V Jornadas de Ecografía de la semFYC
9 y 10 de febrero de 2024
Enfoque individual
- Antecedentes personales:
No fumador.
Cólicos nefríticos de repetición.
Litotricia intracorpórea con láser holmium de cálculos ureterales bilaterales el 19/4/2016.
- Enfermedad actual: paciente de 63 años que acude a consulta por hematuria en 2 ocasiones durante la última semana e inicio de molestia en zona lumbar izquierda desde esta mañana.
- Exploración física:
Puño percusión renal negativa bilateralmente.
Abdomen blando y depresible, no doloroso a la palpación superficial ni profunda. No se palpan visceromegalias.
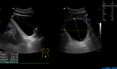
Hallazgos ecográficos
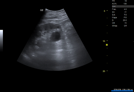
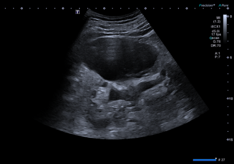
- Ecografía clínica renovesical: Vejiga sin lesiones ocupantes de espacio, sin residuo postmiccional, próstata de tamaño aumentado (56 cc). Ambos riñones con quistes corticales simples, de hasta 9,6 cm en el riñón izquierdo. Sistema excretor derecho no dilatado. Leve-moderada dilatación pielocalicial izquierda. No se evidencian imágenes ecográficas sugestivas de litiasis en pelvis renal.
Pruebas complementarias
- Citología seriada de orina: células uroteliales atípicas.
- Resonancia magnética renal con contraste: hidronefrosis grado II izquierda, secundaria a litiasis obstructiva de 5 mm localizada en el tercio inferior del uréter, inmediatamente caudal al cruce con los vasos ilíacos. Quistes sinusales y simples corticales bilaterales, el mayor de 9,4 cm de eje craneocaudal en el polo inferior del riñón izquierdo. Resto sin alteraciones significativas.
Juicio clínico, diagnóstico diferencial, identificación de problemas
A causa de la hematuria macroscópica, se inicia despistaje de cáncer urotelial. En la ecografía no visualizamos lesiones ocupantes de espacio en vejiga aunque la presencia de células atípicas en orina no nos permitió descartar la posibilidad de tumor urotelial. También nos sorprendió la visualización de quistes de gran tamaño de predominio en el riñón izquierdo. Así mismo, la visualización de dilatación pielocalicial izquierda junto con el inicio de molestia en la zona lumbar izquierda, nos hizo pensar en cólico renal. Por un momento, ante tal variedad de hallazgos, «perdimos la perspectiva» del caso.
Finalmente, con la evolución de la clínica a dolor lumbar tipo cólico y el conjunto de todas las pruebas complementarias se orienta como cólico renal con hidronefrosis izquierda grado II.
Tratamiento y planes de actuación
Se programa para intervención quirúrgica con endoscópica armada y litotricia.
Evolución
Esperando intervención.La ecografía cada vez se usa más como una extensión de la exploración física en la consulta del médico de familia. Gracias a ella hemos podido descartar patología y detectar hidronefrosis y quistes como hallazgo casual.
