X Jornadas de Actualización en Medicina de Urgencias y VI Jornadas de Ecografía de la semFYC
6-7-8 de febrero de 2025
Atención Primaria.
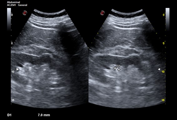
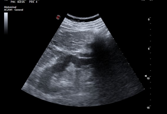
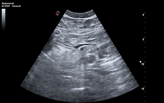
Dolor en hipocondrio derecho.
Antecedentes personales relevantes, anamnesis, exploración física y lugar que ocupa en ella la ecografía
Descripción de los hallazgos ecográficos y las imágenes más relevantes para la resolución del caso.
Otras pruebas complementarias realizadas (si existen)
Juicio clínico, diagnóstico diferencial, concordancia con el hospital (en su caso)
Tumor papilar mucinoso intraductal.
Decisiones adoptadas: tratamiento, planes de actuación
Se deriva a Digestología.
Evolución y seguimiento
Concluye que no hay signos de alarma, pero no es pequeño (> 2 cm). Interesa TAC control precoz a los 3 m. Se desestima de momento RM por ser portador de MCP.
Muchas veces ante incidentaloma hallados en una exploración complementaria desconocemos cómo actuar (¿TAC urgente? Derivación urgente a digestología).
Revisamos literatura sobre los tipos de quistes pancreáticos con capacidad de evolucionar a cáncer de páncreas:
Tumor pseudopapilar sólido-quístico. Jóvenes (15-30 a). Multiquistes voluminosos. Malignidad intermedia, con metástasis a distancia. Tratamiento quirúrgico.
Neoplasia mucinosa quística. Lesión benigna con posibilidad de malignización (20-30%). Afecta a mujeres edad media. Quiste generalmente único que no se origina ni está en contacto con el conducto pancreático principal. Tratamiento quirúrgico.
Tumor papilar mucinoso intraductal (TPMI) Quiste de páncreas más frecuente. Aparece en mayores 50 años. Originado en conductos pancreáticos intrapancreáticos. Posibilidad de malignización varía en función de si se origina en


