5, 6 y 7 de febrero de 2026
Enfoque individual
No, Ramc, no antecedentes familiares ni personales.
Examen físico: Buen estado general, consciente, alerta y orientado, eupneica.
AC: Rítmica a buena frecuencia, no soplos.
ABD: Se palpa masa abdominal en hipogastrio, no dolorosa a la palpación.
Genitourinario: A la palpación bimanual, masa móvil de unos 20 cm que ocupa toda la pelvis y llega hasta la zona supraumbilical.
Analítica:
Hemograma: LEU: 6.38, Hematíes: 4.60, VCM: 78.3, PLQ: 219, Resto sin hallazgos.
Coagulaciones: Dentro de los valores normales
Bioquímica Dentro de los valores normales, PCR: 13.
Marcadores tumorales Antígenos carcinoembrionarios: 0.91, CA-125: 30.1, CA-19.9: 7.5.
Enfoque familiar y comunitario
La paciente en todo momento refiere no tener antecedentes familiares relevantes.
Juicio clínico, diagnóstico diferencial, identificación de problemas
Masa abdominal a filiar.
Tratamiento y planes de actuación
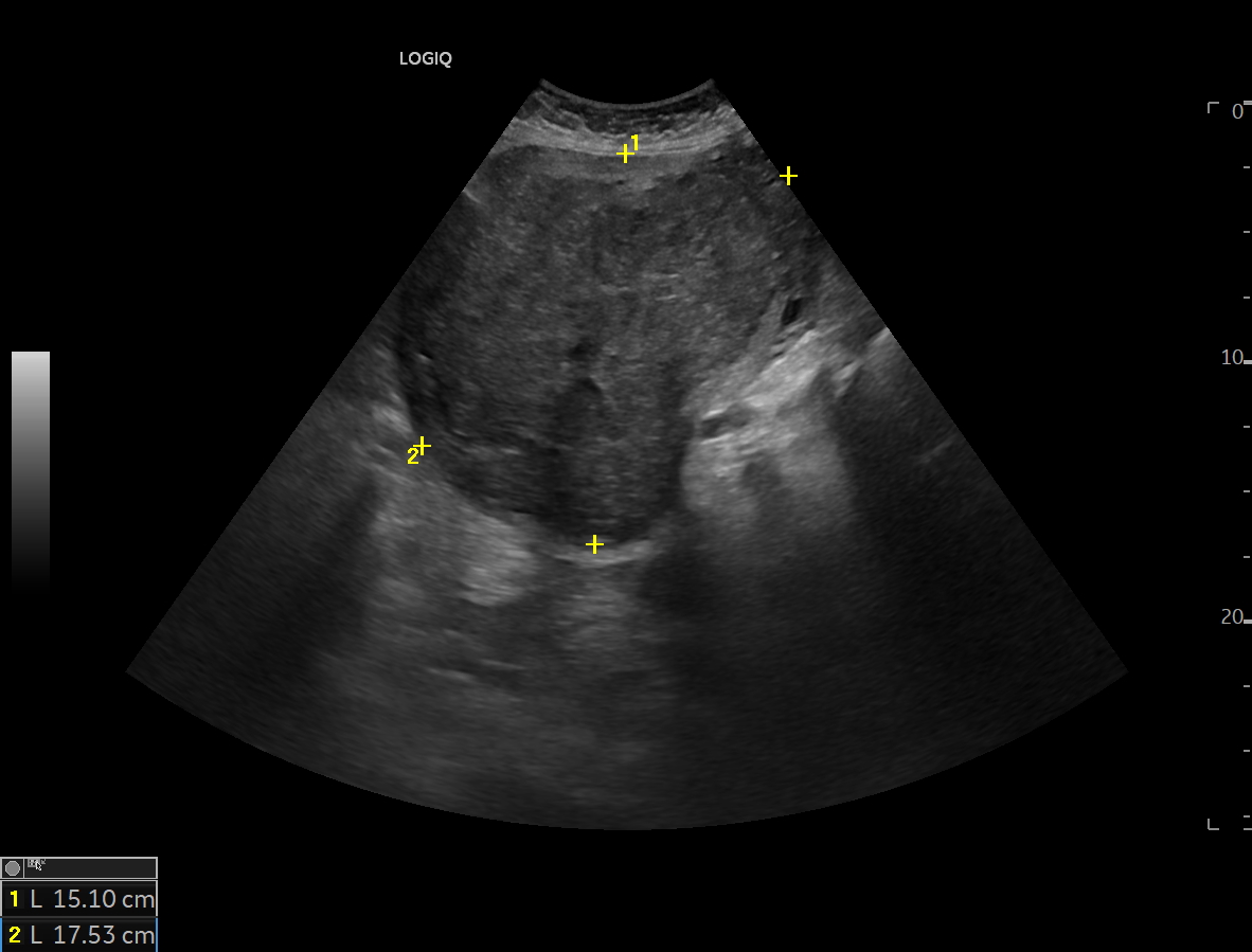
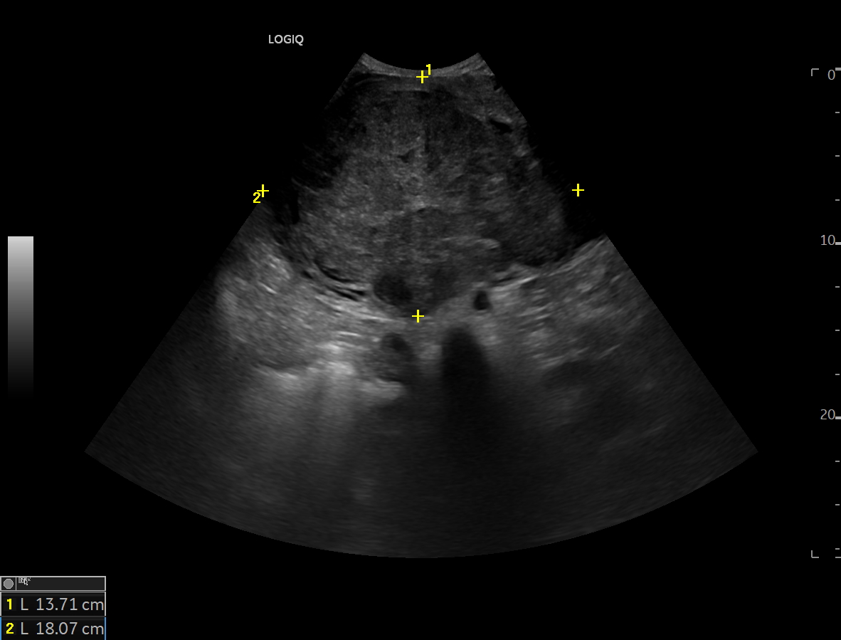
Se realiza ecografía clínica, en la cual se encuentra masa abdominal de 20x20 cm.
Evolución
Se realiza ecografía clínica donde se aprecia masa abdominal de 20x20 cm sin identificar origen, porque posteriormente se solicita interconsulta con ginecología, la cual le realiza RMN, la cual da el siguiente resultado:
Masa hipogástrica compatible con leiomioma uterino, con focos de degeneración quístico-necrótica e hialina.
Finalmente, la paciente fue citada para intervención quirúrgica (histerectomía total + doble salpingectomía).


