X Jornadas de Actualización en Medicina de Urgencias y VI Jornadas de Ecografía de la semFYC
6-7-8 de febrero de 2025
Atención Primaria.
Hombre de 71 años que consulta por tumoración en hombro izquierdo de meses de evolución, de unos 4 cm de diámetro, no dolorosa, sin antecedente traumático.
Antecedentes personales relevantes, anamnesis, exploración física y lugar que ocupa en ella la ecografía
Antecedentes personales: en seguimiento por Reumatología por espondiloartropatía B27+. Exploración física; atrofia muscular en la región del hombro izquierdo, limitaicón severa de la movilidad activa (especialmente en abduccion y rotacion externa) y masa supraclavicular palpable. Fuerza levemente disminuida en MSI, sensibilidad conservada en todos los niveles.
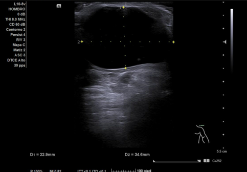
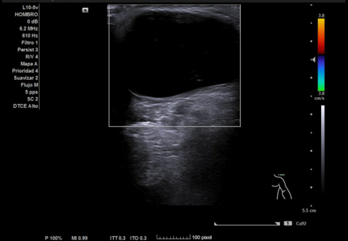
Descripción de los hallazgos ecográficos y las imágenes más relevantes para la resolución del caso
Ecografía hombro izquierdo: se observa una masa de 2,3 x 3,4 cm, anecoica en su totalidad, no tabicada, de bordes bien definidos y sin captación en Doppler.
Otras pruebas complementarias realizadas (si existen)
Pruebas complementarias: Radiografía: No se aprecian líneas de fractura. Corticales íntegras con espacios articulares conservados, sin pinzamientos ni luxaciones. Se observa el quiste ya descrito en la ecografía. Sin lesiones óseas agudas.
Juicio clínico, diagnóstico diferencial, concordancia con el hospital (en su caso)
Diagnóstico final: quiste sinovial probablemente perteneciente a la articulación acromioclavicular.
Diagnósticos diferenciales: Signo del Geyser, Lipoma, Hematoma organizado o seudoquiste.
Decisiones adoptadas: tratamiento, planes de actuación
Seguimiento del paciente. Actualmente en espera para inclusión en lista de espera quirúrgica.
Evolución y seguimiento
Se derivó al servicio de Cirugía General para estudio y posterior exéresis si procedía. Allí le realizaron al paciente una RMN de hombro, un TAC sin contraste y posteriormente otra ecografía para llegar al diagnóstico de sospecha de quiste sinovial.
Este caso resalta la importancia de valorar y seguir las indicaciones de las pruebas solicitadas desde Atención Primaria. A pesar de que se realizaron múltiples estudios adicionales como resonancia magnética, TAC y una segunda ecografía, el diagnóstico final fue el mismo que se había sospechado inicialmente con la primera ecografía. Esto evidencia que, en muchas ocasiones, las pruebas solicitadas en este nivel de atención son suficientes para orientar el diagnóstico, evitando pruebas innecesarias que pueden suponer un gasto de recursos y una carga adicional para el paciente.

