V Jornadas de Ecografía de la semFYC

9 y 10 de febrero de 2024

Comunicaciones: Casos clínicos

Hallazgo incidental de adenoma tiroideo (póster)

Ámbito del caso

Consulta externa, servicio de urgencias 

Motivos de consulta

  • Hallazgo incidental de nódulo tiroideo en consulta de fisioterapeuta.

Historia clínica

Enfoque individual

Paciente de 47 años de edad sin antecedentes de interés, acude a consulta de urgencias por cuadro de hallazgo incidental de lesión nodular actualmente niega sintomatología cardinal, ni signos tiroideos.

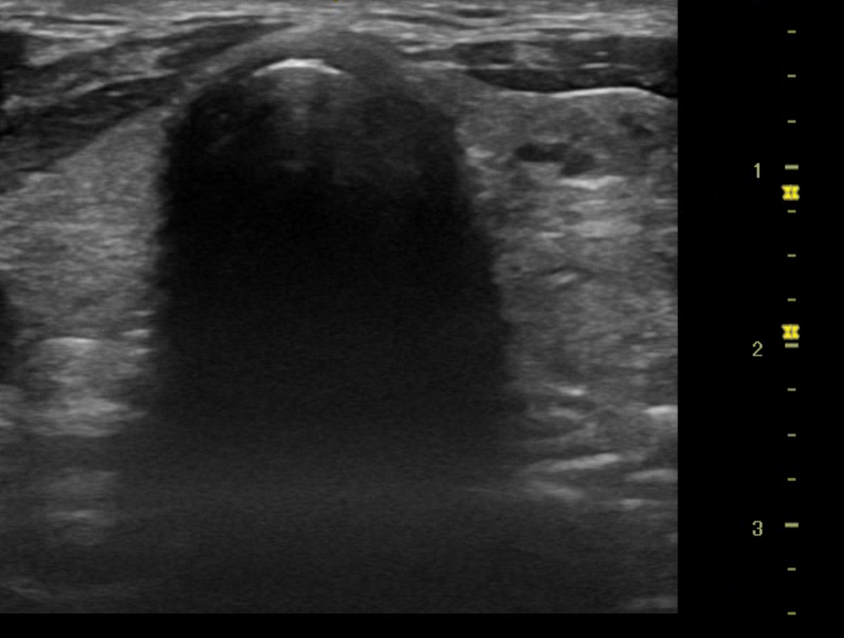
Hallazgos ecográficos

En el examen físico se encuentra paciente en buen estado general ,signos vitales dentro de metas, eupneico en reposo, durante la palpación de cuello, se aprecia masa en borde interno lado izquierdo de cuello no  se evidenciaron adenopatías en ninguno de los 2 lados de el cuello.

Se realizó ecografía en servicio de urgencias el cual encontramos los siguientes hallazgos:

Nódulo en polo inferior de lóbulo izquierdo de aproximadamente 2.08 X 1.47 x 3.63 cm de características de morfologías: con longitud mas alto que ancho, se observa trabéculas heterogéneas, visualizacion de leve vascularización sin evidencias de adenopatías colindantes, no se aprecia efecto masa en estructuras colindantes.

Pruebas complementarias

Durante la estancia en urgencias se realizaron múltiples estudios de extensión como RX de tórax el cual fue normal, y analítica con función tiroidea el cual estaban dentro de los valores normales. 

Juicio clínico, diagnóstico diferencial, identificación de problemas

Nódulo tiroideo en estudio.

Tratamiento y planes de actuación

  • Debido a la ausencia de patología urgente y el estado general del paciente se decide dar salida y derivado de manera preferente a medicina interna para estudio de extensión y estudio histológico. 

Evolución

Paciente actualmente está pendiente de realización de PAAF para determinar naturaleza del nódulo.

Conclusiones (y aplicabilidad para la Medicina de Familia)

La ecografía en servicio de urgencias es una gran herramienta diagnóstica para determinar tanto la estabilidad como la progresión de lesiones tiroideas y hacer un correcto abordaje tanto en servicio de urgencia como en consulta externa.
 
 
 
 

Comunicaciones y ponencias semFYC: 2026; Comunicaciones: Casos clínicos. ISSN: 2339-9333

Autores

Santamaria Amador, Julio Cesar
Hospital General de Riotinto.
Tolentino Brazoban, Anneris Esmelinda
CS Almonaster La Real. Almonaster
Nuñez Vaquero, Luis
Hospital General de Riotinto.