X Jornadas de Actualización en Medicina de Urgencias y VI Jornadas de Ecografía de la semFYC
6-7-8 de febrero de 2025
Servicio de urgencias en Atención Primaria.
Dolor intenso en fosa renal derecha que irradia a flanco e ingle. Disuria y tenesmo vesical.
Enfoque individual: antecedentes personales, anamnesis, exploración, pruebas complementarias, etc.
AP: No RAMc. Consumo intensivo de cerveza y combinados los fines de semana IQx: no refiere. AP: no refiere. IQx: no refiere. Tto: no refiere.
Exploración física: ACP normal. Abdomen: RHA+, blando, depresible, sin dolor a la palpación, Blumberg y Murphy negativos, PPRD positiva, pulsos pedios conservados.
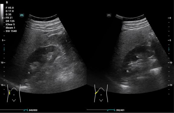
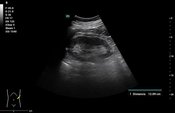
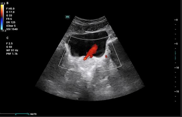
Pruebas complementarias: Sistemático de orina: microhematuria y ecografía abdominal: Riñones: (RD 11 cm, RI 12,09 cm), ecogenicidad, contornos y localización normales. RD: dilatación de la vía excretora Grado I dudosas imágenes de litiasis sin sombra acústica. No se evidencia líquido libre intrabdominal. Vejiga bien replecionada, jet ureteral bilateral simétrico, en trayecto del uréter derecho con Doppler color se observa artefacto de centelleo o efecto twinkling, que sugiere cálculo enclavado en unión vesicoureteral derecha.
Se solicita urocultivo y analítica, cuyos resultados, informados posteriormente son respectivamente: negativo y normal.
Juicio clínico, diagnóstico diferencial, identificación de problemas
JC: Crisis renoureteral derecha.
Dx. diferencial: Infección del tracto urinario, pielonefritis, apendicitis aguda, lumbalgia.
Tratamiento y planes de actuación.
Tratamiento: Se pauta iv dexketoprofeno + metamizol + omeprazol. Tras medicación mejoría de la sintomatología, por lo que se decide alta con tratamiento para domicilio y se explican motivos de alarma por los que acudir de nuevo.
Evolución
El paciente se mantiene estable durante su estancia en urgencias del Centro de Salud. Se pauta tratamiento para domicilio tamsulosina durante 1 mes, si dolor naproxeno/esomeprazol 1 comp cada 12 h durante 3-5 días, metamizol 575 mg 1 comp cada 4-6 horas. Evitar excesiva sobrehidratación y calor local. Si continúa con dolor, añadir zaldiar 1 comp cada 8 horas. Se explica al paciente que si en 48 horas no cede el dolor, comienza con fiebre > 38 o comienza con anuria, debe acudir a urgencias.
La ecografía renal es una herramienta diagnóstica útil para los médicos de Atención Primaria en el manejo del cólico renoureteral, permite obtener información clave sin necesidad de procedimientos invasivos. Nos ayuda a descartar patologías dentro de los diagnósticos diferenciales que tenemos. Además en nuestro caso, ante un paciente que presenta un cuadro de sospecha de cólico renoureteral, la ecografía puede mostrar signos de hidronefrosis, lo que nos ayuda a determinar la gravedad y la necesidad de derivar al especialista para un manejo adecuado.



