V Jornadas de Ecografía de la semFYC

9 y 10 de febrero de 2024

Comunicaciones: Experiencias

Experiencia sobre la valoración ecográfica de masas ováricas en Atención Primaria (póster)

Objetivos

Mejorar la identificación y manejo de las masas anexiales en el ámbito de la Atención Primaria (AP), revisando su diagnóstico diferencial según las características ecográficas.

Descripción

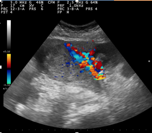
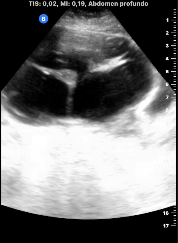
En un corto espacio de tiempo se identificaron en el centro de salud una serie de  casos de masas anexiales. Estos presentaban una gran variabilidad diagnóstica y de características ecográficas. Al tratarse de hallazgos frecuentes, y previsiblemente cada vez más con el aumento de uso de la ecografía en Atención Primaria, surge la necesidad de aumentar el conocimiento sobre las características ecográficas de las mismas en el equipo con el fin de realizar un adecuado diagnóstico diferencial. Se revisa la literatura y se realiza una sesión para exportar al equipo la experiencia y mejorar su capacidad diagnóstica.
Casos:

  1. Mujer de 62 años; distensión abdominal; carcinoma de ovario.
  2. Mujer de 46 años; dolor abdominal; masa ovárica a estudio.
  3. Mujer 19 años; asintomática, ecografía durante curso de formación; hamartoma.
  4. Mujer 32 años; dolor abdominal; quiste ovárico simple.
  5. Mujer 27 años; ITU de repetición; ovario poliquístico.

Conclusiones

Las masas ováricas son un hallazgo ecográfico frecuente. Comprenden diversa patología, desde hallazgos benignos que pueden ser controlados en AP hasta neoplasias malignas que precisen de una valoración preferente por ginecología. La correcta identificación es fundamental para un adecuado manejo.

Aplicabilidad

La ecografía ginecológica vía abdominal puede ser muy útil en Atención Primaria para la valoración de problemas frecuentes como los trastornos menstruales o el dolor abdominal. También se puede identificar masas ováricas de forma incidental al realizar ecografía por otro motivo. En el caso de encontrar, como ha sucedido con relativa frecuencia, patología anexial es pertinente conocer las características ecográficas que sugieran malignidad o benignidad para su correcto manejo.
 
 
 
 

Comunicaciones y ponencias semFYC: 2026; Comunicaciones: Experiencias. ISSN: 2339-9333

Autores

Lopez Miguel Miguel, Miguel
CS Las Ciudades. Madrid
Calderín Morales, María del Pino
CS Las Ciudades. Madrid
Rodríguez Pascual, Nieves
CS Las Ciudades. Madrid
Muñoz Muñoz, Pablo
CS Las Ciudades. Madrid