5, 6 y 7 de febrero de 2026
Enfoque individual
Paciente de 75 años, fumadora de 6 cigarrillos y bebedora de dos vinos al día,sin otros antecedentes de interés ni tratamiento crónico. Consulta por dolor abdominal de tres días, continuo, localizado en epigastrio con irradiación hacia hipocondrio izquierdo asociado a disminución de ingestas, sin nauseas, vómitos, diarrea, estreñimiento ni otros signos de alarma.
Exploración física con abdomen doloroso en epigastrio e hipocondrio izquierdo, sin palpar masas ni megalias.
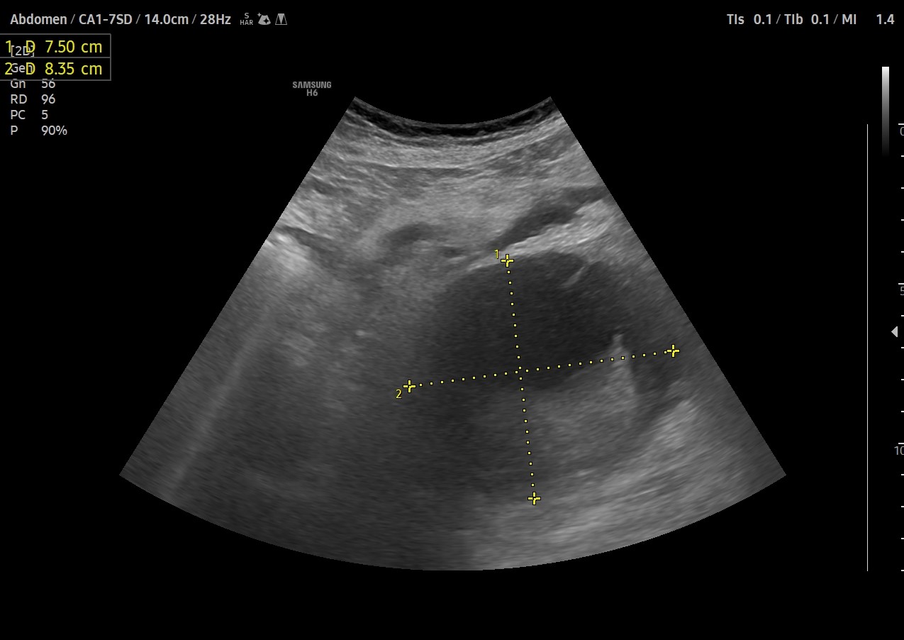
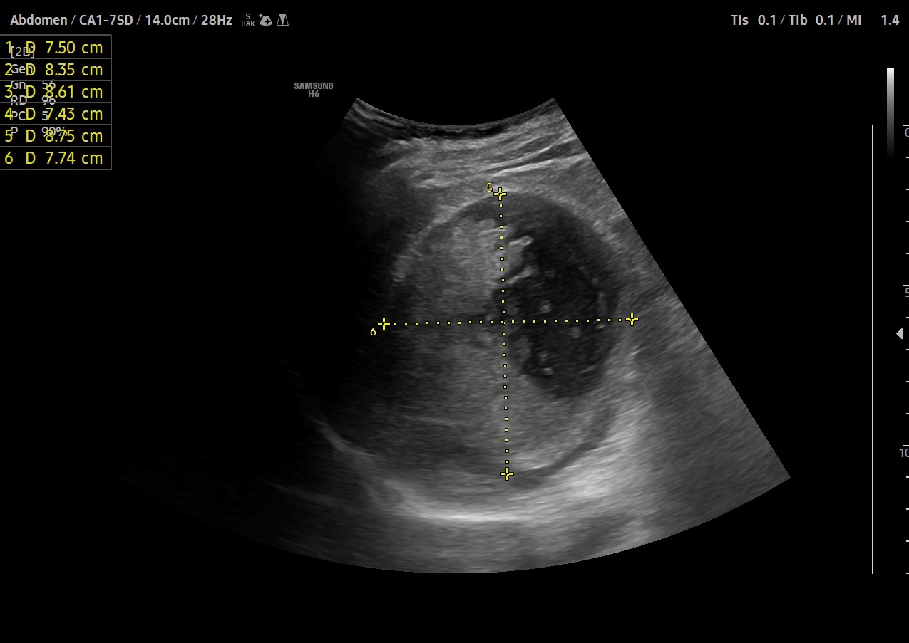
Dada la clínica y la afectacion del estado general se realiza ecografía clínica.
Hallazgos ecográficos
Se objetiva en HI masa bien delimitada de aprox. 8x8cm,que no parece tener relación con riñón izquierdo ni con el bazo,situado entre ambas estructuras,visible también a nivel de mesogastrio, de caracteristicas sólido-quísticas, inmóvil, sin captación de Doppler.
Pruebas complementarias
Ante los hallazgos se deriva a urgencias hospitalarias y es realizado TC abdomino-pelvico:Lesión nodular retroperitoneal izquierda de aproximadamente 84 x 81 mm y paredes finas parcialmente calcificadas que impresiona de origen suprarrenal [...] densidad heterogénea en probable relación con sangrado intralesional [...] que sugiere rotura. Se acompaña delíquido libre locorregional en espacio perirrenal y pararrenal anterior izquierdo ligeramente hiperdenso sugestivo de retrohemoperitoneo.
Juicio clínico, diagnóstico diferencial, concordancia con el hospital (en su caso)
Juicio clínico: Incidentaloma suprarrenal.
Diagnósticos diferenciales: masa en ángulo cólico izquierdo, tumoración renal.
Tratamiento, planes de actuación
Tras el hallazgo es dada de alta por el Sº de Urología,pendiente de valoración en Consultas Externas de forma prefente.Metanefrinas plasmáticas normales.Tres meses después es intervenida mediante adrenalectomía izquierda abierta + esplenectomía + pancreatectomía distal, sin incidencias. La anatomia patologica propone «diangostico diferencial entre quiste y angioma, decantandose por la lesión quistica sin evidencia de malignidad».
Evolución
Buenas evolucion, mejoria progresiva. Sin disfunción pancreática.
Dada de alta de Urología y de Endocrinología.
Un incidentaloma suprarrenal es una masa tumoral mayor de 1 cm de diámetro, descubierta fortuitamente mediante un examen radiológico. Tienen una prevalencia que varía entre el 4-6% de la población, siendo los adenomas no funcionantes los más habituales (aproximadamente el 70% de los casos).Los quistes suprarrenales son una entidad poco frecuente,representando una porción minoritaria de los incidentalomas suprarrenales (0,06 y el 0,18% en series de autopsias).
La ecografia clinica en este caso nos ha ayudado a la objetivación de la masa in situ y a la aceleración del proceso diagnóstico y terapéutico.

