V Jornadas de Ecografía de la semFYC

9 y 10 de febrero de 2024

Comunicaciones: Casos clínicos

Hallazgo casual en ecografía abdominal ¿olvidamos algún cribado? (póster)

Ámbito del caso

Atención Primaria.

Motivos de consulta

Varón de 77 años que consulta en junio de 2023 por episodios de diarrea intermitente de 1 año de evolución, autolimitados, sin desencadenante conocido, no se acompañan de síndrome general ni pérdida de peso, tampoco de presencia de productos patológicos en heces.

Historia clínica

Enfoque individual

Exfumador de 40 paquetes/año. Bebedor ocasional. Vive con cónyuge e hijo. AP colelitiasis. Enfermedad por reflujo gastroesofágico. Hipercolesterolemia en tratamiento con atorvastatina 20 mg/día.
AxA: No refiere clínica cardiorrespiratoria, no síntomas urinarios. No claudicación.

Hallazgos ecográficos

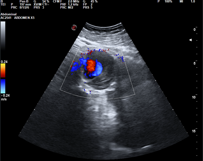
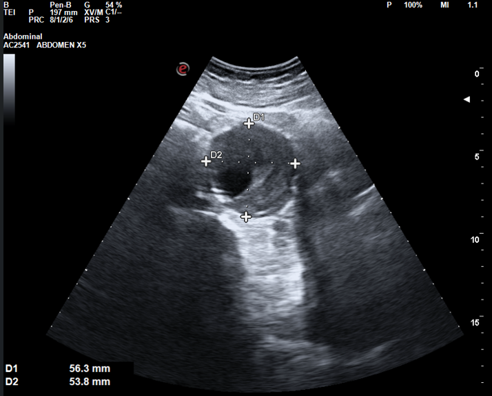
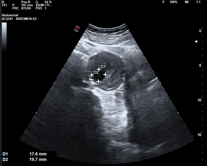
Ecografía abdominal: Hígado de tamaño y ecogenicidad normal, sin dilatación de vía biliar. Vesícula de pared fina con litiasis única en su interior. Páncreas de aspecto normal. Ambos riñones de tamaño normal, con buena diferenciación corticomedular, sin dilatación de vía urinaria ni presencia de litiasis. Bazo de tamaño y ecogenicidad normal. En el rastreo de abdomen inferior se descubre incidentalmente aorta abdominal con aumento de su diámetro (5,6 x 5,3 cm), se aprecia imagen de engrosamiento de pared compatible con trombo intramural y luz permeable de 1,7 x 1,9 cm.

Pruebas complementarias

Analítica con hemograma, bioquímica con PFH normales. VSG y PCR normal. Coprocultivo y parásitos negativos. Calprotectina en heces normal. Ag helicobacter pylori heces negativo.

Juicio clínico, diagnóstico diferencial, identificación de problemas

Se solicita interconsulta no presencial con cirugía vascular que solicita angioTC con los siguientes hallazgos: Aneurisma de aorta abdominal (AAA) infrarrenal que mide 5,8 x 7,6 x 6,2 cm de diámetros transversal, longitudinal y anteroposterior. Extenso trombo intramural en el margen izquierdo del aneurisma que ocupa a aproximadamente el 30% del diámetro. Se inicia tras la emergencia de las arterias renales y se extiende hasta la bifurcación aórtica sin afectar iliacas comunes.
En conclusión: AAA de 5,8 cm de diámetro transversal máximo.

Tratamiento y planes de actuación

El paciente pasa a control por Cirugía vascular.

Evolución

Evolución: el paciente pasa a lista de espera quirúrgica programada.

Conclusiones (y aplicabilidad para la Medicina de Familia)

La detección precoz del AAA es crucial para evitar sus complicaciones avanzadas como su rotura, con consecuencias ocasionalmente fatales.
Se recomienda el cribado en varones de 65 a 75 años que alguna vez hayan fumado cigarrillos con una prueba de detección única mediante ecografía abdominal. Para los hombres de 65 a 75 años que nunca han fumado, la necesidad de una ecografía abdominal se basa en otros factores de riesgo, como antecedentes familiares de aneurisma.

 

 


Comunicaciones y ponencias semFYC: 2026; Comunicaciones: Casos clínicos. ISSN: 2339-9333

Autores

Álvarez Guisasola, Fernando
CS Ribera del Órbigo. León
Cieza Rivera, Ana Maria
CS Ribera del Órbigo. León
García Moreno, Daniel
CS Ribera del Órbigo. León