V Jornadas de Ecografía de la semFYC

9 y 10 de febrero de 2024

Comunicaciones: Casos clínicos

Entre piedras: la valoración de un cólico renal (póster)

Ámbito del caso

Urgencias de Atención Primaria.

Motivos de consulta

Dolor lumbar.

Historia clínica

Enfoque individual

Varón de 42 años que consulta con dolor tipo cólico, localizado a nivel lumbar derecho irradiado a fosa ilíaca derecha de 1 día de evolución con mal control del dolor con ibuprofeno por lo que acude a urgencias de Atención Primaria. 
Exploración física: Abdomen blando depresible con dolor en fosa iliaca derecha Blumberg negativo. Puñopercusión renal derecha positiva.
Tira de orina con hematuria.

Ante la sospecha de cólico renal se administra analgesia con enantyum y se realiza ecografía renal.

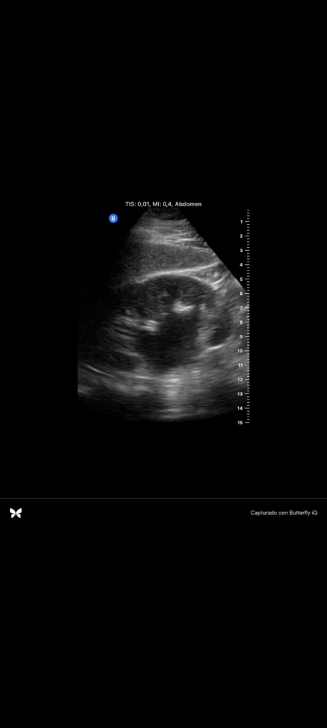
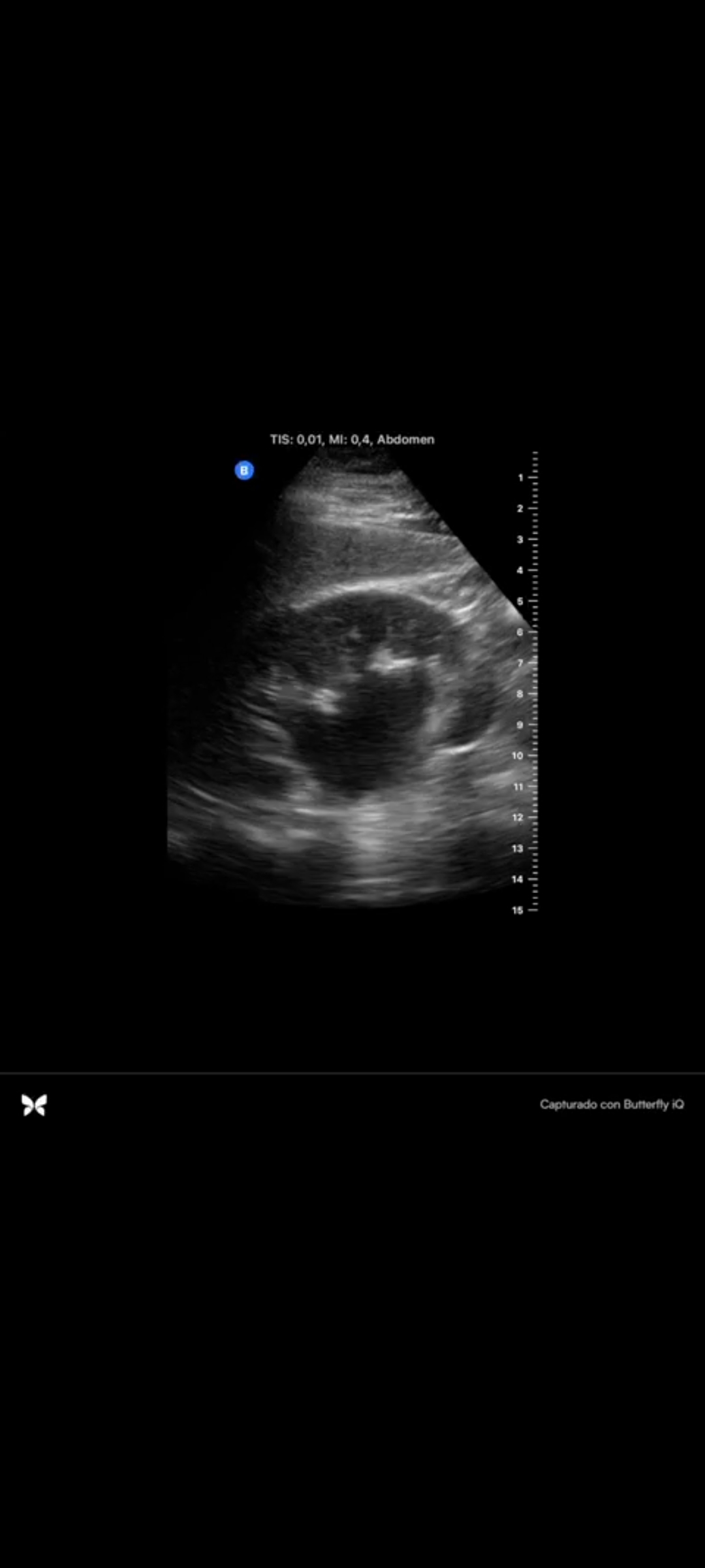
Hallazgos ecográficos

En la ecografía se objetiva hidronefrosis moderada renal derecha sin conseguir visualizarse cálculo renal.

Pruebas complementarias

Ecografía realizada en urgencias con mismo hallazgos.

Juicio clínico, diagnóstico diferencial, identificación de problemas

Hidronefrosis en paciente con cólico renal.

Tratamiento y planes de actuación

Tras la administración de analgesia, se decide derivar a urgencias hospitalarias para realización de analítica con función renal y valoración por Urología.

Evolución

El paciente es ingresado en la planta de urología para colocación de catéter doble J.

Conclusiones (y aplicabilidad para la Medicina de Familia)

El cólico renal es un motivo de consulta relativamente frecuente en urgencias de atención primaria, siendo las litiasis renales la causa más frecuente de los mismos. Ante un paciente con sospecha de cólico renal debemos tener en cuenta las posibles complicaciones, como son la obstrucción con aparición de hidronefrosis y empeoramiento de la función renal asociada.
La ecografía en atención primaria es una técnica con gran valor para la orientación diagnóstica ya que permite hacer una valoración más completa del paciente y de esta manera realizar una adecuada derivación a urgencias.
 
 

Comunicaciones y ponencias semFYC: 2026; Comunicaciones: Casos clínicos. ISSN: 2339-9333

Autores

Salazar Lozano, Elena
CS Pola De Siero. Oviedo
Salazar Lozano, Camino
Centro De Salud Circular. Valladolid
Feito Fernández, Noelia
Centro de Salud la Corredoria. Oviedo