Comunicaciones: Casos clínicos

Hinchazón abdominal en consultorio rural (Póster)

Ámbito del caso (Atención Primaria, servicios de Urgencias o atención domiciliaria)

Atención primaria. Consultorio rural. 

Motivos de consulta

Hinchazón abdominal y sangrado vaginal.

Historia clínica

Antecedentes personales relevantes, anamnesis, exploración física y lugar que ocupa en ella la ecografía

  • AP relevantes: Dislipemia, Fibromialgia.
  • Ginecoobstétricos: G3A0P3. Menopausia a los 52 años. Cribado por citología realizado adecuadamente. 
  • En tratamiento con Simvastatina y Bromazepam condicional. 
  • Anamnesis: Mujer de 68 años que acude a consulta porque ha notado hinchazón abdominal desde hace 1 mes, y ayer sangrado vaginal de cuantía escasa.  Sin alteraciones del hábito intestinal, no náuseas ni vómitos. No fiebre ni síndrome ficcional asociado. No síndrome constitucional. 
  • Exploración física: Abdomen distendido en hipogastrio, que a la palpación destaca tumoración indurada de gran tamaño, no dolorosa, poco móvil. No signos de peritonismo. 
  • En este momento tiene lugar la ecografía, ya que podemos dirigir el caso de manera más completa.

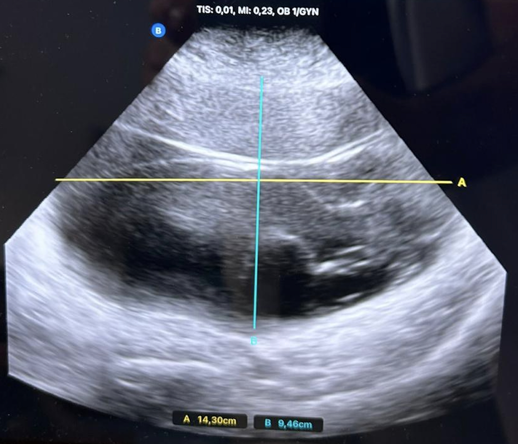
Descripción de los hallazgos ecográficos y las imágenes más relevantes para la resolución del caso

  • Ecografía clínica abdominal: Se visualiza cavidad heterogénea y bien delimitada de unos 14,3 x 9,5 cm, con algunos septos en su interior, no capta Doppler. En este caso no visualizamos bien cavidad uterina.

Otras pruebas complementarias realizadas (si existen)

TAC y RNM abdomino-pélvico que describe quiste anexial izquierdo de 10 x 17 x 16 cm sugerente de cistoadenoma mucinoso. Marcadores tumorales negativos. Biopsia endometrial negativa.

Juicio clínico, diagnóstico diferencial, concordancia con el hospital (en su caso)

  • Juicio clínico: Cistoadenoma mucinoso.
  • Diagnóstico diferencial: Ginecológico (Leiomioma, leiomiosarcoma, Quiste ovárico, tumor ovárico, endometrioma) Urinario (Retención aguda de orina, Masa ureteral/Vejiga), Gastrointestinal (Fecaloma, Obstrucción intestinal, Cáncer colorrectal).

Decisiones adoptadas: tratamiento, planes de actuación

  • Actitud: Con los hallazgos reseñados se decidió realizar Teleconsulta con Ginecología para cita preferente y realización de pruebas complementarias (reseñadas arriba). Com vimos que tardaba la cita, indicamos a nuestra paciente acudir por urgencias, donde agilizaron la cita y toma de muestras. Tras la valoración en consultas y resultados de pruebas complementarias, se realizó Anexectomía bilateral vía laparotómica.

Evolución y seguimiento

Tras ello, la hemos seguido en consulta. Ha tenido molestias de la intervención.

Conclusiones y aplicabilidad para la medicina de familia

  • En este caso tiene gran relevancia la realización de ecografía a pie de cama, ya que hemos podido filiar la causa ginecológica, asignándole la prioridad de valoración por el segundo nivel asistencial. De esta manera hemos reducido la incertidumbre de nuestra paciente. Cobra importancia cuando se realiza en un centro rural, como ha sido nuestro caso.

 


Comunicaciones y ponencias semFYC: 2026; Comunicaciones: Casos clínicos. ISSN: 2339-9333

Autores

Muñoz Gámez, Antonio
CS Armilla. Granada
Arias García, Alba
CS Armilla. Granada
Girón Prieto, María Sierra
CS Armilla. Granada