5, 6 y 7 de febrero de 2026
Atención Continuada
Polaquiuria, irritación urinaria.
Enfoque individual
Hipertensión arterial (2024), litiasis renal derecha (2022), insuficiencia renal aguda (2016), Cistitis a repetición (2 episodios 2023 / 1 en 2024 / 2 en 2025), Hipotiroidismo primario. En tratamiento crónico con Lisinopril 20 mg, Eutirox 75 mcg.
Buen estado general, afebril, eupneica, alerta, con normotensión arterial, leve edema de miembros inferiores. Abdomen: blando, normodepresible, no doloroso con la palpación profunda, Blumberg, Rovsing negativos, Puñopercusión lumbar izquierda positiva.
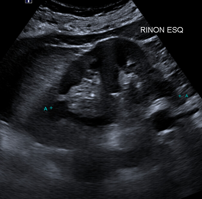
Hallazgos ecográficos
Riñón izquierdo, protuberancia en borde lateral del lóbulo medio, pseudomasa en tercio medio de riñón izquierdo con desplazamiento de la estructura cortical del riñón. Vejiga normal, replecionada, sin alteraciones ecográficas en su interior. Jets renales adecuados, sin alteraciones
La «joroba de dromedario» es una variante anatómica benigna del riñón izquierdo. Dada por una protuberancia focal en el borde lateral del riñón izquierdo, relacionada con una impronta esplénica. Junto con la hipertrofia de la columna de Bertin, pueden simular masas.
Pruebas complementarias
Laboratorio con filtrado renal 58 ml/min (5 meses atrás 84 ml/min). Na+148 mEq/Ll, k+5,3 mEq/L, Cl:99 mEq/L; Sedimentos urinarios: negativos.
Juicio clínico, diagnóstico diferencial, concordancia con el hospital (en su caso)
La ecografía comúnmente es el método de elección para la valoración anatómica inicial por las ventajas que ofrece. Permitiendo diferenciar las variantes anatómicas y anomalías congénitas.
La variación en la forma del riñón en sí no es generadora directa de alteración funcional; en cambio, su forma y ubicación hacen que sean vulnerables a situaciones externas como las patologías obstructivas (Litiasis renal) o daños por compresión (enfermedades del parénquima renal).
Tratamiento, planes de actuación
Medidas de H+D y mejora de la hidratación domiciliaria, además combinamos IECA con Diurético tiazídico.
Evolución
En Atención Primaria y ante la posibilidad de insuficiencia renal aguda, se debe hacer énfasis en identificar la causa del mismo, además es vital la corrección gradual de la deshidratación o sobrehidratación que esté ocurriendo, así como evitar nefrotóxicos.
En urgencias y en consultas de atención primaria puede servir para establecer diagnósticos diferenciales entre las lobulaciones fetales persistentes, del defecto parenquimatoso de la unión, la hipertrofia de la columna de Bertín, la duplicidad pielocalicial, el riñón en herradura, la agenesia renal, la hipoplasia renal, pelvis extrarrenal, ectopia renal y megauréter congénito.


