X Jornadas de Actualización en Medicina de Urgencias y VI Jornadas de Ecografía de la semFYC
6-7-8 de febrero de 2025
Servicio de Urgencias.
Fiebre, tos.
Antecedentes personales relevantes, anamnesis, exploración física y lugar que ocupa en ella la ecografía
Sin interés.
Mujer 27 años, natural de Tenerife, consulta por fiebre y tos.
Talla 175 cm, peso 60 kg. TA 101/89, FC 99, afebril. Buen estado general, eupneica. Normohidratada, normocoloreada y normoperfundida. Neurológico sin alteraciones. Cabeza y cuello normales. Auscultación cardíaca rítmica, soplo en foco pulmonar. Auscultación pulmonar con murmullo vesicular aumentado en hemitórax izquierdo. Abdomen blando, leve dolor a la palpación en hipocondrio izquierdo, se palpa polo de bazo.
Descripción de los hallazgos ecográficos y las imágenes más relevantes para la resolución del caso
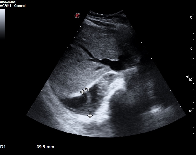
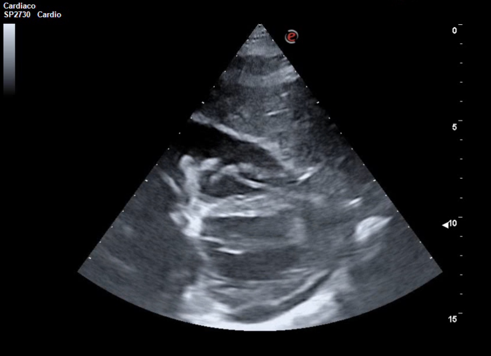
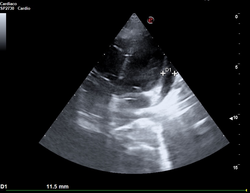
La ecocardioscopia mostró ventrículo izquierdo no dilatado con función sistólica conservada, sin hipertrofia del septo interventricular ni valvulopatías. Aurículas izquierda y cavidades derechas de tamaño normal. TAPSE normal. Se evidenció un derrame pericárdico moderado sin signos de taponamiento cardíaco. Calibre de vena cava inferior normal con colapsabilidad mayor del 50%. Hallazgo de derrame pleural derecho moderado.
Otras pruebas complementarias realizadas (si existen)
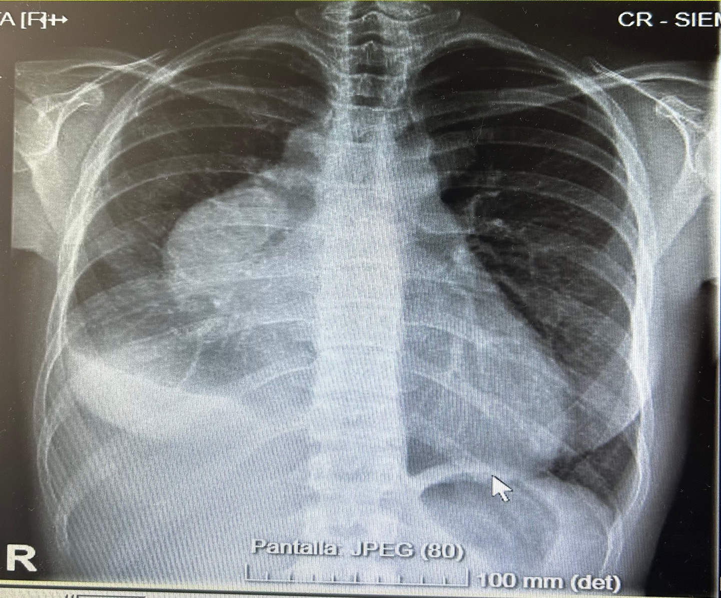
Radiografía de tórax: derrame pleural derecho, ocupación en mediastino anterior. No se observan infiltrados claros.
Analítica sanguínea: PCR 63 mg/L, LDH 484 U/L, GGT 40 U/L, Fosfatasa alcalina 159 U/L. Linfocitos 1,07.10*3/uL, neutrófilos 6,8.10*3/uL, plaquetas 633.10*3/uL.
Juicio clínico, diagnóstico diferencial, concordancia con el hospital (en su caso)
Masa mediastínica, sospecha de síndrome linfoproliferativo.
Timoma, teratoma, linfoma.
Decisiones adoptadas: tratamiento, planes de actuación
Ingreso en Medicina Interna para estudio de masa y monitorización.
Evolución y seguimiento
Paciente ingresada para estudios complementarios y seguimiento del derrame pleural y pericárdico.
La ecografía clínica desempeñó un papel fundamental en la evaluación inicial del paciente, permitiendo una detección rápida y precisa de hallazgos que guiaron la toma de decisiones clínicas. La ecocardioscopia realizada reveló un derrame pericárdico moderado, sin signos de taponamiento cardíaco y un derrame pleural derecho significativo. Estos hallazgos fueron esenciales para descartar la presencia de un cuadro obstructivo que pudiera haber requerido una intervención inmediata. Además, la ecografía permitió valorar el estado hemodinámico de la paciente de forma no invasiva, asegurando que el derrame pericárdico no comprometiera la función cardíaca. En la radiografía de tórax se objetiva una masa mediastínica. La capacidad de detectar y cuantificar de forma precisa tanto el derrame pleural como el pericárdico sin necesidad de esperar a pruebas más complejas, permitió que la paciente fuera ingresada de manera adecuada para un estudio exhaustivo y sin demoras innecesarias.



