5, 6 y 7 de febrero de 2026
Atención Primaria.
Bulto laterocervical derecho de 3-4 meses de evolución.
Enfoque individual
Varón de 44 años que consulta por la aparición de una tumoración submandibular derecha no dolorosa ni fluctuante. No presenta fiebre, odinofagia ni pérdida de peso. No aumenta con la ingesta. Antecedentes personales: Exfumador, antecedente de bypass gástrico y esteatosis hepática. Como antecedente familiar destaca hermana fallecida por leucemia linfática crónica.
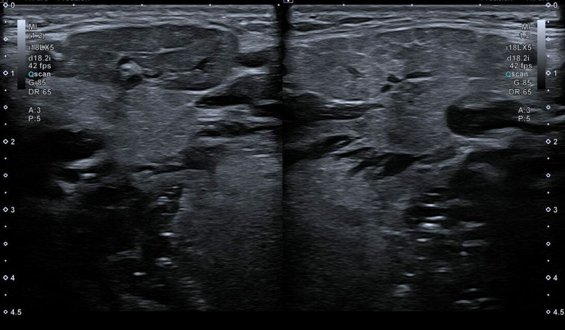
Exploración física: Tumoración dura, mal delimitada, de aproximadamente 2,5-3 cm de diámetro, adherida a planos profundos, no dolorosa. Sin signos inflamatorios cutáneos ni otras adenopatías palpables. Se realiza ecografía en consulta.
Hallazgos ecográficos
Ecografía clínica: masa hipoecogénica bien delimitada dependiente de la glándula submandibular derecha, sin evidencia de sialolitiasis. Dado el carácter inespecífico de la lesión, se deriva al servicio de Otorrinolaringología (ORL) para estudio.
Pruebas complementarias
Valorado por ORL, faringoscopia normal y solicitan ecografía cervical reglada, confirmándose alteración hipoecogénica de 8,6 × 27 × 21 mm en la porción superficial de la glándula submandibular derecha, globulosa, heterogénea, con bordes definidos y sin adenopatías asociadas. Dilatación ductal asociada. Se realiza PAAF ecoguiada, planteando dudas diagnósticas entre cambios inflamatorios crónicos o proceso infiltrativo.
Anatomía patológica: sialoadenitis crónica inespecífica (Categoría II de Milán). Sin evidencia de malignidad.
Juicio clínico, diagnóstico diferencial, concordancia con el hospital (en su caso)
Sialoadenitis crónica de glandula submandibular derecha.
Diagnóstico diferencial:
Sialolitiasis
Tumor benigno o maligno.
Adenopatía reactiva o infiltrativa (linfoma, metástasis)
Procesos granulomatosos.
Tratamiento, planes de actuación
Tratamiento: ibuprofeno 600 mg cada 8 horas 7 días, hidratación y masaje.
Evolución
Se mantiene seguimiento en Atención Primaria y ORL con resolución del cuadro tras tratamiento, no precisando corticoides orales.
La sialoadenitis es la inflamación de una glándula salival, siendo las más frecuentes parótida y submandibular, secundaria a obstrucción ductal, infección o procesos autoinmunes. Puede ser aguda o crónica, esta última presenta un curso insidioso y clínica inespecífica, pudiendo simular una lesión tumoral. La ecografía clínica en Atención Primaria permite identificar precozmente alteraciones estructurales y orientar el diagnóstico, evitando retrasos y pruebas complementarias innecesarias. Este caso resalta el papel de la ecografía como herramienta resolutiva y coste-efectiva en la evaluación de masas cervicales.


