X Jornadas de Actualización en Medicina de Urgencias y VI Jornadas de Ecografía de la semFYC
6-7-8 de febrero de 2025
Atención Primaria.
Dolor en hipocondrio derecho.
Antecedentes personales relevantes, anamnesis, exploración física y lugar que ocupa en ella la ecografía
Paciente de 64 años que consulta por dolor en hipocondrio derecho de varias semanas de evolución. Se le realiza ecografía en su centro de salud donde se detecta imagen quística de 3 cm aproximadamente en riñón derecho. Se solicita TAC de abdomen para estudio de patología biliar que no se realiza por deseo del paciente.
Descripción de los hallazgos ecográficos y las imágenes más relevantes para la resolución del caso
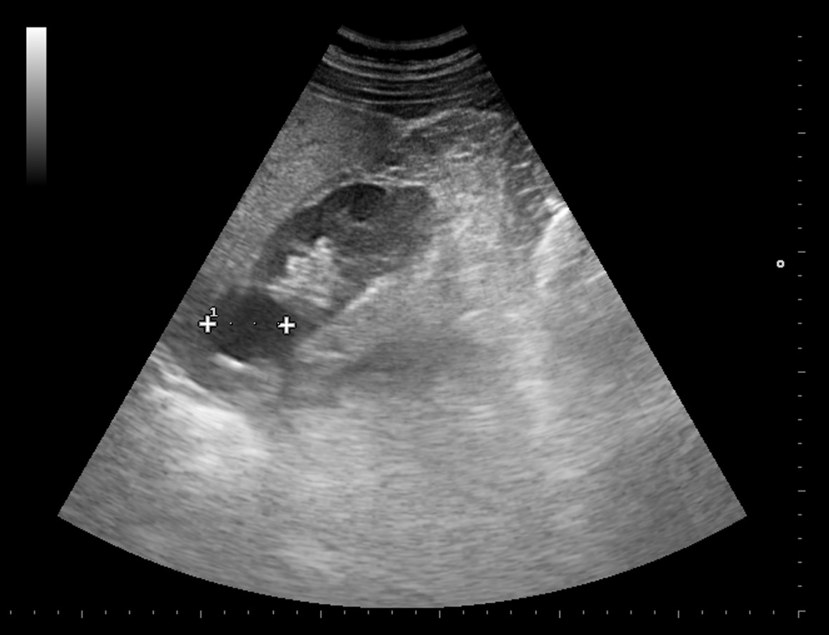
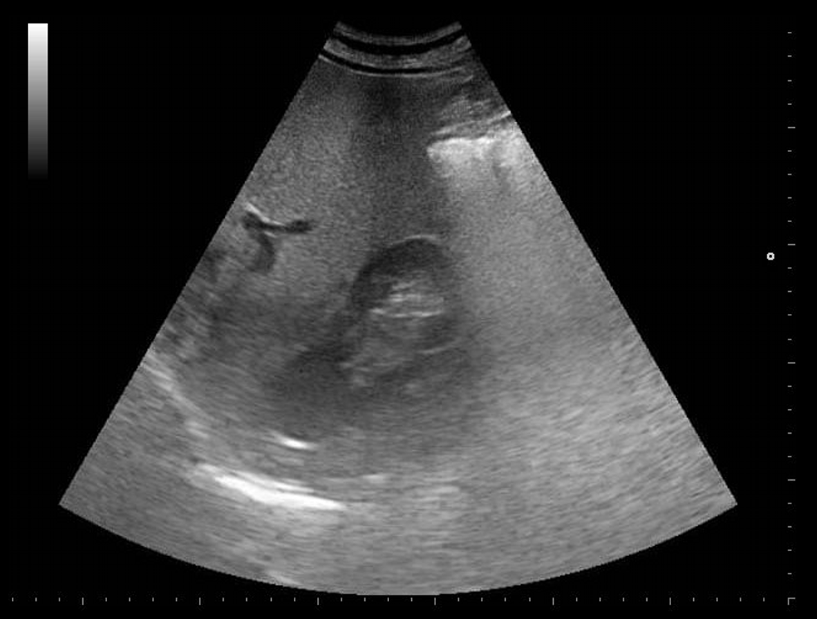
Ecografía abdominal con vesícula biliar de paredes lisas sin imágenes en su interior, riñones simétricos con quiste renal de unos 3 cm en polo superior de riñón izquierdo sin otras lesiones o alteraciones visibles. Exploración limitada por abundante gas intestinal.
Otras pruebas complementarias realizadas (si existen)
A las pocas semanas, el paciente consulta a Urgencias por hematuria macroscópica donde se le realiza una TAC y se observa masa renal izquierda dependiente de polo superior sugestiva de carcinoma renal con infiltración de ramas venosas y metástasis adrenal derecha.
Juicio clínico, diagnóstico diferencial, concordancia con el hospital (en su caso)
Dado que fue un hallazgo accidental en un estudio de posible colelitiasis, de difícil valoración por ecografía, se solicitó TC abdominal para ampliar el estudio y poder definir bien sus características. Aparición de nueva sintomatología, hematuria, que reorienta el diagnóstico a patología renal.
Decisiones adoptadas: tratamiento, planes de actuación
Después de hallazgo ecográfico y nueva sintomatología. Se confirma por TC el hallazgo de masa renal izquierda con metástasis adrenal fue valorado por Urología y se realizó nefrectomía radical izquierda con suprarrenalactomía derecha.
Evolución y seguimiento
Se inició tratamiento hormonal sustitutivo después de la operación y actualmente está en seguimiento por parte de Urología.
A pesar de que las indicaciones de ecografía en atención primaria son muy concretas, es importante realizar las exploraciones de forma reglada y completa ya que se pueden encontrar hallazgos inesperados que nos alerten y así poder iniciar el proceso diagnóstico de forma precoz.

