X Jornadas de Actualización en Medicina de Urgencias y VI Jornadas de Ecografía de la semFYC
6-7-8 de febrero de 2025
Hallazgo ecográfico incidental de hidronefrosis derecha.
Antecedentes personales relevantes, anamnesis, exploración física y lugar que ocupa en ella la ecografía
Presentamos el caso de un hombre de 33 años, con antecedentes de ureterocele derecho en infancia con seguimiento interrumpido, con hallazgo ecográfico incidental de hidronefrosis derecha. Niega sintomatología urinaria en estos años.
Abdomen blando, depresible, no doloroso a la palpación. Ruidos hidroaéreos presentes. No masas ni megalias. No signos de irritación peritoneal. Murphy y Blumberg negativos. Puño percusión renal bilateral negativa.
Descripción de los hallazgos ecográficos y las imágenes más relevantes para la resolución del caso
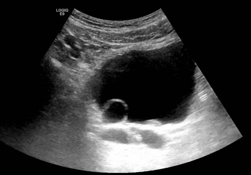
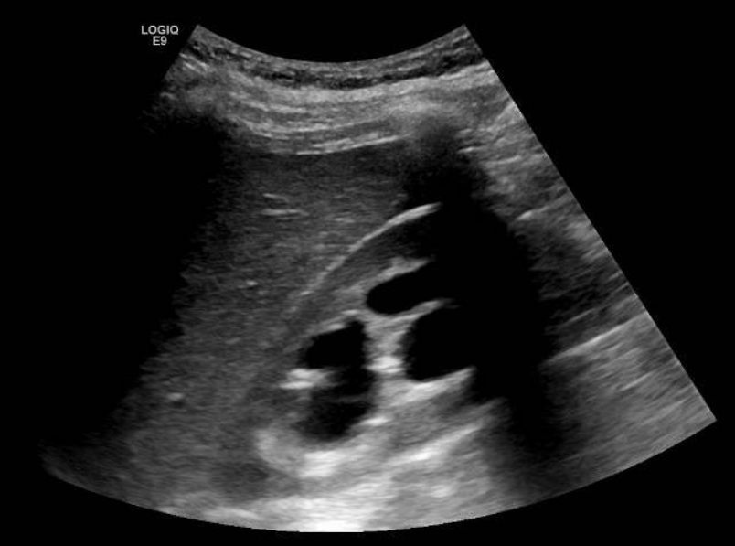
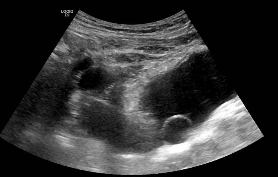
Se solicita ecografía abdominal donde se observa el riñón derecho de tamaño normal, con adelgazamiento parenquimatoso difuso secundario a ureterohidronefrosis severa que se extiende hasta la unión vesicoureteral, donde se visualiza una lesión anecoica intravesical, en relación con el ureterocele ya conocido, que condiciona el cuadro obstructivo.
Otras pruebas complementarias realizadas (si existen)
Se deriva a consultas de Urología. Se completa estudio con uro-TAC que muestra hallazgos similares y gammagrafía renal que sugiere obstrucción parcial del sistema excretor renal derecho a nivel de la unión vesicoureteral con función relativa del riñón derecho del 43% y riñón izquierdo del 57%.
Juicio clínico, diagnóstico diferencial, concordancia con el hospital (en su caso)
El sistema colector dilatado debe explorarse minuciosamente en busca de cálculos, trombos, bolas micóticas o papilas desprendidas. Puede haber hidronefrosis en ausencia de obstrucción urinaria, como en la diabetes insípida, o ser normal durante la gestación, que se resuelve al cabo de varias semanas del parto.
Decisiones adoptadas: tratamiento, planes de actuación
En nuestro caso, se objetiva una causa clara subsidiaria de tratamiento endoscópico.
Evolución y seguimiento
Se realiza incisión endoscópica del ureterocele derecho sin incidencias con posterior revisión en Consultas Externas de Urología.
El uso de la ecografía en Atención Primaria permite poner de manifiesto la presencia de hallazgos patológicos en la exploración del paciente, con la consiguiente toma de decisiones temprana que conlleva en numerosas ocasiones un diagnóstico y tratamiento precoz a la aparición de complicaciones irreversibles.



