V Jornadas de Ecografía de la semFYC

9 y 10 de febrero de 2024

Comunicaciones: Casos clínicos

Imagen calcificada en hipocondrio izquierdo (póster)

Ámbito del caso

Atención Primaria.

Motivos de consulta

Dolor lumbar izquierdo de meses de evolución.

Historia clínica

Enfoque individual

Varón de 38 años, trabaja realizando sobre esfuerzos habituales. 
A la exploración, impresiona dolor lumbar de origen mecánico.
Se decide realizar rx de raquis lumbar donde se objetiva imagen calcificada en hipocondrio izquierdo, decidiéndose ampliar estudio con ecografía ambulatoria.

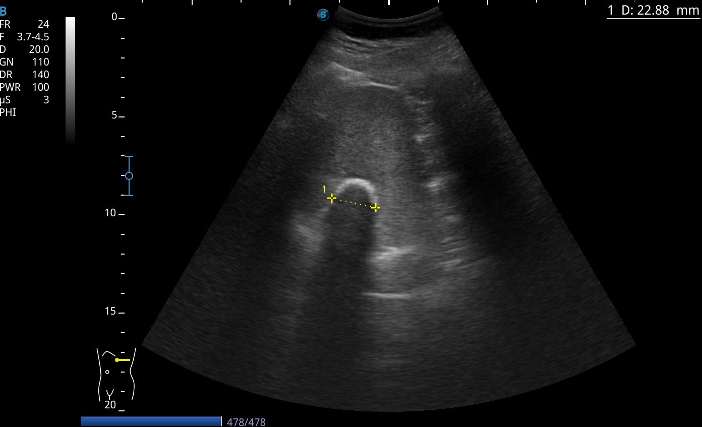
Hallazgos ecográficos

En la ecografía se visualiza una masa calcificada en bazo.

Pruebas complementarias

Se amplía estudio a TC abdominal que confirma el diagnóstico de quiste hidatídico calcificado.
La hidatiosis es una zoonosis producida por un mestacestodo de las especies del género Echinoccocus que parasita el intestino del perro y que el hombre, tras ingerir alimentos o agua contaminada por dicho parásito se infecta.

Juicio clínico, diagnóstico diferencial, identificación de problemas

El diagnóstico clínico inicial fue de lumbalgia de características osteomusculares, no obstante, gracias a las pruebas complementarias, se evidenció calcificación que permitió ampliar el estudio.

Tratamiento y planes de actuación

El paciente es remitido a consultas externas de medicina digestiva.

Evolución

Evolución favorable, seguimiento en consulta de Atención Primaria.

Conclusiones (y aplicabilidad para la Medicina de Familia)

Con la exposición del presente caso clínico queremos remarcar la importancia de la ecografía en atención primaria, tanto como prueba complementaria como para el seguimiento de los pacientes.
 

Comunicaciones y ponencias semFYC: 2026; Comunicaciones: Casos clínicos. ISSN: 2339-9333

Autores

Lara Baño, Andrea
CS Integrado. Onda
Velicu Badisor, Mihai Dragos
CS Integrado. Onda
Garcia Culebras, Elena Isabel
CS Integrado. Onda