V Jornadas de Ecografía de la semFYC
9 y 10 de febrero de 2024
Enfoque individual
Paciente masculino de 52 años que consulta por dolor en ambos miembros inferiores bilateral de comienzo hacia 15 minutos al echarse a correr en la suelta del toro en la fiesta del pueblo.
No RAM conocidas. Trastorno adaptativo.
EF: No se observan lesiones superficiales, no hay aumento de la temperatura local, ni edemas.
Dolor a la palpación de las masas musculares isquitibiales.
Lassegue positivo.
Se cita para ecografía programada.
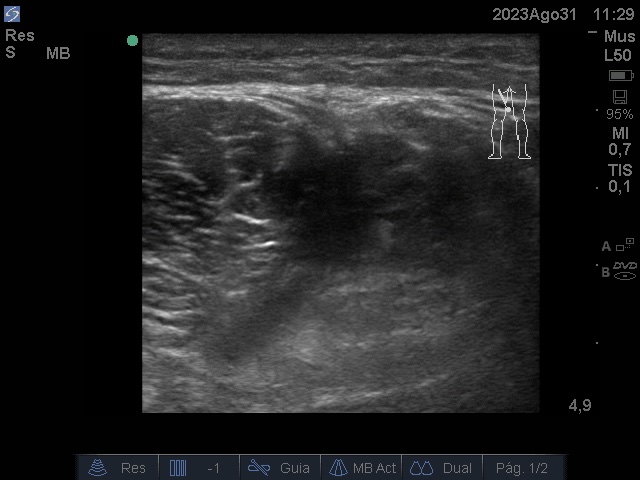
Hallazgos ecográficos
Ecografía: discontinuidad de la disposición de las fibras musculares normales a nivel del tercio medio de los cuerpos musculares isquiosurales que afecta al músculo semitendinoso del miembro ingerior izquierdo, edema focal e imágenes.
Anecogénicas intramusculares, sin captación doppler.
Se observa imagen anecoica irregular, elipsoide que se interpreta como sangrado entre el músculo semitendinoso y semimembranoso.
Pruebas complementarias
A los tres días el paciente presenta sufución hemática cutánea generalizada de localización posterior en el miembro inferior izquierdo y otra de menor tamaño en miembro inferior derecho.
Juicio clínico, diagnóstico diferencial, identificación de problemas
Juicio clínico: Rotura fibrilar
Diagnóstico diferencial: Contractura muscular. Desgarro de músculos isquiosurales
Tratamiento y planes de actuación
Se pautó diclofenaco, frío y compresión local.
Reposo relativo.
Evolución
El paciente evolucionó favorablemente. Con desaparición progresiva de la sufución hemática cutánea generalizada y disminución progresiva del dolor al mismo tiempo que recuperaba funcionalidad.