V Jornadas de Ecografía de la semFYC

9 y 10 de febrero de 2024

Comunicaciones: Casos clínicos

Hallazgos ecográficos inesperados, la importancia de un diagnóstico precoz (póster)

Ámbito del caso

Atención Primaria

Motivos de consulta

Varón de 59 años, dolor abdominal sin relación con ingesta, de 4 meses de evolución, remite con naproxeno. Pérdida de 4 kilos en 2 meses. Alternancia diarrea con hábito normal.

Historia clínica

Enfoque individual

Antecedentes personales 

  • Fumador de cigarrillo electrónico. Previamente 15 cig/Día. Consumo de alcohol esporádico.
  • Dislipemia. 
  • Endoscopia (2021): hernia de hiato y esofagitis péptica grado C. 
  • Colonoscopia (2021):  sin alteraciones
  • Ecografía abdominal (2022): sin hallazgos

Antecedentes familiares. 

  • Padre: cáncer pleura  con 81 años.
  • Madre: cáncer de mama con 81 años.
  • Hermana: cáncer útero con 65 años.

Anamnesis y exploración física

Buen estado general. No adenopatías cervicales, axilares ni inguinales.

Auscultación cardíaca: rítmico, sin soplos. Auscultación pulmonar: ruidos respiratorios normales.

Abdomen: ruidos presentes y normales. Dolor a la palpación de hipocondrio derecho. No se palpa hepatomegalia. Aporta análisis extramuros: Gammagluatamil transpeptidasa (GGT): 192, Fosfatasa Alcalina (FA): 151.

Se decide realizar analítica y ecografía en el centro

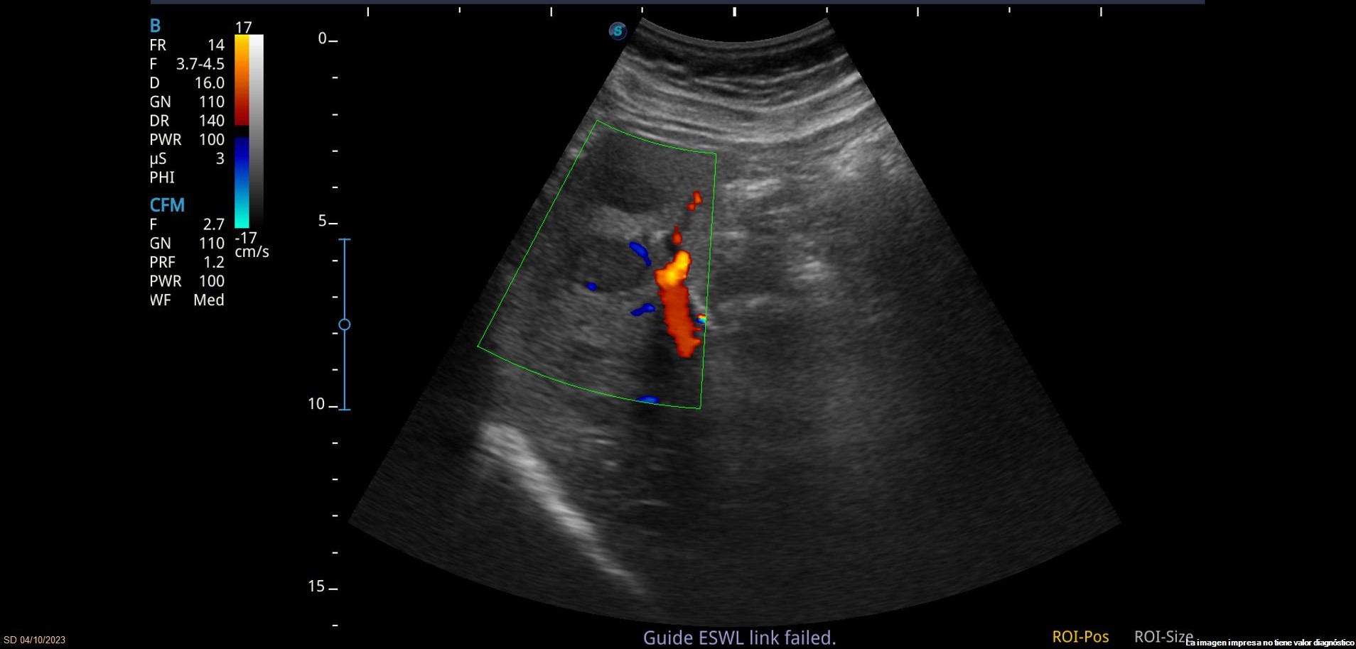
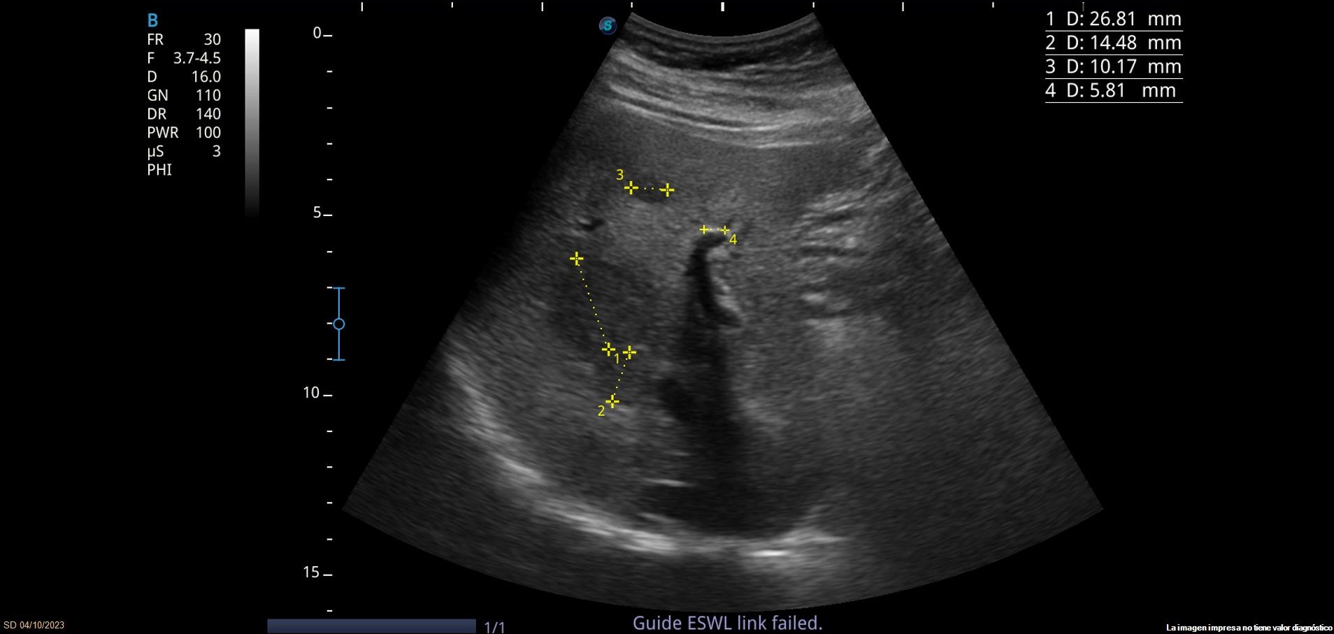
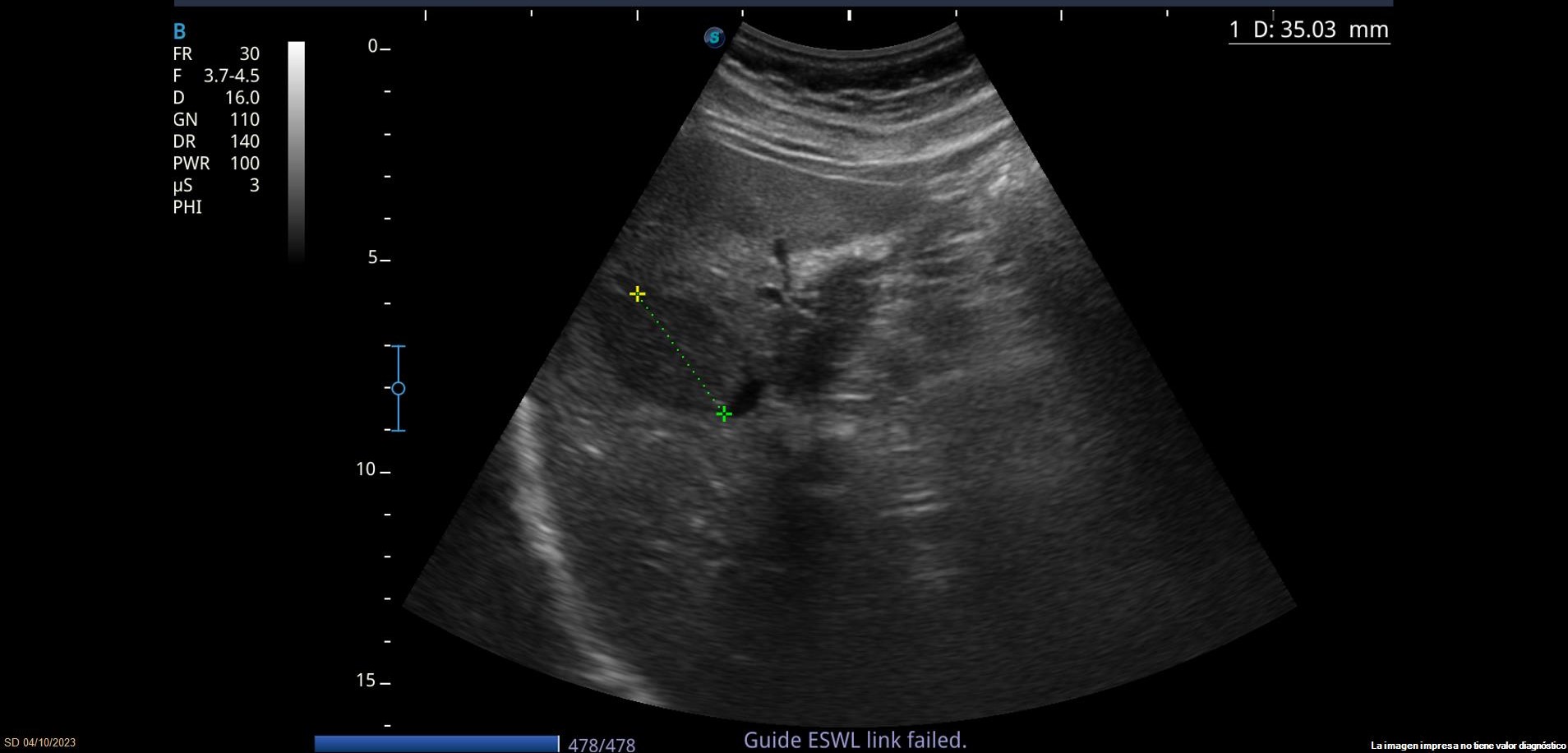
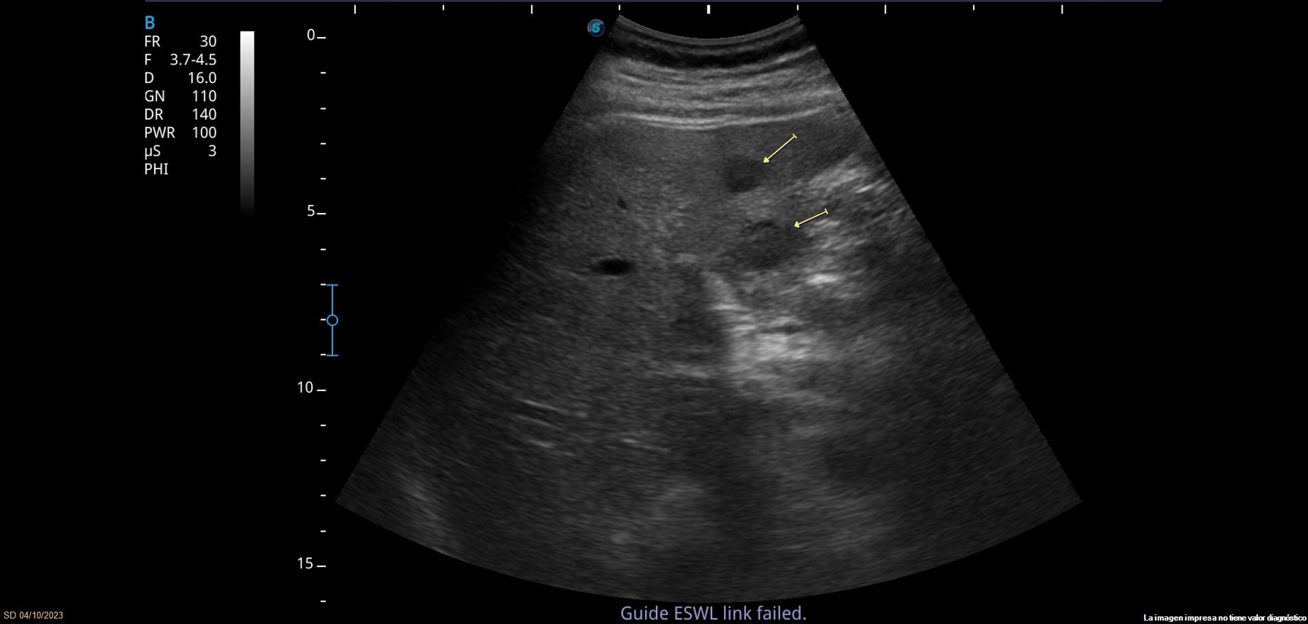
Hallazgos ecográficos

Se observan varias LOEs (lesiones ocupantes de espacio) hepáticas isoecoicas con parénquima hepático, la mayor de 3.5cm de diámetro, con leve vascularización. También se observa lesión hiperecoica con sombra posterior en parénquima hepático, sugerente de litiasis.

Pruebas complementarias

  • Analíticamente destaca: Transaminasa Glutámico Pirúvica (GPT): 41 UI/L ,GGT: 276 UI/L , FA: 181 UI/L ,  Lactato deshidrogenasa: 368, Antígeno carcinoembrionario(CEA): 20.6 ng/mL  , CA 19.9:  107890.2 U/mL [0.0 - 37.0] 

Juicio clínico, diagnóstico diferencial, identificación de problemas

Neoplasia de páncreas estadio IV

Tratamiento y planes de actuación

Se deriva a medicina interna para estudio:

-Tomografía axial computerizada (TAC): Hallazgos sugestivos de neoplasia de páncreas con metástasis hepáticas y pulmonares. Tromboembolismo pulmonar agudo bilateral.

Evolución

Tras los hallazgos en TAC se realiza ingreso urgente. Se realiza CPRE que objetiva neoplasia pancreática que infiltra duodeno y vía biliar. Se hace biopsia y se colocan prótesis pancreática profiláctica y  prótesis biliar.

Conclusiones (y aplicabilidad para la Medicina de Familia)

La realización de ecografía  supuso el descubrimiento de LOEs sugerentes de metástasis y su derivación por vía rápida. La ausencia de ecografía hubiera supuesto un retraso de manejo hospitalario.
 
 
 
 

Comunicaciones y ponencias semFYC: 2026; Comunicaciones: Casos clínicos. ISSN: 2339-9333

Autores

López Ribera, Marina Jara
CS Sárdoma. Vigo. Pontevedra
Costa Posada, Anxo
CS Sárdoma. Vigo. Pontevedra
Barrio Díez, Isabel
CS Sárdoma. Vigo. Pontevedra