal. Resto de exploración anodina.
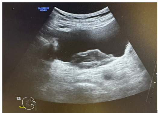
Tras la clínica presentada, se realiza una ecografía clínica abdominal con el fin de orientar el diagnóstico.
Hallazgos ecográficos
Ecografía clínica: Ureterohidronefrosis grado III bilateral con ectasia ureteral bilateral en toda su extensión. Probable proceso neoformativo urinario con dimensiones aproximadas de 5,61 x 2,74 cm.
Pruebas complementarias
Hemograma: hematíes *2,78, Hb *8,8. Bioquímica: Creatinina 6,75 mg/dL (hace tres meses de 4 mg/dL), Urea 197,0, Filtrado Glomerular 6,3 mL/min/1,73m² (hace 3 meses de 16 mL/min/1,73m²). Resto sin alteraciones.
Orina: leucocitos 100, proteínas 75 y sangre 250, resto normal.
Juicio clínico, diagnóstico diferencial, concordancia con el hospital (en su caso)
Empeoramiento de función renal en paciente con enfermedad renal crónica, adenocarcinoma de próstata no controlado y neoplasia vesical.
Tratamiento, planes de actuación
En el centro de salud se presenta la imposibilidad de colocar sonda vesical debido a obstrucción. Se deriva al paciente a Urgencias de Hospital donde se realiza interconsulta con Urología.
Evolución
El paciente ingresa a planta a cargo del servicio de Urología para control clínico y analítico.
En la consulta de Atención Primaria el seguimiento de la enfermedad renal crónica es fundamental para prevenir su progresión. Ante el empeoramiento del filtrado glomerular, se deben diferenciar causas funcionales, parenquimatosas y obstructivas. La ecografía renal es una herramienta esencial en la consulta que orienta el manejo, optimiza el tratamiento y la conducta a seguir con el paciente.

