V Jornadas de Ecografía de la semFYC

9 y 10 de febrero de 2024

Comunicaciones: Experiencias

Experiencia con la ecografía portátil en un hospital en chad (África) (oral)

Objetivos

  1. Incrementar el uso del ecógrafo como herramienta de soporte diagnóstico en un hospital con baja disposición de técnicas de imagen.
  2. Extender el uso del ecógrafo para la realización de ciertas técnicas invasivas.

Descripción

Un ecógrafo portátil puede ser un buen aliado si dispones de medios limitados para la realización de pruebas complementarias.

En esta experiencia de 27 días en un hospital en Chad, junto con los estudiantes y facultativos del centro (que disponen de formación en ecografía) hemos experimentado como la disposición de un ecógrafo portátil ayuda a realizar diagnósticos más certeros, y a agilizar el proceso de toma de decisiones.

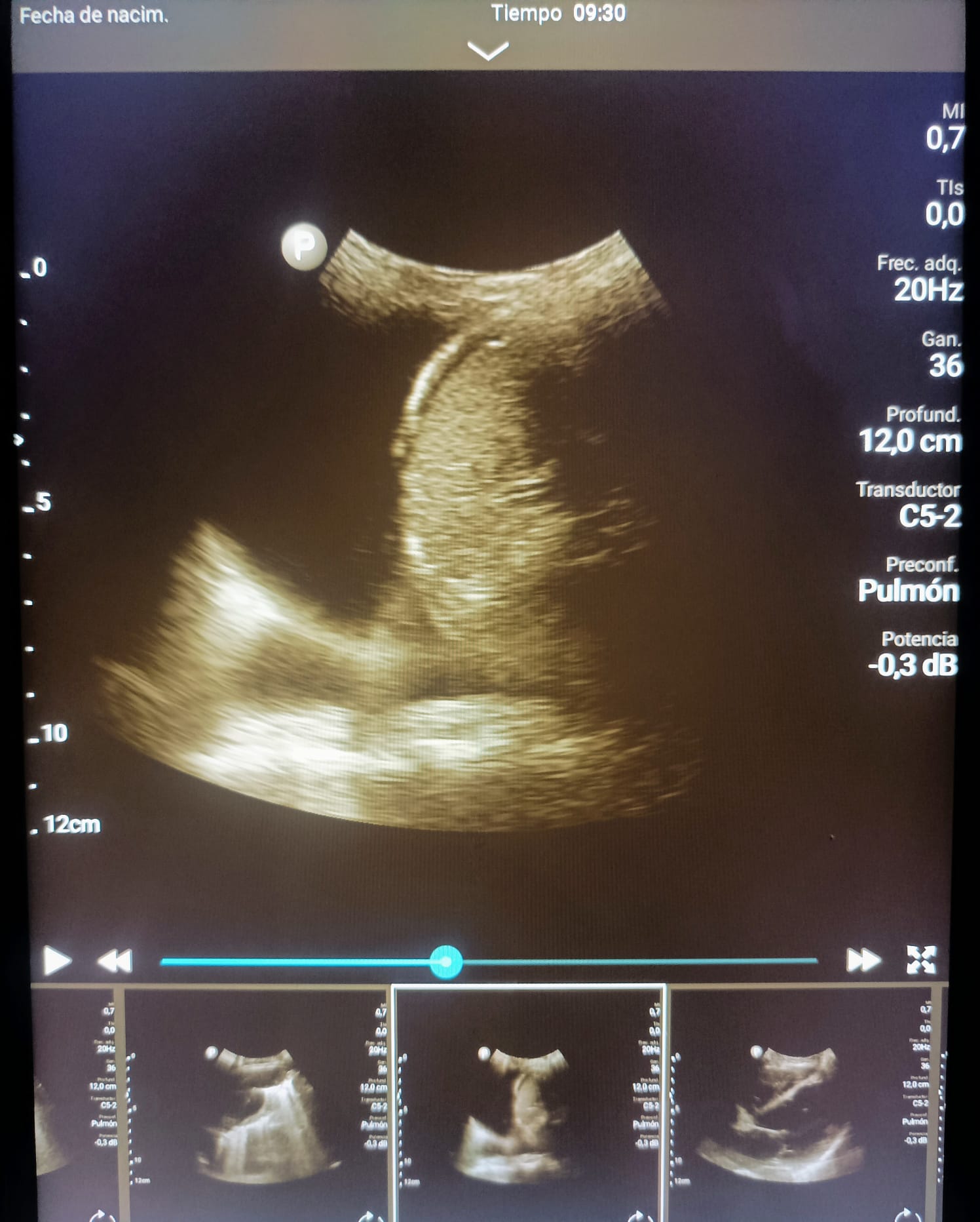
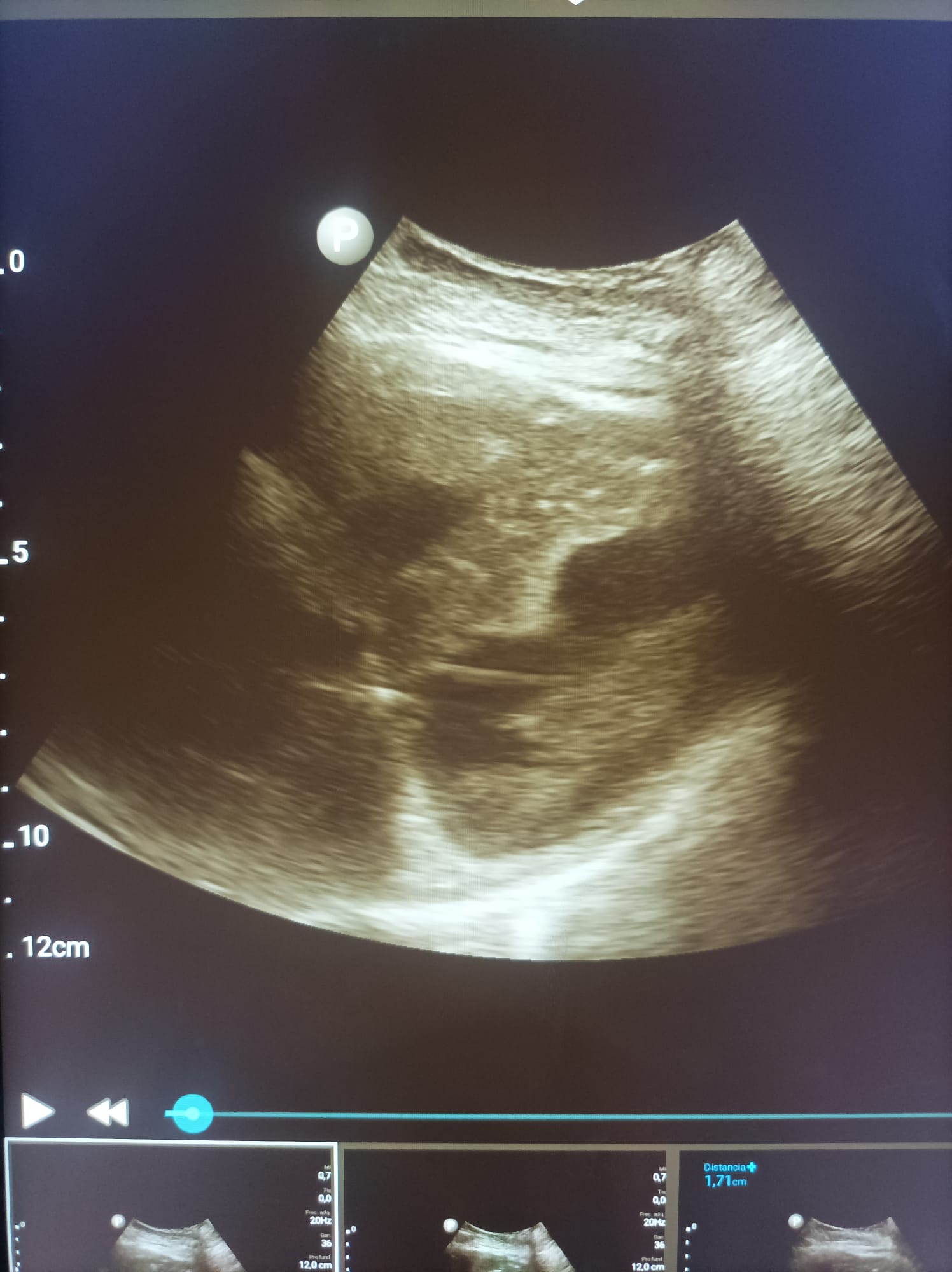
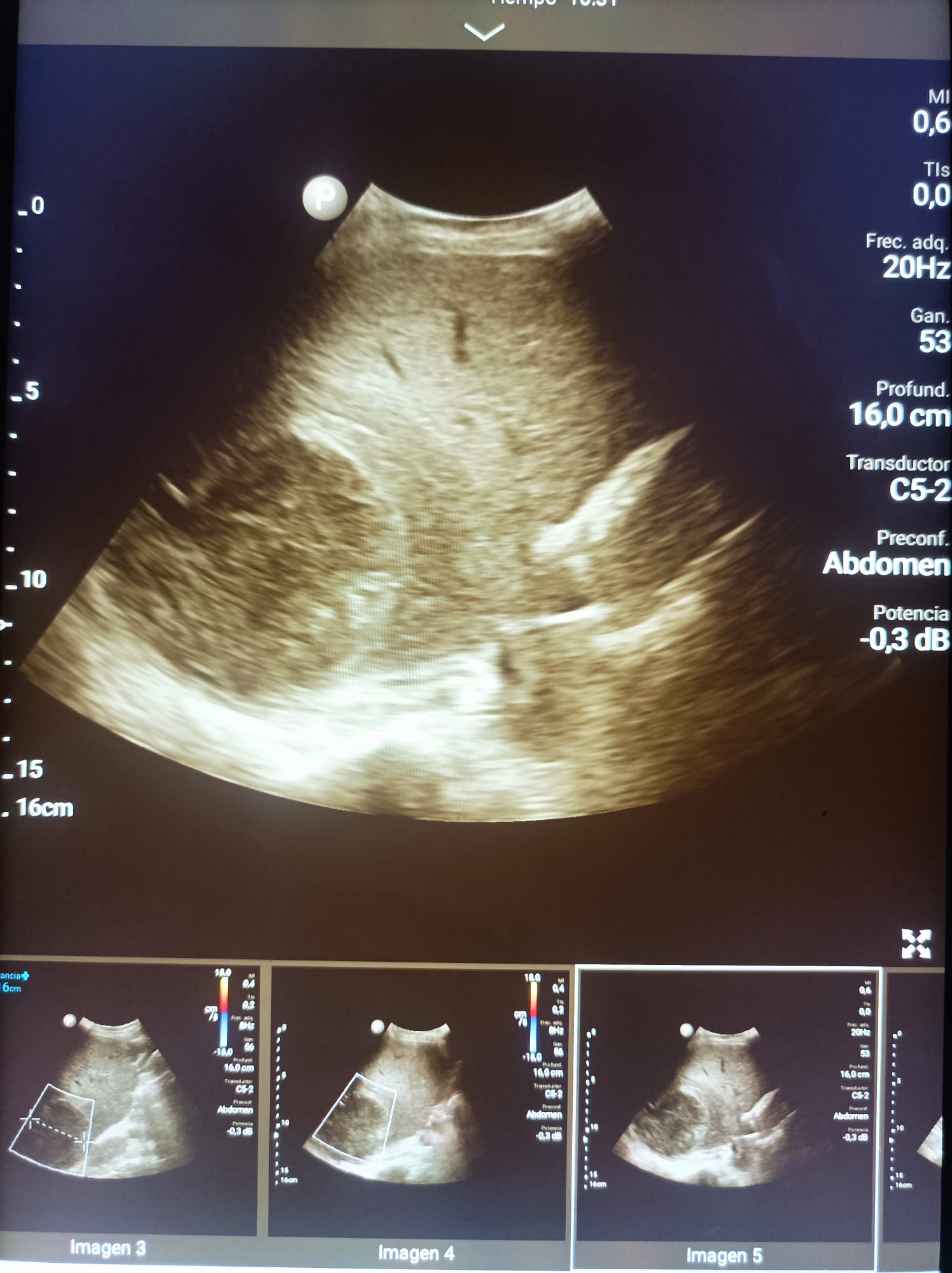
Disponíamos de una sonda convexa que nos ha permitido la realización de ecografías abdominales, pulmonares e incluso obstétricas en diferentes ámbitos; servicio de urgencias, servicio de cirugía general y medicina interna. 

Las patologías mas prevalentes han sido la ascitis y la insuficiencia cardiaca, asi como pacientes politraumatizados que se han beneficiado de FAST a su entrada en urgencias.

Otras patologías diagnosticadas han sido: abscesos hepáticos, derrames pleurales, tumores hepáticos, abortos espontáneos e incluso miocardiopatía hipertrófica.

Además de diagnósticos, hemos podido realizar ciertas técnicas invasivas como paracentesis e incluso toracocentesis eco guiadas, disminuyendo asi las complicaciones secundarias a las mismas.

Conclusiones

Disponer de un ecógrafo portátil en un centro hospitalario de 147 camas que posee únicamente 2 ecógrafos y una máquina de Rayos X como técnicas de diagnóstico por imagen, facilita tanto el proceso diagnóstico como terapéutico, empodera a los facultativos, dándoles un soporte más en la práctica asistencial diaria y disminuye la incertidumbre tanto de los mismos como del paciente.

Aplicabilidad

En todos los ámbitos con baja disponibilidad de herramientas diagnósticas (Atención Primaria, rural…).


Comunicaciones y ponencias semFYC: 2026; Comunicaciones: Experiencias. ISSN: 2339-9333

Autores

Igea González, Teresa
Cap de Roses. Roses
Sierra Elosua, Inmaculada
Cap de Roses. Roses
De Riba Martínez, Júlia
Hospital El Buen Samaritano. Chad