X Jornadas de Actualización en Medicina de Urgencias y VI Jornadas de Ecografía de la semFYC
6-7-8 de febrero de 2025
AP Urgències PAC.
Hematuria, dolor lumbar repetición 01122023.
Enfoque individual: antecedentes personales, anamnesis, exploración, pruebas complementarias, etc.
Consulta mujer de 53 años, DM1 desde 2010 (insulinopenia + pérdida de 7 kg). Sin complicaciones. Lumbalgia crónica (pinzamiento L4L5 L5S1). ITU repetidas. Sordera (audífonos). Hace 15 días, lumbalgia derecha irradiado a ingle ipsilateral. Niega disuria. Inyectable diclofenaco a domicilio sin mejoria. Exploració anodina, puñopresión negativa. Tira de Oirna : Sangre +++ , Leucos - , Nitri negativo.
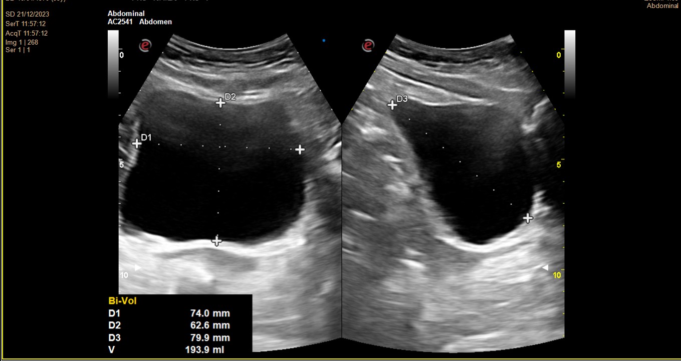
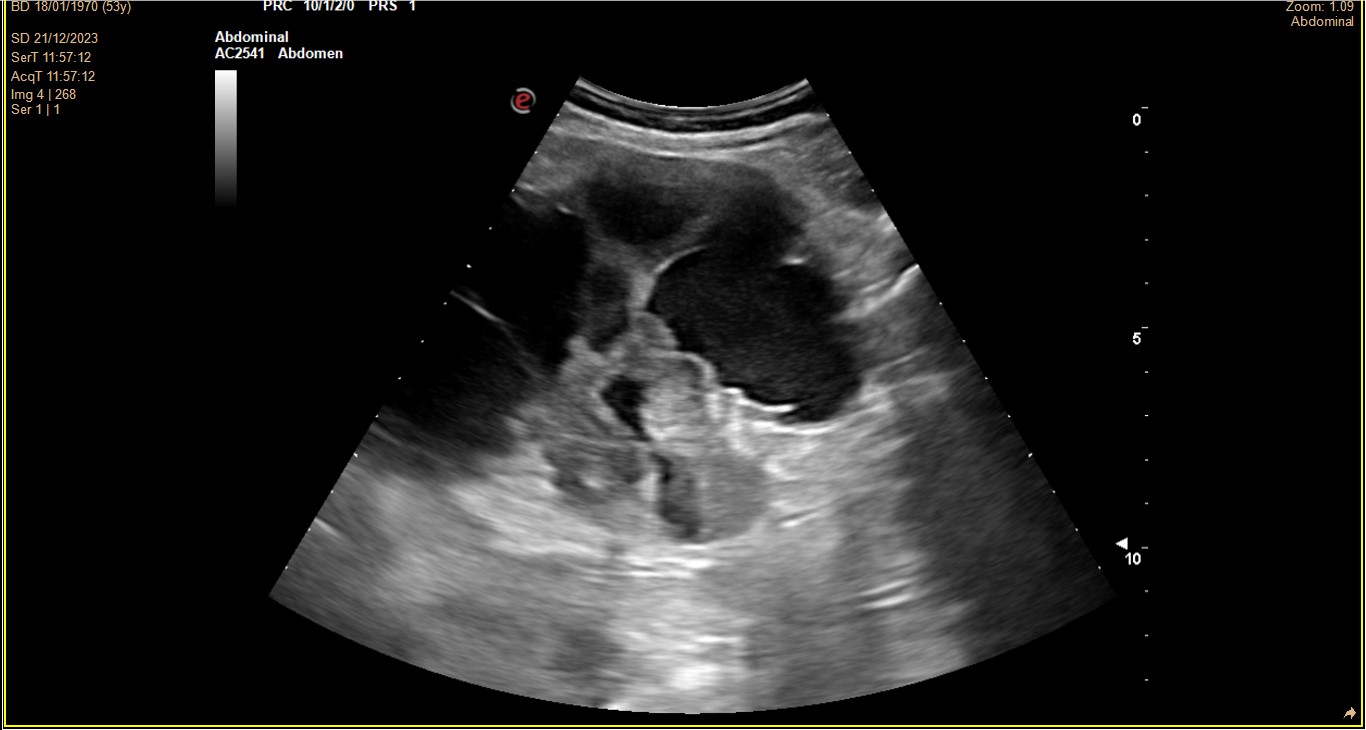
Dolor y nàuseas controladas con metamizol, come poco. Mal control glucémico. FG 87.7, Creatinina: 0,78, Urea 41,3. Pido estudio orina y función renal + ECOAP urinària en consulta: imagen hidronefrosis grado 4 RD vs imágenes anecoicas múltiples sin contenido, limites conservados pero desestructurades.
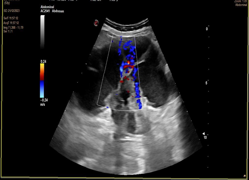
Derivación UHR (contacto telefónico). Ecografía Rx hospital. RD: Ecoestructura heterogénea. Diferenciación corticomedular alterada. Alteración morfológica. Dilatación hidronefrosi grau IV. No aumento de vascularización. RI: No se observan alteraciones.
TC 15 días. Enfisema paraseptal y centrilobulillar. Renal derecha neoformación hiperdensa en pelvis y uréter con coágulos, atrofia parenquimatosa, dilatación urétero-pielo-calicial sin litiasis. Hígado cúpula con calcificación periférica, valorar quiste hidatídico.
Enfoque familiar y comunitario: estudio de la familia y la comunidad (si fuese necesario)
Discapacidad 48%. Vive sola. Nueva pareja. Sobrina cercana. DM1.
Juicio clínico, diagnóstico diferencial, identificación de problemas
Urología de 2 meses. Historia cólicos repetición 05/2023. Último 02/12/23. Primer episodio hematuria franca, Tiras reactivas sangre +++, posteriores. Última analítica de 07/2023 con FR conservada y Cr normal. Orina sin alteraciones.
Tratamiento y planes de actuación.
Nefrectomía.
27/03/2024. Tumor urotelial multifocal (bajo grado margenes neg).
TAC, cistoscopia, A/S CADA 3 m.
Evolución
09/06/2024. Hinchazón y dolor hipogastrio 15 días.
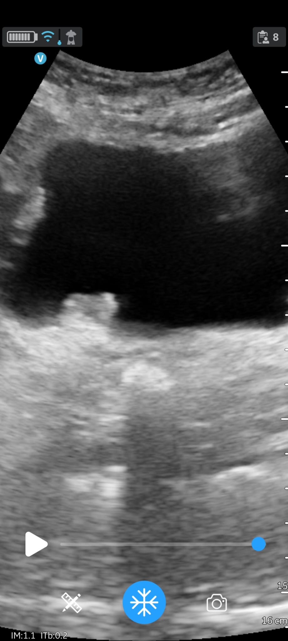
EcoAP imagen excrecente ureter derecha vejiga (coincide con TAC aún no valorado urología).
Contacto TLF urología.
PDT de cistoscopia 13/08/2024
28/06/2024 TC pared vesical meato de 2 lesiones que captan contraste de 7 y 10 mm.
Neoplasia vesical.
Los pacientes con antecedentes de cáncer renal tienen un riesgo elevado de desarrollar un segundo tumor en la vía urinaria. Es crucial mantener un seguimiento a largo plazo en estos pacientes, ya que el riesgo de desarrollar segundos tumores persiste durante años después del diagnóstico inicial. El uso de ecografía en AP y el desarrollo tecnológico de aparatos portátiles en la consulta diaria ayudará a mejorar el diagnóstico precoz y seguimiento.



