5, 6 y 7 de febrero de 2026
Mostrar el valor de la ecografía pulmonar en Atención Primaria en el diagnóstico y seguimiento de la neumonitis rádica.
Evidenciar su papel como alternativa precoz sin irradiación frente a otras pruebas hospitalarias.
Poner en valor el seguimiento activo desde la consulta de Medicina de Familia en pacientes oncológicos.
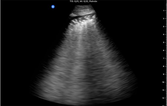
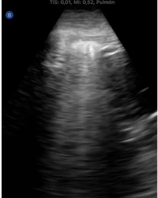
La neumonitis rádica es una complicación frecuente tras la radioterapia torácica que produce síntomas inespecíficos que suelen generar dudas diagnósticas. La ecografía pulmonar, accesible y reproducible desde Atención Primaria, permite valorar en tiempo real estas alteraciones sin irradiar al paciente.
Presentamos tres casos consecutivos de pacientes con cáncer de mama que acudieron a consulta por tos seca persistente, disnea leve o febrícula con antecedente común de tratamiento con radioterapia. Se realizó ecografía pulmonar identificando líneas B focales en campos pulmonares irradiados y engrosamiento e irregularidad pleural, la más llamativa con consolidación, sin derrames.
Ante la duda diagnóstica, en dos casos se inició tratamiento antibiótico empírico y se repitió ecografía a los 7 días, sin cambios clínicos ni ecográficos, apoyando la sospecha de neumonitis rádica no infecciosa. Posteriormente, en las tomografías computerizadas de control oncológico realizadas semanas después, nuestros hallazgos fueron confirmados.
La ecografía pulmonar permite detectar la neumonitis rádica de forma precoz, segura y accesible desde Atención Primaria. Repetir el estudio a corto plazo sin riesgos ni esperas nos permite un seguimiento clínico ajustado, útil y humanizado. Una herramienta sencilla con impacto real, que demuestra que la Medicina de Familia puede estar presente también en los procesos oncológicos complejos.
Técnica reproducible con formación básica en ecografía pulmonar.
Reduce derivaciones, pruebas radiológicas y tiempos diagnósticos.
Mejora la coordinación entre Atención Primaria y seguimiento hospitalario oncológico.
Aporta valor añadido y seguridad clínica en el seguimiento postradioterapia.


