5, 6 y 7 de febrero de 2026
Urgencias hospitalarias.
Paciente de 60 años que acude por un código ictus destacando una hemiparesia izquierda con disminución de consciencia y afasia acompañante.
Enfoque individual
AP - migrañas sin aura en la juventud.
Paciente que presenta unas tensiones con tendencia a la baja 101/58 con FC 110.
Se le extrae AS y se le solicita un TC craneal urgente como código.
Enfoque familiar y comunitario
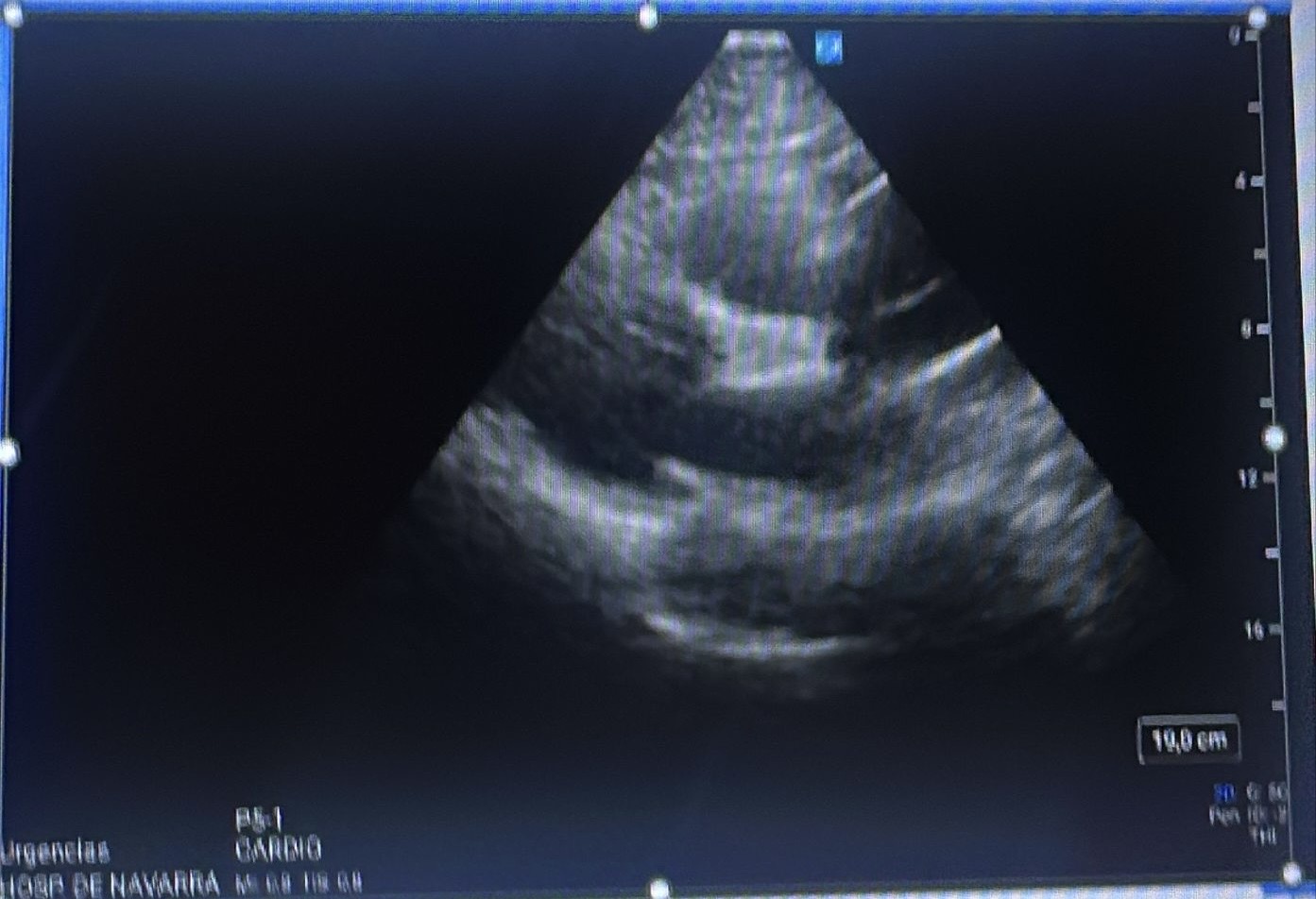
Y justo antes de bajarlo al escáner, le realizamos una ecografía cardíaca a pie de cama donde se visualizó una disección de aorta en la raíz y donde se completó el estudio con un angioTC (progresaba de cayado hasta región abdominal) y cambió totalmente el enfoque del cuadro.
Tratamiento y planes de actuación
Se contactó con el servicio de vascular y UCI quienes entraron a quirófano para colocar una endoprótesis aórtica y su posterior manejo en cuidados intensivos.
Evolución
Paciente que mejoró lentamente durante todo el mes posterior en cuidados intensivos.
Mensaje claro es que algo tan pequeño, inocuo y barato como una ECO portátil nos puede cambiar radicalmente el rumbo de un caso, que no demos por hecho todo lo que vemos, y cuando un caso no cuadre con la clínica, apoyarnos en esta herramienta.

