X Jornadas de Actualización en Medicina de Urgencias y VI Jornadas de Ecografía de la semFYC
6-7-8 de febrero de 2025
Atención Primaria.
Antecedentes personales relevantes, anamnesis, exploración física y lugar que ocupa en ella la ecografía
Hombre de 62 años, no fumador, fibrilación auricular, hipertensión arterial, dislipidemia, en tratamiento con anticoagulantes y antihipertensivos. Refiere que hace tres días comenzó a orinar con una coloración marronácea. Ausencia de clínica miccional. No refiere dolor abdominal. Sin alteraciones en las deposiciones. Constantes estables. TA 135/71 mmHg. FC 71 lpm. Buen estado general. Auscultación cardíaca: rítmica. Auscultación respiratoria: murmullo vesicular conservado. Abdomen blando y depresible, no doloroso a la palpación.
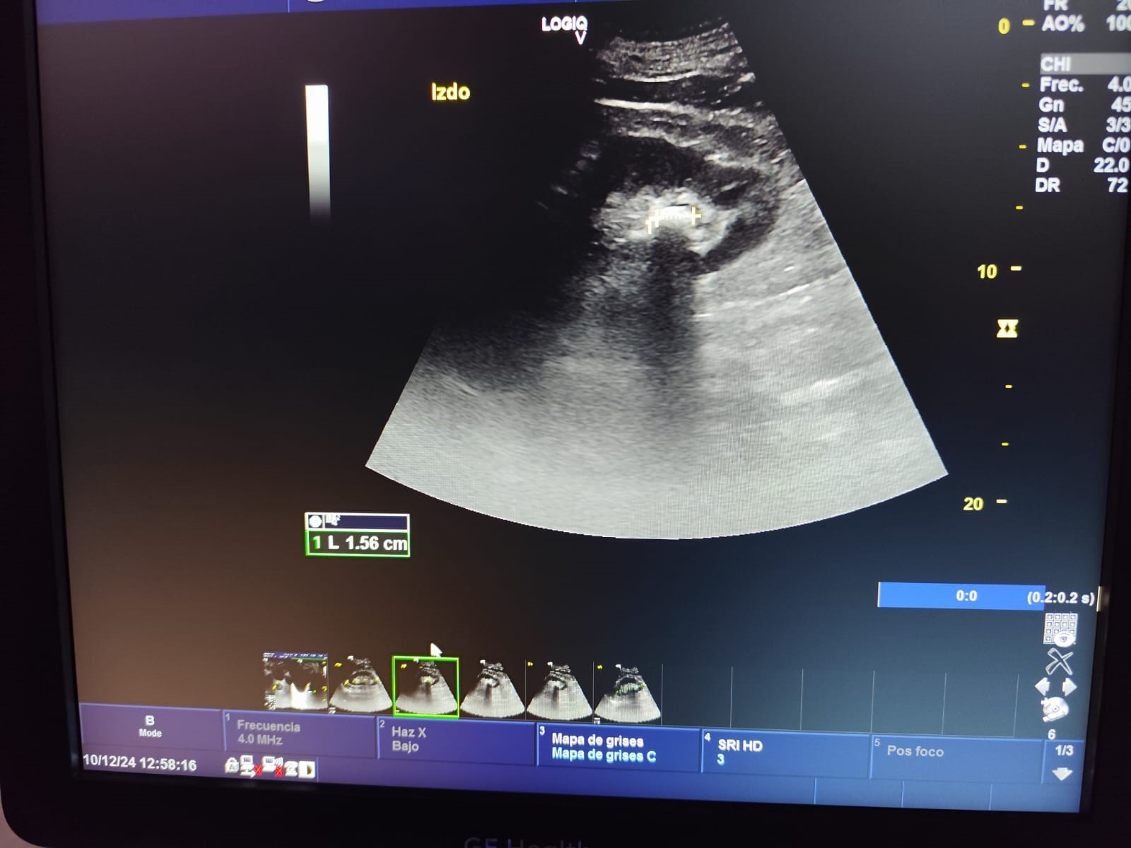
Descripción de los hallazgos ecográficos y las imágenes más relevantes para la resolución del caso
Ecografía en atención primaria (POCUS): Ecografía del riñón izquierdo: Litiasis de 1.4 cm en polo inferior, morfología y tamaño normales. Resto sin alteraciones.
Otras pruebas complementarias realizadas (si existen)
Tira reactiva: Hematuria (+++), sin signos de infección urinaria.
Analítica: Sangre en orina. Función renal conservada.
Screening de orina: Ausencia de bacterias.
Juicio clínico, diagnóstico diferencial, concordancia con el hospital (en su caso)
Diagnóstico diferencial: Litiasis renal, infección urinaria, neoplasia, enfermedad renal.
Juicio clínico: Litiasis renal en riñón izquierdo, sin signos de hidronefrosis u otra complicación.
Decisiones adoptadas: tratamiento, planes de actuación
Solicitud de ecografía preferente y derivación a urología.
Evolución y seguimiento
Realiza una nueva consulta por hematuria, sin aportar resultados de la prueba de imagen ya que se encuentra pendiente, por lo que se efectúa ecografía clínica en el Centro de Salud. El paciente realiza una videograbación del procedimiento ecográfico con el propósito de compartirla en la consulta de Urología, donde tras observar los resultados se remite a Litotricia Extracorpórea por Ondas de Choque.
En este caso podemos observar en un paciente de 62 años con hematuria asintomática, la importancia y la efectividad de haber realizado la ecografía en el centro de salud para el diagnóstico de litiasis y la ausencia de otras complicaciones. De esta manera ha demostrado que puede integrarse eficazmente en la consulta de atención primaria, permitiendo un diagnóstico rápido y preciso, reduciendo tiempos de espera y mejorando el manejo clínico. Es importante destacar que para ello se requiere una formación del personal médico adecuada y equipos de calidad.

